Primary Antibodies
Secondary Antibodies
Proteins & Peptides
ELISA Kits
About Us
Contact Us
Sign In/Register
0
ISO 9001:2015 Certified
Live Customer Support
4.5/5 on Trustpilot
100% Quality Guarantee
Home
Primary Antibodies
DNAJC15 Antibodies
Anti-DNAJC15 Antibody (A32361)
Anti-DNAJC15 Antibody (A32361)
Overview
Specifications
Images
Enlarge Image
Enlarge Image
Enlarge Image
Enlarge Image
Enlarge Image
Enlarge Image
$455
Rabbit monoclonal antibody to DNAJC15 for WB and IHC.
100% Guarantee
Price Match Guarantee
Product Size:
50µl
100µl
Quantity:
1
2
3
4
5
6
7
8
9
10
Add To Cart
Request a Quotation
Custom or Bulk Request
Shipping Information
Freight/Packing Charges:
$40
Dispatched from St. Louis, MO.
Lead Time: 7-10 business days.
Specifications
Name
Anti-DNAJC15 Antibody
Description
Rabbit monoclonal antibody to DNAJC15
Specificity
This antibody detects endogenous levels of DNAJC15 and does not cross-react with related proteins.
Applications
WB
,
IHC
Reactivity
Human, Mouse, Rat
Immunogen
Recombinant antibody.
Host
Rabbit
Clonality
Monoclonal
Conjugate
Unconjugated
Molecular Weight
~ 16 kDa
Purity
Protein A affinity purified
Product Form
Recombinant Rabbit Monoclonal Antibody. 1*TBS (pH7.4), 1%BSA, 40%Glycerol. Preservative: 0.05% Sodium Azide.
Synonyms
Cell growth-inhibiting gene 22 protein, DnaJ homolog subfamily C member 15, DNAJD1, MCJ, Methylation-controlled J protein
Suitable Secondaries
Goat Anti-Rabbit IgG H&L Antibody (AP) (A294874)
Goat Anti-Rabbit IgG H&L Antibody (Biotin) (A294795)
Goat Anti-Rabbit IgG H&L Antibody (FITC) (A294887)
Goat Anti-Rabbit IgG H&L Antibody (HRP) (A294888)
See all Anti-Rabbit IgG Secondaries →
Disclaimer
This product is for research use only. It is not intended for diagnostic or therapeutic use.
Scientific Validation Data
Validation Data
(6)
Enlarge Image
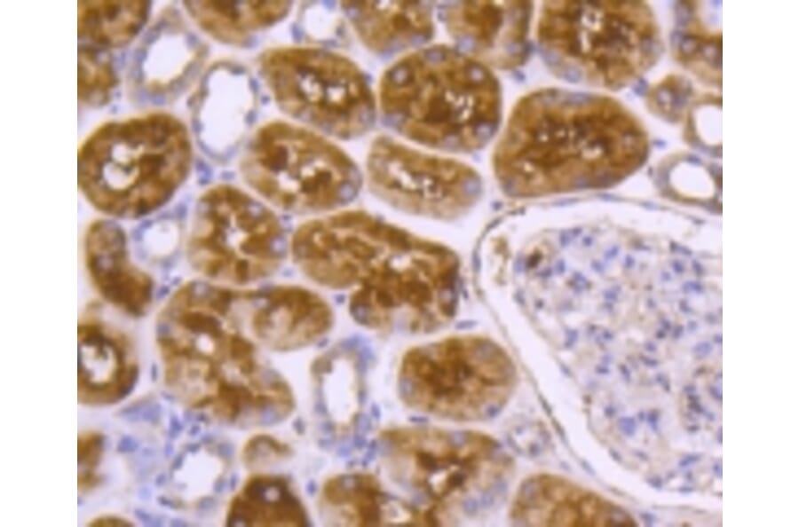
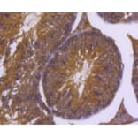
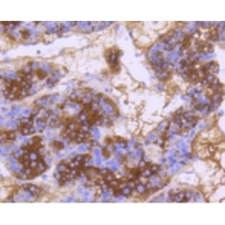
Anti-DNAJC15 Antibody (A32361)
For details please refer to datasheet.
Enlarge Image
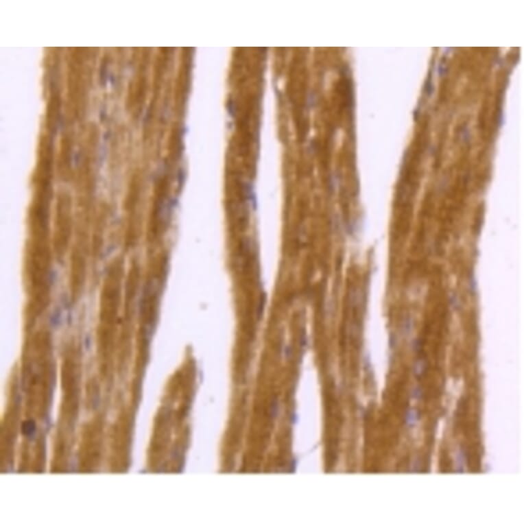
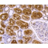
Anti-DNAJC15 Antibody (A32361)
For details please refer to datasheet.
