DKK1 expression in MCF7 cell lysate analyzed by western blot. Cells were lysed in RIPA buffer and 35µg protein was run per lane. Primary antibody incubation was performed with Anti-DKK1 Antibody (A84041) at 1µg/ml and detected by chemiluminescence.
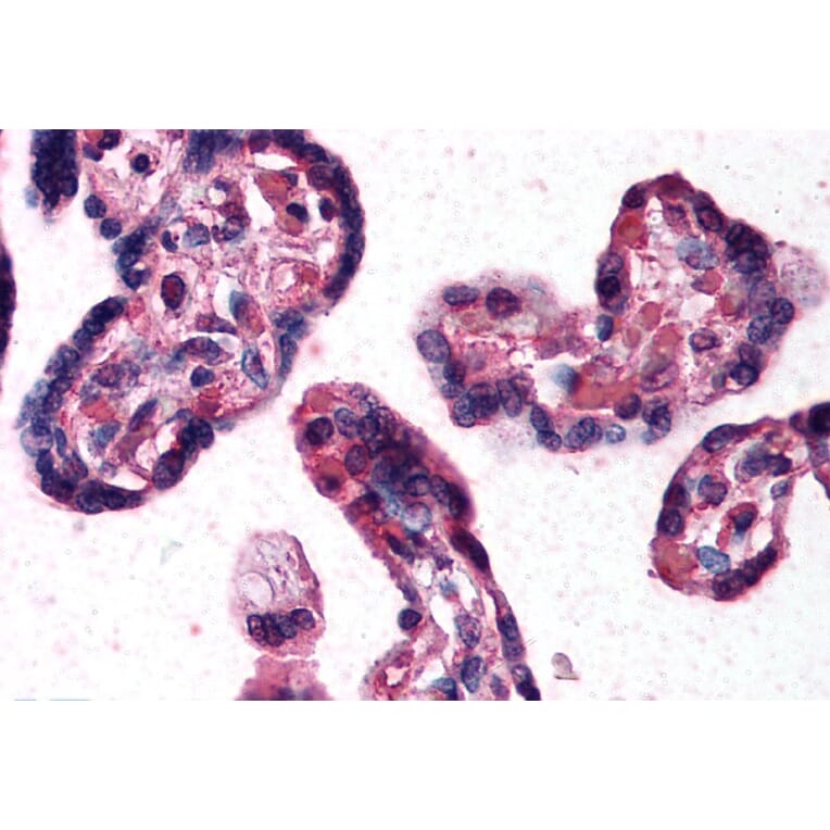
DKK1 expression in Human Placenta analyzed by immunohistochemistry. Tissue was paraffin-embedded, and antigen retrieval was achieved by steaming in citrate buffer, pH 6. Staining was performed with Anti-DKK1 Antibody (A84041) at 10µg/ml and revealed with alkaline phosphatase (AP).
DKK1 expression in HepG2 cells analyzed by immunofluorescence. Cells were permeabilized with 0.15% Triton. Staining was performed with Anti-DKK1 Antibody (A84041) at 10µg/ml for 1 hour and Alexa Fluor 488 secondary antibody at 2µg/ml. Cytoplasmic and nuclear staining shown and nuclei were stained with DAPI (blue). Negative control: Goat IgG Isotype Control at 10µg/ml followed by Alexa Fluor 488 secondary antibody at 2µg/ml.
DKK1 expression in HepG2 cells (blue line) analyzed by flow cytometry. Cells were fixed in PFA and permeabilized with 0.5% Triton. Staining was performed with Anti-DKK1 Antibody (A84041) at 10µg/ml for 1 hour and Alexa Fluor 488 secondary antibody at 1µg/ml. Negative Control: Goat IgG Isotype Control (black line) followed by Alexa Fluor 488 secondary antibody.
Publishing research using Anti-DKK1 Antibody (A84041)? Please let us know so that we can list the citation on this page.
Alternative products to Anti-DKK1 Antibody (A84041)
Recombinant humanized monoclonal antibody to DKK1 for use as a research grade Sirexatamab biosimilar for ELISA, Flow Cytometry, Functional Studies and in vivo Research.
Recombinant human monoclonal antibody to DKK1 for use as a research grade BHQ880 biosimilar for ELISA, Flow Cytometry, Functional Studies and in vivo Research.
Recombinant human monoclonal antibody to DKK1 for use as a research grade Anti-Human DKK1 [PF-048400 for ELISA, Flow Cytometry, Functional Studies and in vivo Research.
Recombinant humanized monoclonal antibody to DKK1 for use as a research grade Sirexatamab biosimilar for ELISA, Flow Cytometry, Functional Studies and in vivo Research.
Recombinant human monoclonal antibody to DKK1 for use as a research grade BHQ880 biosimilar for ELISA, Flow Cytometry, Functional Studies and in vivo Research.
Recombinant human monoclonal antibody to DKK1 for use as a research grade Anti-Human DKK1 [PF-048400 for ELISA, Flow Cytometry, Functional Studies and in vivo Research.