Primary Antibodies
Secondary Antibodies
Proteins & Peptides
ELISA Kits
About Us
Contact Us
Sign In/Register
0
ISO 9001:2015 Certified
Live Customer Support
4.5/5 on Trustpilot
100% Quality Guarantee
Home
Primary Antibodies
CRMP4 Antibodies
Anti-DPYSL3 Antibody (A37216)
Anti-DPYSL3 Antibody (A37216)
Overview
Specifications
Images
Enlarge Image
Enlarge Image
$430
Product Datasheet
Rabbit polyclonal antibody to DPYSL3 for WB and IHC.
100% Guarantee
Price Match Guarantee
Product Size:
100µl
Quantity:
1
2
3
4
5
6
7
8
9
10
Add To Cart
Request a Quotation
Custom or Bulk Request
Shipping Information
Freight/Packing Charges:
$40
Dispatched from St. Louis, MO.
Lead Time: 6-9 business days.
Specifications
Name
Anti-DPYSL3 Antibody
Description
Rabbit polyclonal antibody to DPYSL3
Specificity
The antibody detects endogenous levels of total DPYSL3 protein.
Applications
WB
,
IHC
Reactivity
Human, Mouse
Immunogen
Fusion protein corresponding to residues near the C terminal of human dihydropyrimidinase-like 3
Host
Rabbit
Clonality
Polyclonal
Conjugate
Unconjugated
Purification
Antigen affinity purification.
Concentration
1.3 mg/mL
Formulation
Supplied in PBS, pH 7.3, containing 0.05% sodium azide and 50% glycerol.
Storage
Shipped at 4°C. Upon delivery aliquot and store at -20°C. Avoid freeze/thaw cycles.
Synonyms
Collapsin response mediator protein 4, CRMP-4, Dihydropyrimidinase-related protein 3, DRP-3, DRP3, ULIP, ULIP-1, ULIP1, Unc-33-like phosphoprotein 1
Suitable Secondaries
Goat Anti-Rabbit IgG H&L Antibody (AP) (A294874)
Goat Anti-Rabbit IgG H&L Antibody (Biotin) (A294795)
Goat Anti-Rabbit IgG H&L Antibody (FITC) (A294887)
Goat Anti-Rabbit IgG H&L Antibody (HRP) (A294888)
See all Anti-Rabbit IgG Secondaries →
Disclaimer
This product is for research use only. It is not intended for diagnostic or therapeutic use.
Scientific Validation Data
Validation Data
(2)
Enlarge Image
Anti-DPYSL3 Antibody (A37216)
Gel: 8% SDS-PAGE Lysates (from left to right): Mouse brain tissue Amount of lysate: 40ug per lane Primary antibody: 1/350 dilution Secondary antibody dilution: 1/8000 Exposure time: 30 seconds
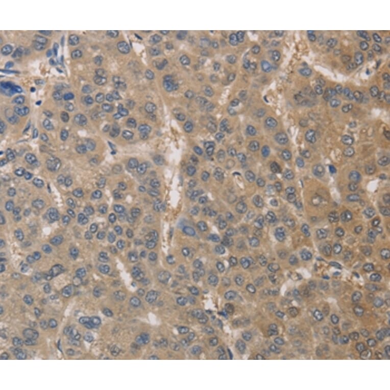
Enlarge Image
Immunohistochemistry - Anti-DPYSL3 Antibody (A37216)
Immunohistochemical analysis of paraffin-embedded Human liver cancer tissue using #36424 at dilution 1/30.
Publishing research using Anti-DPYSL3 Antibody (A37216)? Please
let us know
so that we can list the citation on this page.
Alternative products to Anti-DPYSL3 Antibody (A37216)
A345387
Anti-CRMP4 Antibody [24GB3720]
Recombinant rabbit monoclonal [24GB3720] antibody to CRMP4 for WB, Flow Cytometry and ICC/IF.
A345388
Anti-CRMP4 Antibody [25GB3105]
Recombinant rabbit monoclonal [25GB3105] antibody to CRMP4 for WB, Flow Cytometry and ICC/IF.
A80759
Anti-CRMP4 Antibody
Rabbit polyclonal antibody to CRMP4 for WB.
A345387
Anti-CRMP4 Antibody [24GB3720]
Recombinant rabbit monoclonal [24GB3720] antibody to CRMP4 for WB, Flow Cytometry and ICC/IF.
A345388
Anti-CRMP4 Antibody [25GB3105]
Recombinant rabbit monoclonal [25GB3105] antibody to CRMP4 for WB, Flow Cytometry and ICC/IF.
A80759
Anti-CRMP4 Antibody
Rabbit polyclonal antibody to CRMP4 for WB.
Proteins predicted to interact with CRMP4
Predicted protein interactions based upon String database. Revelancy score correlates with probability of interaction.
CRMP2 Antibodies
97.6% Relevancy Score
CRMP1 Antibodies
94.7% Relevancy Score
CRMP5 Antibodies
90.7% Relevancy Score
DPYD Antibodies
86.2% Relevancy Score
Semaphorin 3A Antibodies
85% Relevancy Score
DPYS Antibodies
80.2% Relevancy Score
Plexin A2 Antibodies
79.2% Relevancy Score
CRMP3 Antibodies
78.8% Relevancy Score
Plexin A1 Antibodies
78.6% Relevancy Score
Top