Immunofluorescent analysis of cortical neuron-glial cell culture from E20 rat stained with Anti-Doublecortin Antibody [3E1] (A85376), dilution 1:1,000, in red, and co-stained with Anti-MAP2 Antibody (A85363), dilution 1:10,000, in green. The blue is DAPI staining of nuclear DNA. The doublecortin antibody reveals strong cytoplasmic staining in a population of small developing neurons and their processes, while the MAP2 antibody stains dendrites and perikarya of mature neurons. Doublecortin antibody is an excellent marker of early developing neuronal cells.
Western Blot - Anti-Doublecortin Antibody [3E1] (A85376)
Western blot analysis of rat whole brain lysates using Anti-Doublecortin Antibody [3E1] (A85376), dilution 1:1,000, in green. The lanes contain: [Lane 1] protein standard (red), [Lane 2] adult rat brain, [Lane 3] embryonic E20 rat brain. The strong bands at 40 kDa and 45 kDa correspond to the doublecortin protein, detected only in the developing brain.
Rat brain neural cultures stained with Anti-Doublecortin Antibody (green), Anti-MAP2 Antibody (A85363 | red) and DNA (blue). The Anti-Doublecortin Antibody reveals strong cytoplasmic staining in a population of small developing neurons. These cells are often found in small clumps as in these cultures, as in this particular example. Note that they are not positive for MAP2, which is characteristic of more mature neurons, and that the mature neuron shown is negative for Anti-Doublecortin Antibody. This Anti-Doublecortin Antibody is therefore an excellent marker of developing neuronal cells.
Western Blot - Anti-Doublecortin Antibody [3E1] (A85376)
Blots of crude rat brain extract from a postnatal 3 day animal stained with Anti-Doublecortin Antibody. Two bands at ~45 kDa and ~35 kDa show that Anti-Doublecortin Antibody binds to an epitope in the region of DCX shared by Lis-A, and Lis-B, Lis-C and Lis-D, the C terminal 360 amino acids of Lis-A.
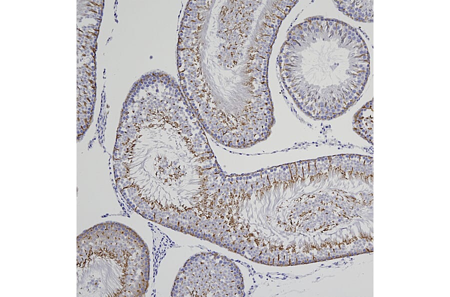
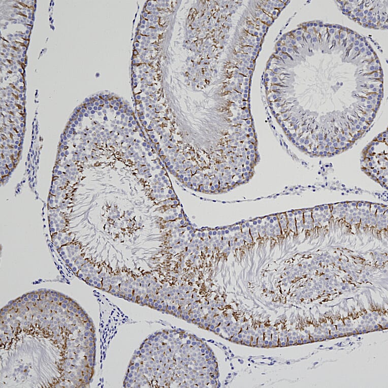
Immunohistochemistry analysis of a 4% PFA fixed paraffin embedded rat testes section with Anti-Doublecortin Antibody [3E1] (A85376) at a dilution of 1:1,000, ddetected with DAB (brown) using the Vector Labs ImmPRESS method and reagents with citra buffer retrieval. Counterstained with Hematoxylin (blue). Anti-Doublecortin Antibody [3E1] (A85376) labels the Sertoli cells, the basement membrane and the late-stage spermatocytes. Note: this antibody has not been tested in NBF fixed material.