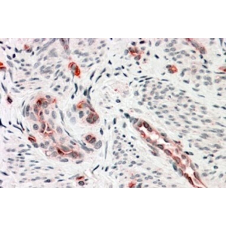
Anti-DKK3 Antibody (A83714) has been discontinued and is no longer available.
View all DKK3 Antibodies.
Unconjugated