Enlarge Image
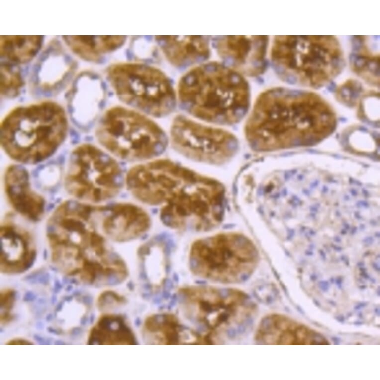
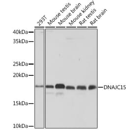
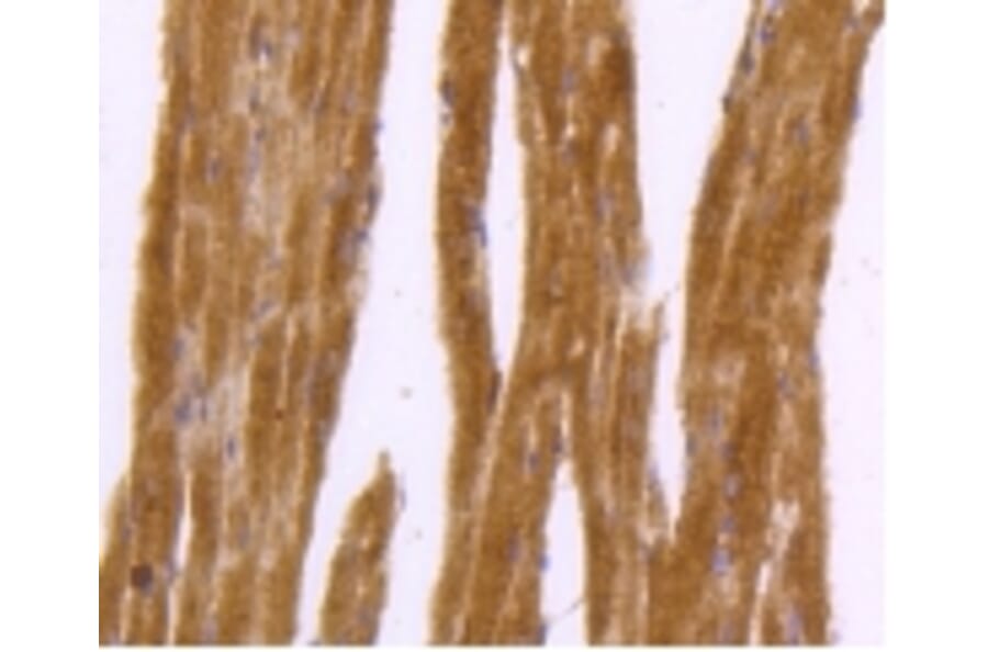
Anti-DNAJC15 Antibody (A32361)
For details please refer to datasheet.
Enlarge Image
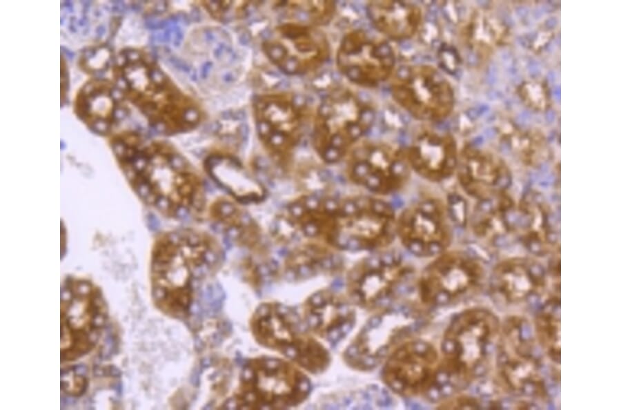
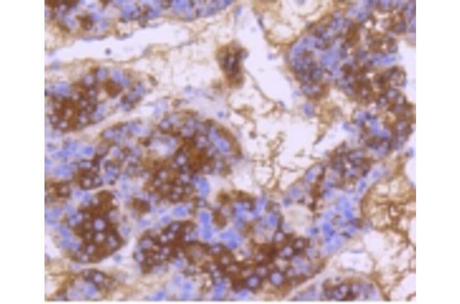
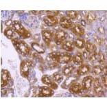
Anti-DNAJC15 Antibody (A32361)
For details please refer to datasheet.
Enlarge Image
Anti-DNAJC15 Antibody (A32361)
For details please refer to datasheet.
Enlarge Image
Anti-DNAJC15 Antibody (A32361)
For details please refer to datasheet.
Show more images
Publishing research using Anti-DNAJC15 Antibody (A32361)? Please
let us know
so that we can list the citation on this page.
Alternative products to Anti-DNAJC15 Antibody (A32361)
(2)
A305809
Anti-MCJ Antibody [ARC0249]
Rabbit monoclonal [ARC0249] antibody to MCJ for WB and ICC/IF.
A45134
Anti-DNAJC15 Antibody
Rabbit polyclonal antibody to DNAJC15 for IHC.
(2)
A305809
Anti-MCJ Antibody [ARC0249]
Rabbit monoclonal [ARC0249] antibody to MCJ for WB and ICC/IF.
A45134
Anti-DNAJC15 Antibody
Rabbit polyclonal antibody to DNAJC15 for IHC.
Proteins predicted to interact with DNAJC15
Predicted protein interactions based upon String database. Revelancy score correlates with probability of interaction.
PAM16 Antibodies
98.5% Relevancy Score
TIMM44 Antibodies
94.5% Relevancy Score
GRP75 Antibodies
92.8% Relevancy Score
TIMM17A Antibodies
88% Relevancy Score
TIMM17B Antibodies
87.4% Relevancy Score
TIM50 Antibodies
79.5% Relevancy Score
DNAJC19 Antibodies
79.4% Relevancy Score
TIMM10 Antibodies
78.3% Relevancy Score
GRPEL2 Antibodies
76.2% Relevancy Score
Top