Primary Antibodies
Secondary Antibodies
Proteins & Peptides
ELISA Kits
About Us
Contact Us
Sign In/Register
0
ISO 9001:2015 Certified
Live Customer Support
4.5/5 on Trustpilot
100% Quality Guarantee
Home
Primary Antibodies
Dynamin 2 Antibodies
Anti-DNM2 Antibody (A38823)
Anti-DNM2 Antibody (A38823)
Overview
Specifications
Images
Enlarge Image
Enlarge Image
$430
Product Datasheet
Rabbit polyclonal antibody to DNM2 for WB and IHC.
100% Guarantee
Price Match Guarantee
Product Size:
100µl
Quantity:
1
2
3
4
5
6
7
8
9
10
Add To Cart
Request a Quotation
Custom or Bulk Request
Shipping Information
Freight/Packing Charges:
$40
Dispatched from St. Louis, MO.
Lead Time: 6-9 business days.
Specifications
Name
Anti-DNM2 Antibody
Description
Rabbit polyclonal antibody to DNM2
Specificity
The antibody detects endogenous levels of total DNM2 protein.
Applications
WB
,
IHC
Reactivity
Human, Mouse, Rat
Immunogen
Synthetic peptide corresponding to a region derived from internal residues of human dynamin 2
Host
Rabbit
Clonality
Polyclonal
Conjugate
Unconjugated
Purification
Antigen affinity purification.
Concentration
2.7 mg/mL
Formulation
Supplied in PBS, pH 7.3, containing 0.05% sodium azide and 50% glycerol.
Storage
Shipped at 4°C. Upon delivery aliquot and store at -20°C. Avoid freeze/thaw cycles.
Synonyms
DYN2, Dynamin II, Dynamin-2
Suitable Secondaries
Goat Anti-Rabbit IgG H&L Antibody (AP) (A294874)
Goat Anti-Rabbit IgG H&L Antibody (Biotin) (A294795)
Goat Anti-Rabbit IgG H&L Antibody (FITC) (A294887)
Goat Anti-Rabbit IgG H&L Antibody (HRP) (A294888)
See all Anti-Rabbit IgG Secondaries →
Disclaimer
This product is for research use only. It is not intended for diagnostic or therapeutic use.
Scientific Validation Data
Validation Data
(2)
Enlarge Image
Anti-DNM2 Antibody (A38823)
Gel: 6%SDS-PAGE Lysates (from left to right): Hela, NIH/3T3 and Raji cell Amount of lysate: 40ug per lane Primary antibody: 1/400 dilution Secondary antibody dilution: 1/8000 Exposure time: 30 seconds
Enlarge Image
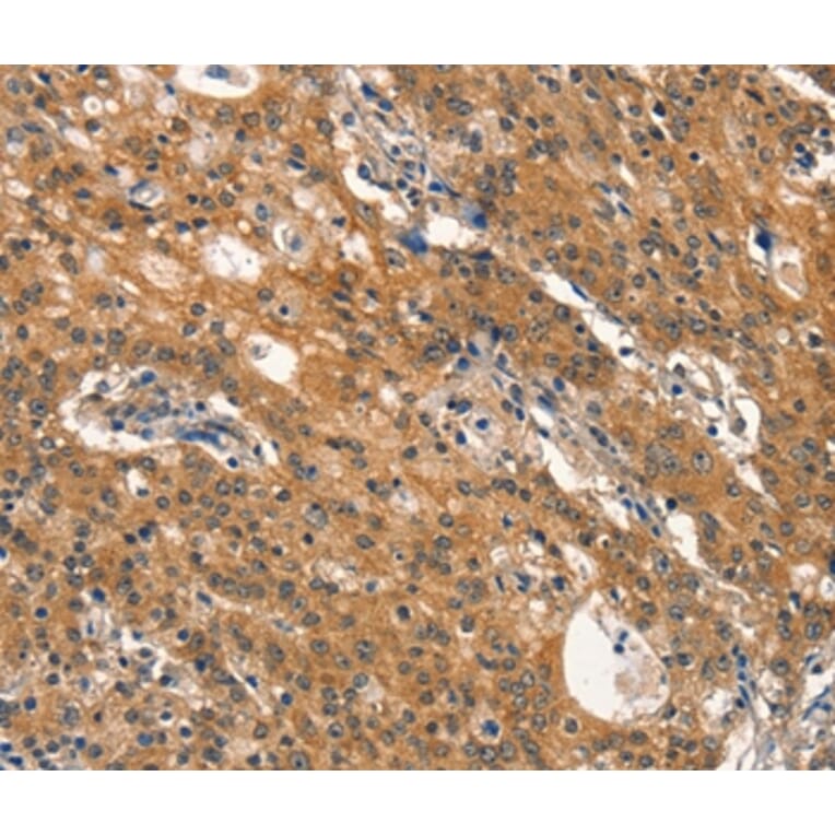
Immunohistochemistry - Anti-DNM2 Antibody (A38823)
Immunohistochemical analysis of paraffin-embedded Human gastric cancer tissue using #37541 at dilution 1/40.
Publishing research using Anti-DNM2 Antibody (A38823)? Please
let us know
so that we can list the citation on this page.
Alternative products to Anti-DNM2 Antibody (A38823)
(4)
A12643
Anti-Dynamin 2 Antibody
Rabbit polyclonal antibody to Dynamin 2 for WB and ICC/IF.
A345729
Anti-Dynamin 2 Antibody [23GB5170]
Recombinant rabbit monoclonal [23GB5170] antibody to Dynamin 2 for WB, Flow Cytometry, ICC/IF and IHC-P.
A345728
Anti-Dynamin 2 Antibody [24GB10845]
Recombinant rabbit monoclonal [24GB10845] antibody to Dynamin 2 for WB, Flow Cytometry, ICC/IF and IHC-P.
(2)
A81159
Anti-Dynamin 2 Antibody
Rabbit polyclonal antibody to Dynamin 2 for WB and ICC/IF.
(4)
A12643
Anti-Dynamin 2 Antibody
Rabbit polyclonal antibody to Dynamin 2 for WB and ICC/IF.
A345729
Anti-Dynamin 2 Antibody [23GB5170]
Recombinant rabbit monoclonal [23GB5170] antibody to Dynamin 2 for WB, Flow Cytometry, ICC/IF and IHC-P.
A345728
Anti-Dynamin 2 Antibody [24GB10845]
Recombinant rabbit monoclonal [24GB10845] antibody to Dynamin 2 for WB, Flow Cytometry, ICC/IF and IHC-P.
(2)
A81159
Anti-Dynamin 2 Antibody
Rabbit polyclonal antibody to Dynamin 2 for WB and ICC/IF.
Proteins predicted to interact with Dynamin 2
Predicted protein interactions based upon String database. Revelancy score correlates with probability of interaction.
HCLS1 Antibodies
99.8% Relevancy Score
Cortactin Antibodies
99.3% Relevancy Score
BIN1 Antibodies
99.2% Relevancy Score
Amphiphysin Antibodies
99.2% Relevancy Score
Dynamin 3 Antibodies
98.4% Relevancy Score
Dynamin 1 Antibodies
98.3% Relevancy Score
N-WASP Antibodies
97.9% Relevancy Score
ARC Antibodies
97.8% Relevancy Score
Caveolin-1 Antibodies
97.6% Relevancy Score
Top