Primary Antibodies
Secondary Antibodies
Proteins & Peptides
ELISA Kits
About Us
Contact Us
Sign In/Register
0
ISO 9001:2015 Certified
Live Customer Support
4.5/5 on Trustpilot
100% Quality Guarantee
Home
Primary Antibodies
TID1 Antibodies
Anti-DNAJA3 Antibody (A45612)
Anti-DNAJA3 Antibody (A45612)
Overview
Specifications
Images
Enlarge Image
Enlarge Image
$430
Product Datasheet
Rabbit polyclonal antibody to DNAJA3 for IHC.
100% Guarantee
Price Match Guarantee
Product Size:
100µl
Quantity:
1
2
3
4
5
6
7
8
9
10
Add To Cart
Request a Quotation
Custom or Bulk Request
Shipping Information
Freight/Packing Charges:
$40
Dispatched from St. Louis, MO.
Lead Time: 6-9 business days.
Specifications
Name
Anti-DNAJA3 Antibody
Description
Rabbit polyclonal antibody to DNAJA3
Specificity
The antibody detects endogenous levels of total DNAJA3 protein.
Applications
IHC
Reactivity
Human
Immunogen
Full length fusion protein
Host
Rabbit
Clonality
Polyclonal
Conjugate
Unconjugated
Purification
Antigen affinity purification.
Concentration
1.6 mg/mL
Formulation
Rabbit IgG in pH7.4 PBS, 0.05% NaN3, 40% Glycerol.
Storage
Shipped at 4°C. Upon delivery aliquot and store at -20°C. Avoid freeze/thaw cycles.
Synonyms
DnaJ homolog subfamily A member 3, mitochondrial, DnaJ protein Tid-1, HCA57, Hepatocellular carcinoma-associated antigen 57, hTid-1, Tumorous imaginal discs protein Tid56 homolog
Suitable Secondaries
Goat Anti-Rabbit IgG H&L Antibody (AP) (A294874)
Goat Anti-Rabbit IgG H&L Antibody (Biotin) (A294795)
Goat Anti-Rabbit IgG H&L Antibody (FITC) (A294887)
Goat Anti-Rabbit IgG H&L Antibody (HRP) (A294888)
See all Anti-Rabbit IgG Secondaries →
Disclaimer
