Primary Antibodies
Secondary Antibodies
Proteins & Peptides
ELISA Kits
About Us
Contact Us
Sign In/Register
0
ISO 9001:2015 Certified
Live Customer Support
4.5/5 on Trustpilot
100% Quality Guarantee
Home
Primary Antibodies
HURP Antibodies
Anti-DLGAP5 Antibody (A34980)
Anti-DLGAP5 Antibody (A34980)
Overview
Specifications
Images
Enlarge Image
Enlarge Image
Enlarge Image
Enlarge Image
$390
Rabbit polyclonal antibody to DLGAP5 for WB, IHC and IF.
100% Guarantee
Price Match Guarantee
Product Size:
50µl
100µl
Quantity:
1
2
3
4
5
6
7
8
9
10
Add To Cart
Request a Quotation
Custom or Bulk Request
Shipping Information
Freight/Packing Charges:
$40
Dispatched from St. Louis, MO.
Lead Time: 6-9 business days.
Specifications
Name
Anti-DLGAP5 Antibody
Description
Rabbit polyclonal antibody to DLGAP5
Specificity
The antibody detects endogenous level of total DLGAP5 protein.
Applications
WB
,
IHC
,
IF
Reactivity
Human
Immunogen
Recombinant protein of human DLGAP5.
Host
Rabbit
Clonality
Polyclonal
Conjugate
Unconjugated
Purification
Antibodies were purified by affinity purification using immunogen.
Concentration
1 mg/ml
Formulation
Supplied at 1.0mg / mL in phosphate buffered saline (without Mg2+ and Ca2+), pH 7.4, 150mM NaCl, 0.02% sodium azide and 50% glycerol.
Storage
Store at -20˚C
Synonyms
DAP-5, Discs large homolog 7, Disks large-associated protein 5, Disks large-associated protein DLG7, DLG7, Hepatoma up-regulated protein, KIAA0008
Suitable Secondaries
Goat Anti-Rabbit IgG H&L Antibody (AP) (A294874)
Goat Anti-Rabbit IgG H&L Antibody (Biotin) (A294795)
Goat Anti-Rabbit IgG H&L Antibody (FITC) (A294887)
Goat Anti-Rabbit IgG H&L Antibody (HRP) (A294888)
See all Anti-Rabbit IgG Secondaries →
Disclaimer
This product is for research use only. It is not intended for diagnostic or therapeutic use.
Scientific Validation Data
Validation Data
(4)
Enlarge Image
Anti-DLGAP5 Antibody (A34980)
Western blot analysis of extracts of HEK-293 cell lines, using DLGAP5 antibody.
Enlarge Image
Immunofluorescence - Anti-DLGAP5 Antibody (A34980)
Immunofluorescence analysis of U2OS cell using DLGAP5 antibody. Blue: DAPI for nuclear staining.
Enlarge Image
Immunohistochemistry - Anti-DLGAP5 Antibody (A34980)
Immunohistochemistry of paraffin-embedded human stomach transfer using DLGAP5 antibody at dilution of 1: 200 (x400 lens).
Enlarge Image
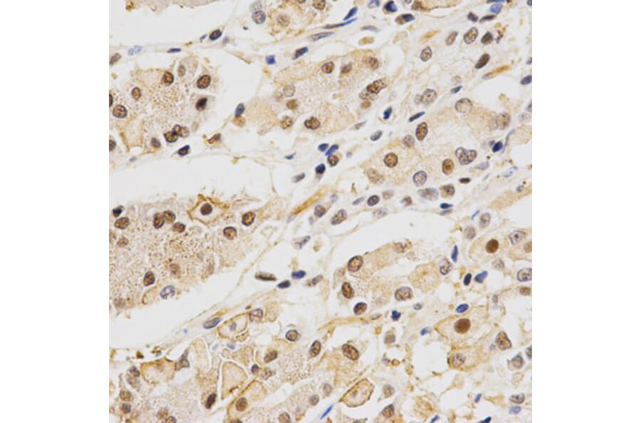
Immunohistochemistry - Anti-DLGAP5 Antibody (A34980)
Immunohistochemistry of paraffin-embedded human oesophageal cancer using DLGAP5 antibody at dilution of 1: 100 (x400 lens).
Publishing research using Anti-DLGAP5 Antibody (A34980)? Please
let us know
so that we can list the citation on this page.
Alternative products to Anti-DLGAP5 Antibody (A34980)
(2)
A92452
Anti-HURP Antibody
Rabbit polyclonal antibody to HURP for WB, IHC and ICC/IF.
(3)
A30180
Anti-DLGAP5 Antibody
Rabbit polyclonal antibody to DLGAP5 for WB, IHC and IF.
(3)
A100581
Anti-DLGAP5 Antibody
Rabbit polyclonal antibody to DLGAP5 for WB and ELISA.
(2)
A11516
Anti-HURP Antibody
Rabbit polyclonal antibody to HURP for WB and ICC/IF.
A100582
Anti-DLGAP5 Antibody
Rabbit polyclonal antibody to DLGAP5 for WB and ELISA.
(2)
A92452
Anti-HURP Antibody
Rabbit polyclonal antibody to HURP for WB, IHC and ICC/IF.
(3)
A30180
Anti-DLGAP5 Antibody
Rabbit polyclonal antibody to DLGAP5 for WB, IHC and IF.
(3)
A100581
Anti-DLGAP5 Antibody
Rabbit polyclonal antibody to DLGAP5 for WB and ELISA.
(2)
A11516
Anti-HURP Antibody
Rabbit polyclonal antibody to HURP for WB and ICC/IF.
A100582
Anti-DLGAP5 Antibody
Rabbit polyclonal antibody to DLGAP5 for WB and ELISA.
See all DLGAP5 Antibodies
Proteins predicted to interact with HURP
Predicted protein interactions based upon String database. Revelancy score correlates with probability of interaction.
CD168 Antibodies
99.9% Relevancy Score
CEP55 Antibodies
99.9% Relevancy Score
Eg5 Antibodies
99.7% Relevancy Score
ASPM Antibodies
99.4% Relevancy Score
Bub1 Antibodies
98.6% Relevancy Score
MELK Antibodies
98.2% Relevancy Score
CDC20 Antibodies
98.1% Relevancy Score
BubR1 Antibodies
98.1% Relevancy Score
PBK Antibodies
97.9% Relevancy Score
Top