ISO 9001:2015 Certified
Live Customer Support
4.5/5 on Trustpilot
100% Quality Guarantee

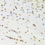
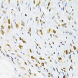
Anti-DOK1 Antibody (A14906)

Rabbit polyclonal antibody to DOK1 for WB, IHC and ICC/IF.

Shipping Information

$40
Dispatched from St. Louis, MO.
Lead Time: 7-10 business days.
Name
Anti-DOK1 Antibody
Description
Rabbit polyclonal antibody to DOK1.
Applications
WB, IHC, ICC/IF
Dilutions
WB: 1:500-1:2,000, IHC: 1:50-1:200, ICC/IF: 1:50-1:100
Reactivity
Human, Mouse, Rat
Immunogen
Recombinant fusion protein containing a sequence corresponding to amino acids 1-280 of human DOK1 (NP_001372.1).
Sequence
MDGAVMEGPLFLQSQRFGTKRWRKTWAVLYPASPHGVARLEFFDHKGSSSGGGRGSSRRLDCKVIRLAECVSVAPVTVETPPEPGATAFRLDTAQRSHLLAADAPSSAAWVQTLCRNAFPKGSWTLAPTDNPPKLSALEMLENSLYSPTWEGSQFWVTVQRTEAAERCGLHGSYVLRVEAERLTLLTVGAQSQILEPLLSWPYTLLRRYGRDKVMFSFEAGRRCPSGPGTFTFQTAQGNDIFQAVETAIHRQKAQGKAGQGHDVLRADSHEGEVAEGKLP
Host
Rabbit
Clonality
Polyclonal
Isotype
IgG
Conjugate

Unconjugated

Purification
Affinity purification.
Concentration
Lot Specific
Molecular Weight
52 kDa
Product Form
Liquid
Formulation
Supplied in Phosphate Buffered Saline, pH 7.3, with 50% Glycerol and 0.02% Sodium Azide.
Storage
Shipped at 4°C. Upon delivery aliquot and store at -20°C. Avoid freeze/thaw cycles.
Synonyms
Docking protein 1, Downstream of tyrosine kinase 1, p62(dok, pp62
Disclaimer
This product is for research use only. It is not intended for diagnostic or therapeutic use.
Publishing research using Anti-DOK1 Antibody (A14906)? Please let us know so that we can list the citation on this page.

Alternative products to Anti-DOK1 Antibody (A14906)

Proteins predicted to interact with DOK1

Predicted protein interactions based upon String database. Revelancy score correlates with probability of interaction.
99.7% Relevancy Score
93.4% Relevancy Score
93.1% Relevancy Score
90.7% Relevancy Score
89.9% Relevancy Score
89.1% Relevancy Score
84.6% Relevancy Score
80.8% Relevancy Score
74.9% Relevancy Score