ISO 9001:2015 Certified
Live Customer Support
4.5/5 on Trustpilot
100% Quality Guarantee

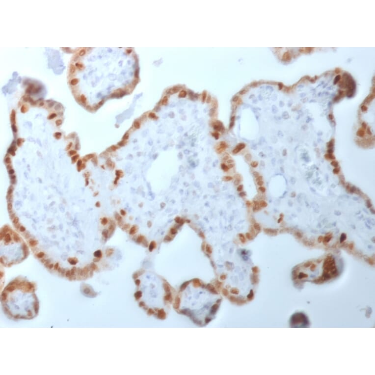
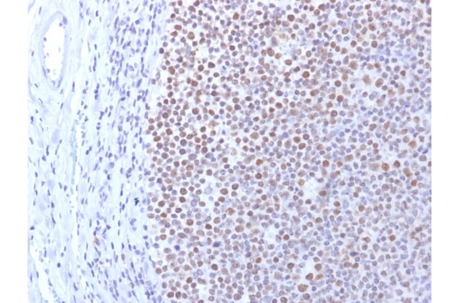
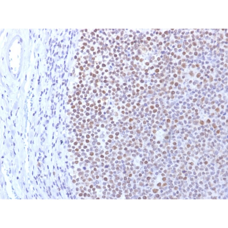
Anti-DNMT1 Antibody [DNMT1/2061] (A248346)

Mouse monoclonal [DNMT1/2061] antibody to DNMT1 for IHC-P.

Alternative Formats and ConjugatesAlternative Formats

Shipping Information

$40
Dispatched from St. Louis, MO.
Lead Time: 5-8 business days.
Name
Anti-DNMT1 Antibody [DNMT1/2061]
Description
Mouse monoclonal [DNMT1/2061] antibody to DNMT1.
Specificity
This gene encodes an enzyme that transfers methyl groups to cytosine nucleotides of genomic DNA. This protein is the major enzyme responsible for maintaining methylation patterns following DNA replication and shows a preference for hemi-methylated DNA. Methylation of DNA is an important component of mammalian epigenetic gene regulation. Aberrant methylation patterns are found in human tumors and associated with developmental abnormalities. Variation in this gene has been associated with cerebellar ataxia, deafness, and narcolepsy, and neuropathy, hereditary sensory, type IE.
Applications
IHC-P
Dilutions
IHC-P: 1-2 µg/ml
Reactivity
Human
Immunogen
Recombinant fragment, around amino acids 767-912, of human DNMT1 protein. The exact sequence is proprietary.
Host
Mouse
Clonality
Monoclonal
Clone ID
DNMT1/2061
Isotype
IgG2b
Light Chains
kappa
Conjugate

Unconjugated

Purification
Protein A/G chromatography.
Concentration
200 µg/ml
Molecular Weight
184 kDa
Product Form
Liquid
Formulation
Supplied in 10mM Phosphate Buffered Saline with 0.05% BSA and 0.05% Sodium Azide.
Storage
Shipped at 4°C. Upon delivery aliquot and store at -20°C. Avoid freeze / thaw cycles.
General Notes
This monoclonal antibody is also available in a different formulation without BSA and Sodium Azide - Anti-DNMT1 Antibody [DNMT1/2061] - BSA and Azide free (A251528).
Synonyms
AIM, CXXC-type zinc finger protein 9, CXXC9, DNA (cytosine-5)-methyltransferase 1, DNA methyltransferase HsaI, DNA MTase HsaI, DNMT, M.HsaI, MCMT
Disclaimer
This product is for research use only. It is not intended for diagnostic or therapeutic use.
Publishing research using Anti-DNMT1 Antibody [DNMT1/2061] (A248346)? Please let us know so that we can list the citation on this page.

Alternative products to Anti-DNMT1 Antibody [DNMT1/2061] (A248346)

Proteins predicted to interact with DNMT1

Predicted protein interactions based upon String database. Revelancy score correlates with probability of interaction.
99.9% Relevancy Score
99.9% Relevancy Score
99.9% Relevancy Score
99.9% Relevancy Score
99.9% Relevancy Score
99.9% Relevancy Score
99.9% Relevancy Score
99.8% Relevancy Score
99.8% Relevancy Score