ISO 9001:2015 Certified
Live Customer Support
4.5/5 on Trustpilot
100% Quality Guarantee

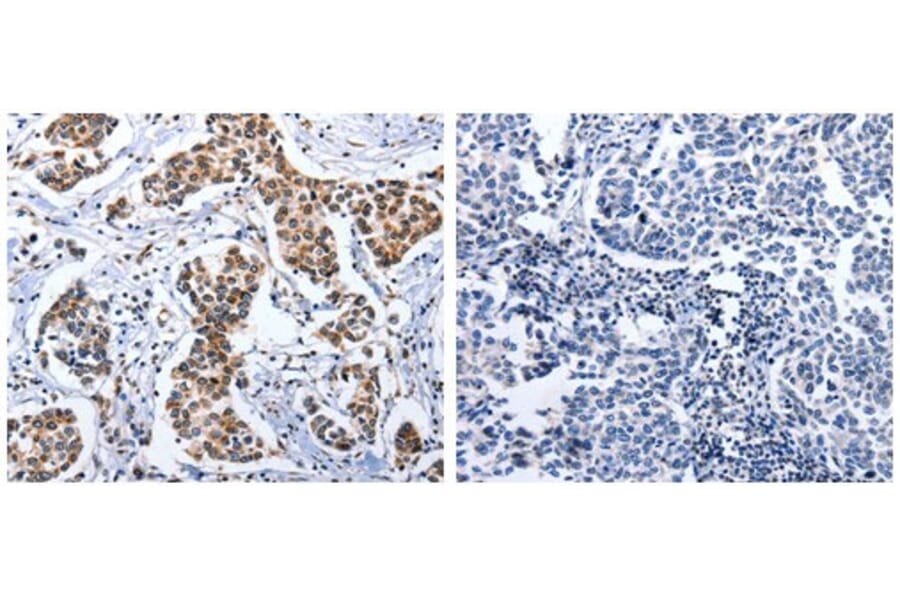
Anti-DOK3 Antibody (A48467)

Rabbit polyclonal antibody to DOK3 for ELISA, WB and IHC.

Shipping Information

$40
Dispatched from St. Louis, MO.
Lead Time: 6-9 business days.
Name
Anti-DOK3 Antibody
Description
Rabbit polyclonal antibody to DOK3
Specificity
The antibody detects endogenous level of total DOK3 protein.
Applications
ELISA, WB, IHC
Dilutions
ELISA: 1:1000-1:5000 Western blotting: 1:500-1:2000 Immunohistochemistry: 1:10-1:50
Reactivity
Human
Immunogen
Fusion protein corresponding to C terminal 300 amino acids of human docking protein 3
Host
Rabbit
Clonality
Polyclonal
Conjugate

Unconjugated

Predicted MW
53kd
Formulation
Supplied in phosphate-buffered saline (without Mg²? and Ca²?), pH 7.3, containing 150 mM NaCl, 0.05% sodium azide, and 50% glycerol.
Storage
Shipped at 4°C. Upon delivery aliquot and store at -20°C. Avoid freeze/thaw cycles.
Synonyms
Docking protein 3, Downstream of tyrosine kinase 3
Disclaimer
This product is for research use only. It is not intended for diagnostic or therapeutic use.
Publishing research using Anti-DOK3 Antibody (A48467)? Please let us know so that we can list the citation on this page.

Alternative products to Anti-DOK3 Antibody (A48467)

Proteins predicted to interact with DOK3

Predicted protein interactions based upon String database. Revelancy score correlates with probability of interaction.
92.8% Relevancy Score
86.2% Relevancy Score
84.4% Relevancy Score
82% Relevancy Score
67.1% Relevancy Score
64.3% Relevancy Score
60.1% Relevancy Score
59% Relevancy Score
57.9% Relevancy Score