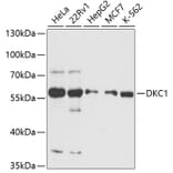
Western Blot - Anti-DKC1/Dyskerin Antibody (A90580)
Western blot analysis of extracts of various cell lines, using Anti-DKC1/Dyskerin Antibody (A90580) at 1:3,000 dilution. The secondary antibody was Goat Anti-Rabbit IgG H&L Antibody (HRP) at 1:10,000 dilution. Lysates/proteins were present at 25µg per lane. The blocking buffer used was 3% non-fat dry milk in TBST. Detection was with a ECL Basic Kit. Exposure time: 60s.
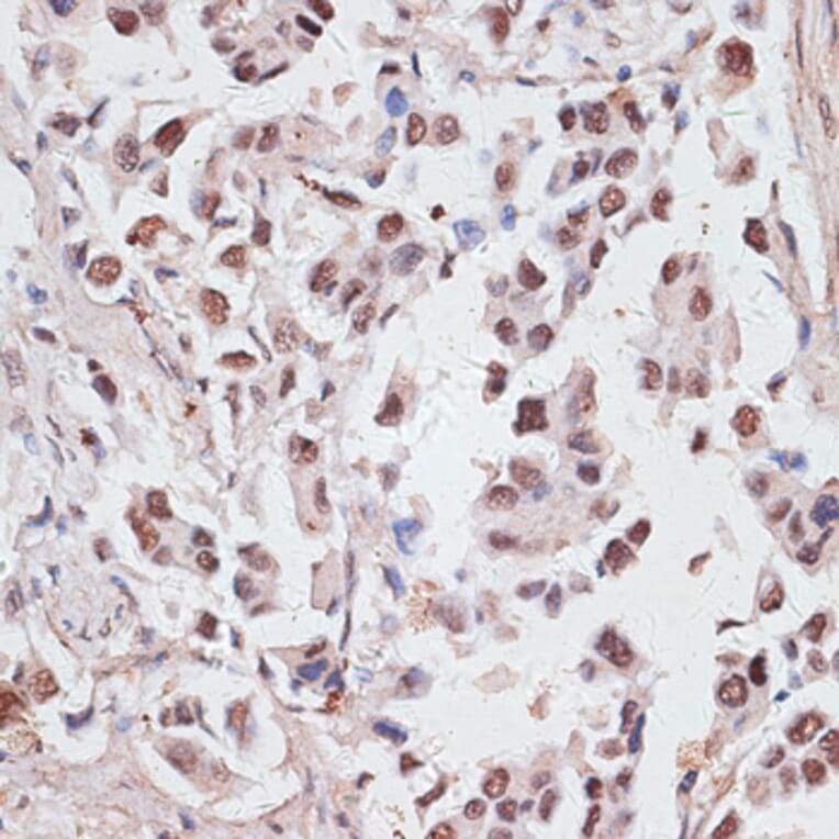
Immunohistochemistry analysis of paraffin-embedded human lung cancer using Anti-DKC1/Dyskerin Antibody (A90580) at a dilution of 1:100 (40x lens). Perform microwave antigen retrieval with 10 mM PBS buffer pH 7.2 before commencing with IHC staining protocol.
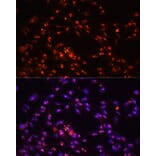
Immunofluorescence analysis of NIH-3T3 cells using Anti-DKC1/Dyskerin Antibody (A90580) at a dilution of 1:100. DAPI was used to stain the cell nuclei (blue).
Immunofluorescence analysis of U-2 OS cells using Anti-DKC1/Dyskerin Antibody (A90580) at a dilution of 1:100. DAPI was used to stain the cell nuclei (blue).
Publishing research using Anti-DKC1/Dyskerin Antibody (A90580)? Please let us know so that we can list the citation on this page.