This product is for research use only. It is not intended for diagnostic or therapeutic use.
Scientific Validation Data
Validation Data
(2)
Enlarge Image
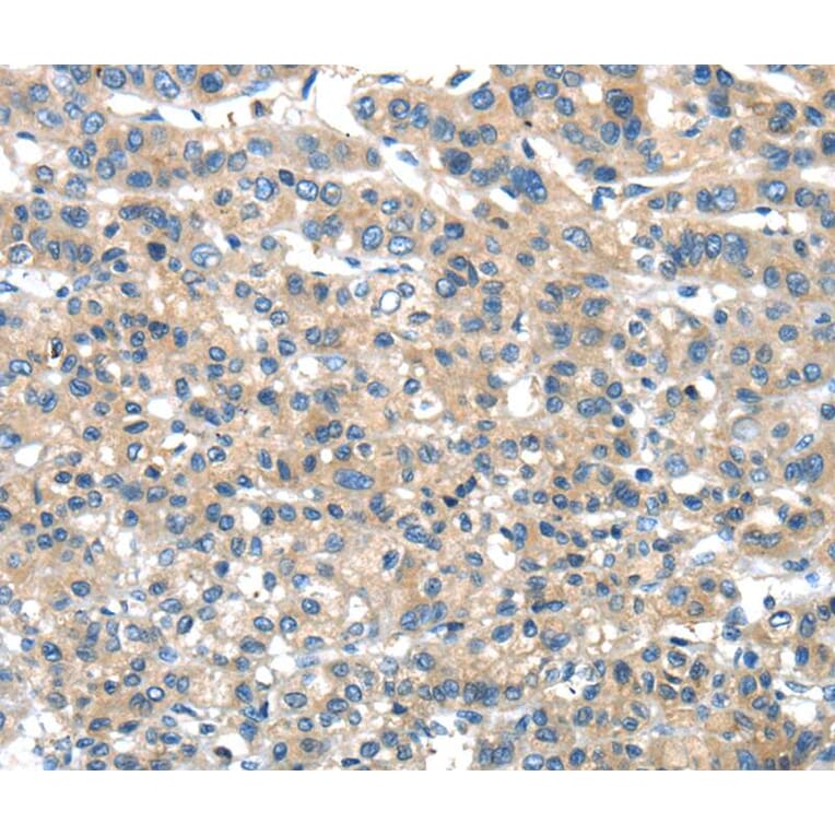
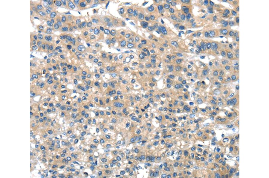
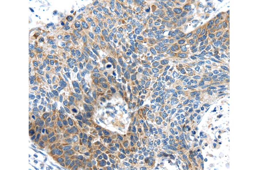
Immunohistochemistry - Anti-DNAJA3 Antibody (A45612)
Immunohistochemical analysis of paraffin-embedded Human liver cancer tissue using #40102 at dilution 1/30.
Enlarge Image
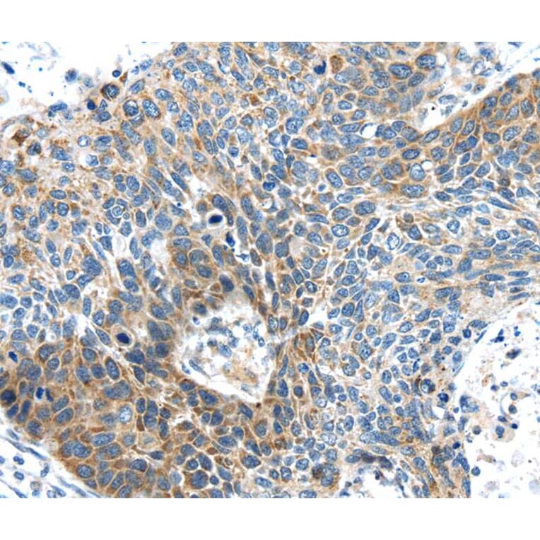
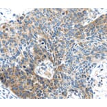
Immunohistochemistry - Anti-DNAJA3 Antibody (A45612)
Immunohistochemical analysis of paraffin-embedded Human oesophagus cancer tissue using #40102 at dilution 1/30.
Publishing research using Anti-DNAJA3 Antibody (A45612)? Please
let us know
so that we can list the citation on this page.
Alternative products to Anti-DNAJA3 Antibody (A45612)
A31823
Anti-DNAJA3 Antibody
Rabbit polyclonal antibody to DNAJA3 for WB, IHC and IF.
A15498
Anti-TID1 Antibody
Rabbit polyclonal antibody to TID1 for WB.
A31823
Anti-DNAJA3 Antibody
Rabbit polyclonal antibody to DNAJA3 for WB, IHC and IF.
A15498
Anti-TID1 Antibody
Rabbit polyclonal antibody to TID1 for WB.
Proteins predicted to interact with TID1
Predicted protein interactions based upon String database. Revelancy score correlates with probability of interaction.
GRP75 Antibodies
99.4% Relevancy Score
Hsc70 Antibodies
94.7% Relevancy Score
HSP70 Antibodies
88.1% Relevancy Score
HSPA4 Antibodies
85.7% Relevancy Score
BIP Antibodies
84.9% Relevancy Score
GRPEL2 Antibodies
82.9% Relevancy Score
HSPA1L Antibodies
79.3% Relevancy Score
CLPP Antibodies
77.7% Relevancy Score
IFN gamma Receptor beta Antibodies
73.8% Relevancy Score
Top