ISO 9001:2015 Certified
Live Customer Support
4.5/5 on Trustpilot
100% Quality Guarantee

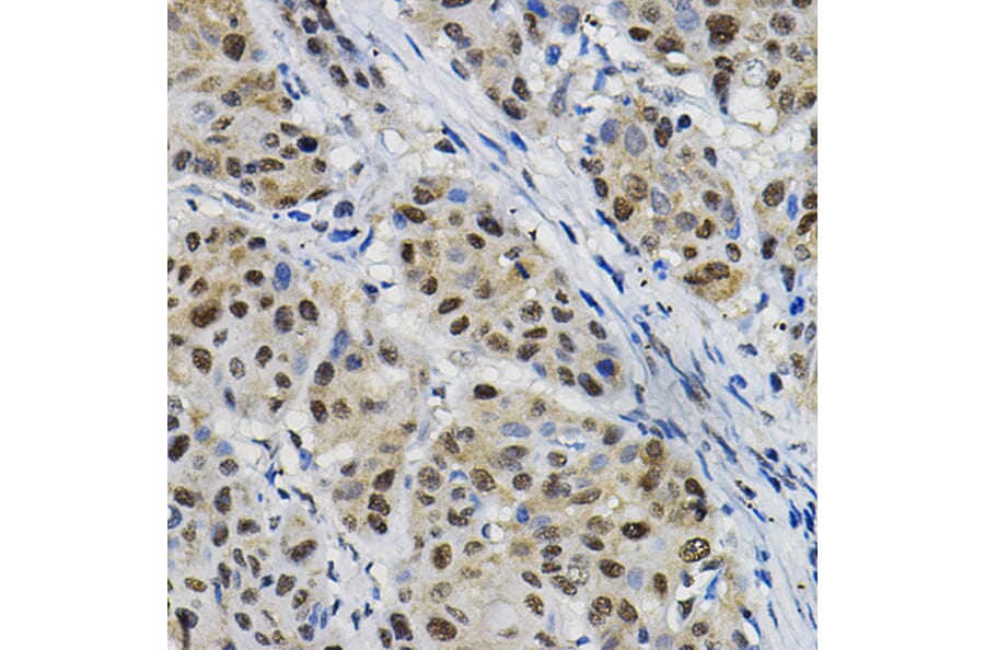
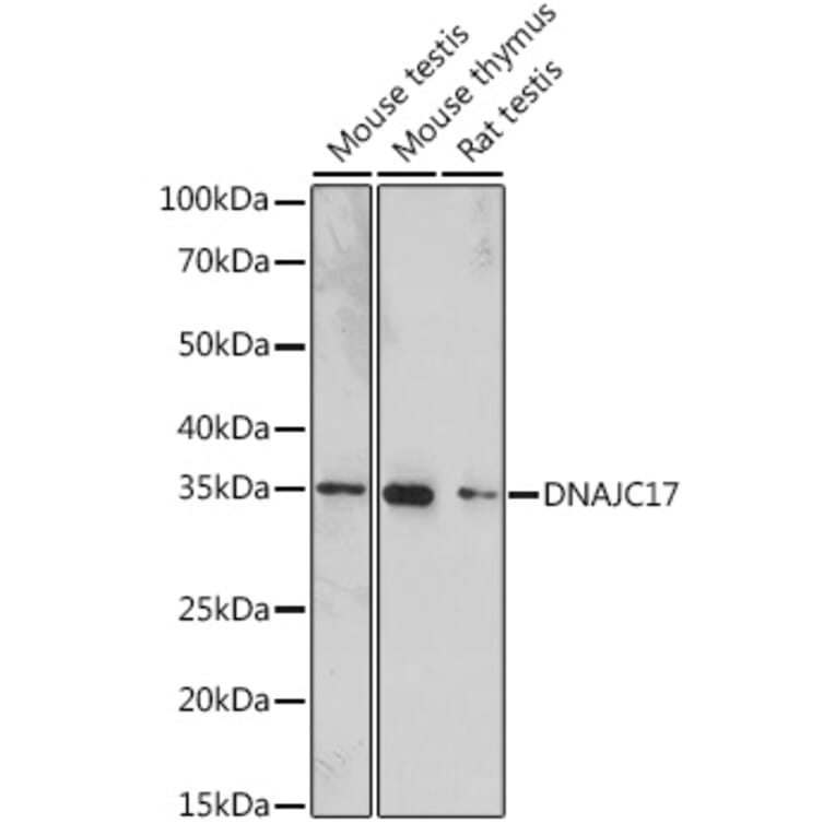
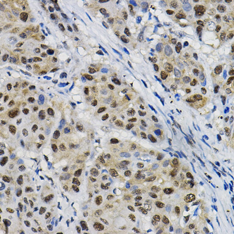
Anti-DNAJC17 Antibody (A307090)

Rabbit polyclonal antibody to DNAJC17 for WB and IHC.

Shipping Information

$40
Dispatched from St. Louis, MO.
Lead Time: 7-10 business days.
Name
Anti-DNAJC17 Antibody
Description
Rabbit polyclonal antibody to DNAJC17.
Applications
WB, IHC
Dilutions
WB: 1:500-1:1,000, IHC: 1:50-1:200
Reactivity
Human, Mouse, Rat
Immunogen
Recombinant fusion protein containing a sequence corresponding to amino acids 1-304 of human DNAJC17 (NP_060633.1).
Sequence
MAVTKELLQMDLYALLGIEEKAADKEVKKAYRQKALSCHPDKNPDNPRAAELFHQLSQALEVLTDAAARAAYDKVRKAKKQAAERTQKLDEKRKKVKLDLEARERQAQAQESEEEEESRSTRTLEQEIERLREEGSRQLEEQQRLIREQIRQERDQRLRGKAENTEGQGTPKLKLKWKCKKEDESKGGYSKDVLLRLLQKYGEVLNLVLSSKKPGTAVVEFATVKAAELAVQNEVGLVDNPLKISWLEGQPQDAVGRSHSGLSKGSVLSERDYESLVMMRMRQAAERQQLIARMQQEDQEGPPT
Host
Rabbit
Clonality
Polyclonal
Isotype
IgG
Conjugate

Unconjugated

Purification
Affinity purification.
Concentration
Lot Specific
Molecular Weight
35 kDa
Product Form
Liquid
Formulation
Supplied in Phosphate Buffered Saline, pH 7.3, with 50% Glycerol and 0.01% Thiomersal.
Storage
Shipped at 4°C. Upon delivery aliquot and store at -20°C. Avoid freeze/thaw cycles.
Synonyms
DnaJ homolog subfamily C member 17
Disclaimer
This product is for research use only. It is not intended for diagnostic or therapeutic use.
Publishing research using Anti-DNAJC17 Antibody (A307090)? Please let us know so that we can list the citation on this page.

Alternative products to Anti-DNAJC17 Antibody (A307090)

Proteins predicted to interact with DNAJC17

Predicted protein interactions based upon String database. Revelancy score correlates with probability of interaction.
98.6% Relevancy Score
73.3% Relevancy Score
66.5% Relevancy Score
60.6% Relevancy Score
59.6% Relevancy Score
57.6% Relevancy Score
55.2% Relevancy Score
54.5% Relevancy Score