ISO 9001:2015 Certified
Live Customer Support
4.5/5 on Trustpilot
100% Quality Guarantee

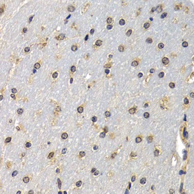
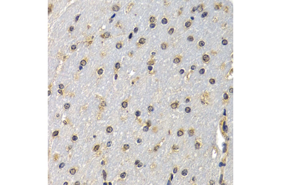
Anti-DNASE1 Antibody (A30924)

$435

Rabbit polyclonal antibody to DNASE1 for WB, IHC and IF.

Shipping Information

$40
Dispatched from St. Louis, MO.
Lead Time: 7-10 business days.
Name
Anti-DNASE1 Antibody
Description
Rabbit polyclonal antibody to DNASE1
Specificity
DNASE1 pAb detects endogenous levels of DNASE1 protein.
Applications
WB, IHC, IF
Reactivity
Human, Mouse, Rat
Immunogen
Recombinant full length Human DNASE1.
Host
Rabbit
Clonality
Polyclonal
Conjugate

Unconjugated

Molecular Weight
~ 31 kDa
Purity
The antibody was affinity-purified from rabbit antiserum by affinity-chromatography using epitope-specific immunogen and the purity is > 95% (by SDS-PAGE).
Product Form
1mg/ml in PBS with 0.1% Sodium Azide, 50% Glycerol.
Synonyms
Deoxyribonuclease I, Deoxyribonuclease-1, DNL1, DRNI
Disclaimer
This product is for research use only. It is not intended for diagnostic or therapeutic use.
Publishing research using Anti-DNASE1 Antibody (A30924)? Please let us know so that we can list the citation on this page.

Alternative products to Anti-DNASE1 Antibody (A30924)

Proteins predicted to interact with DNase I

Predicted protein interactions based upon String database. Revelancy score correlates with probability of interaction.
83.9% Relevancy Score
63.7% Relevancy Score
61.6% Relevancy Score
55% Relevancy Score
50.8% Relevancy Score
48.4% Relevancy Score
47.9% Relevancy Score
47.8% Relevancy Score