Western Blot - Anti-DOPA Decarboxylase/DDC Antibody (A14470)
Western blot analysis of extracts of various cell lines, using Anti-DOPA Decarboxylase/DDC Antibody (A14470) at 1:500 dilution. The secondary antibody was Goat Anti-Rabbit IgG H&L Antibody (HRP) at 1:10,000 dilution. Lysates/proteins were present at 25µg per lane. The blocking buffer used was 3% non-fat dry milk in TBST. Detection was with a ECL Basic Kit. Exposure time: 3s.
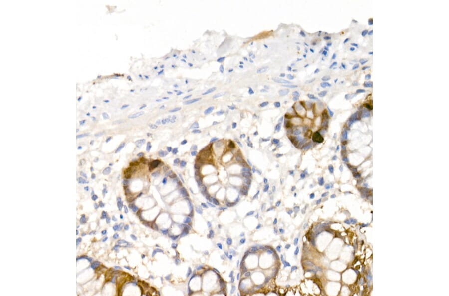
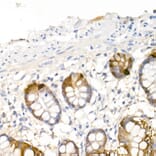
Immunohistochemistry analysis of paraffin-embedded human small intestine using Anti-DOPA Decarboxylase/DDC Antibody (A14470) at a dilution of 1:20 (40x lens). Perform high pressure antigen retrieval with 10 mM citrate buffer pH 6.0 before commencing with IHC staining protocol.
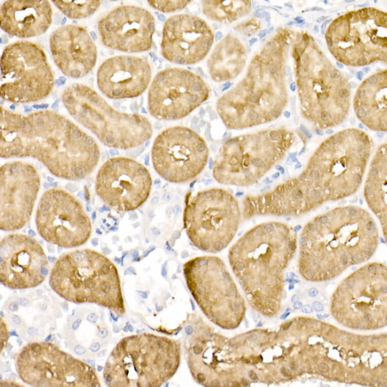
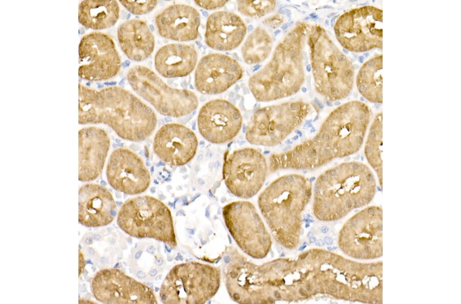
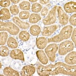
Immunohistochemistry analysis of paraffin-embedded mouse kidney using Anti-DOPA Decarboxylase/DDC Antibody (A14470) at a dilution of 1:20 (40x lens). Perform high pressure antigen retrieval with 10 mM citrate buffer pH 6.0 before commencing with IHC staining protocol.
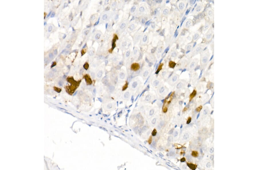
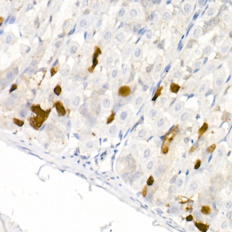
Immunohistochemistry analysis of paraffin-embedded mouse stomach using Anti-DOPA Decarboxylase/DDC Antibody (A14470) at a dilution of 1:20 (40x lens). Perform high pressure antigen retrieval with 10 mM citrate buffer pH 6.0 before commencing with IHC staining protocol.
Immunohistochemistry analysis of paraffin-embedded rat brain using Anti-DOPA Decarboxylase/DDC Antibody (A14470) at a dilution of 1:20 (40x lens). Perform high pressure antigen retrieval with 10 mM citrate buffer pH 6.0 before commencing with IHC staining protocol.
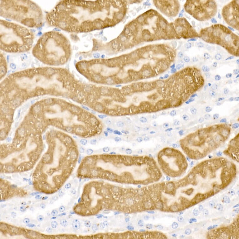
Immunohistochemistry analysis of paraffin-embedded rat kidney using Anti-DOPA Decarboxylase/DDC Antibody (A14470) at a dilution of 1:20 (40x lens). Perform high pressure antigen retrieval with 10 mM citrate buffer pH 6.0 before commencing with IHC staining protocol.
Immunofluorescence analysis of mouse kidney cells using Anti-DOPA Decarboxylase/DDC Antibody (A14470) at a dilution of 1:50 (40x lens). DAPI was used to stain the cell nuclei (blue).