ISO 9001:2015 Certified
Live Customer Support
4.5/5 on Trustpilot
100% Quality Guarantee

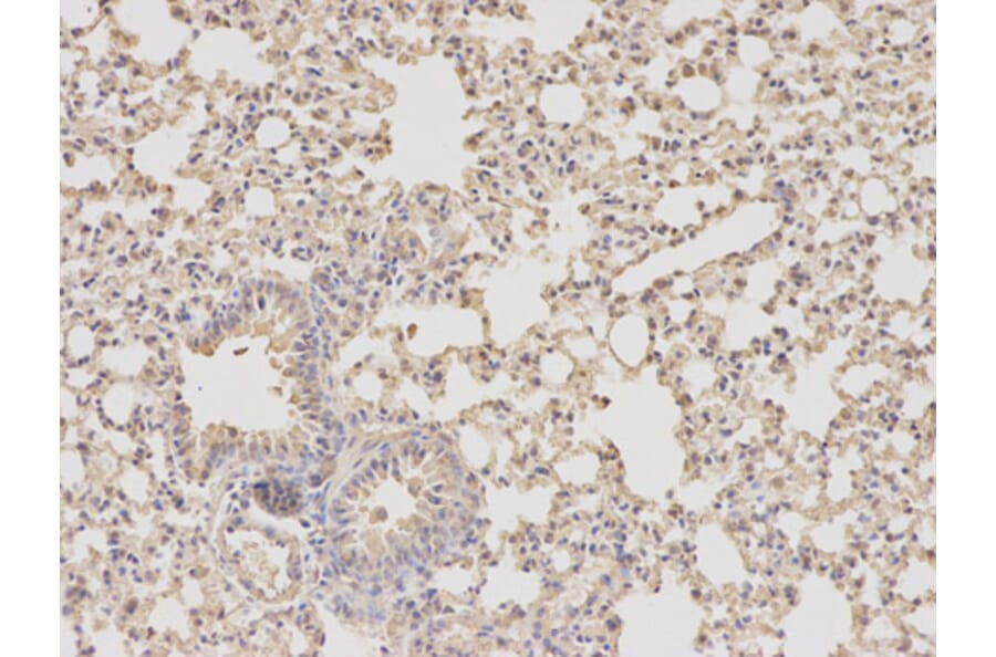
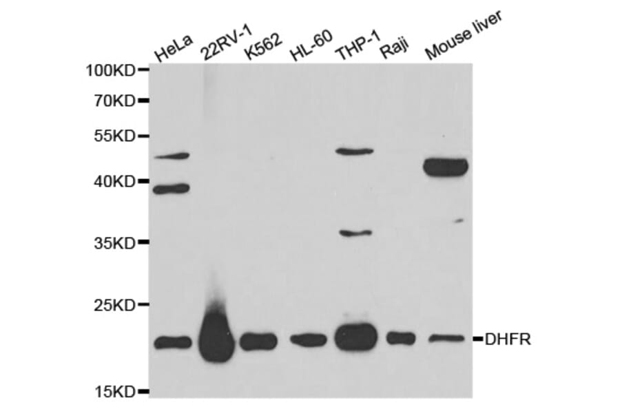
Anti-DHFR Antibody (A29840)

Rabbit polyclonal antibody to DHFR for WB and IHC.

Shipping Information

$40
Dispatched from St. Louis, MO.
Lead Time: 7-10 business days.
Name
Anti-DHFR Antibody
Description
Rabbit polyclonal antibody to DHFR
Specificity
DHFR pAb detects endogenous levels of DHFR protein.
Applications
WB, IHC
Reactivity
Human, Mouse, Rat
Immunogen
Recombinant full length Human DHFR.
Host
Rabbit
Clonality
Polyclonal
Conjugate

Unconjugated

Molecular Weight
~ 21 kDa
Purity
The antibody was affinity-purified from rabbit antiserum by affinity-chromatography using epitope-specific immunogen and the purity is > 95% (by SDS-PAGE).
Product Form
1mg/ml in PBS with 0.1% Sodium Azide, 50% Glycerol.
Synonyms
Dihydrofolate reductase
Disclaimer
This product is for research use only. It is not intended for diagnostic or therapeutic use.
Publishing research using Anti-DHFR Antibody (A29840)? Please let us know so that we can list the citation on this page.

Alternative products to Anti-DHFR Antibody (A29840)

Proteins predicted to interact with DHFR

Predicted protein interactions based upon String database. Revelancy score correlates with probability of interaction.
99.9% Relevancy Score
99.5% Relevancy Score
99.2% Relevancy Score
99% Relevancy Score
98.9% Relevancy Score
98.7% Relevancy Score
98.2% Relevancy Score
97.9% Relevancy Score