Western Blot - Anti-DR5 Antibody [ARC0406] (A305494)
Western blot analysis of extracts of Mouse heart, using Anti-DR5 Antibody (A305494) at 1:1,000 dilution. The secondary antibody was Goat Anti-Rabbit IgG H&L Antibody (HRP) at 1:10,000 dilution. Lysates/proteins were present at 25µg per lane. The blocking buffer used was 3% non-fat dry milk in TBST. Detection was with a ECL Basic Kit. Exposure time: 1s.
Western Blot - Anti-DR5 Antibody [ARC0406] (A305494)
Western blot analysis of extracts of various cell lines, using Anti-DR5 Antibody (A305494) at 1:1,000 dilution. The secondary antibody was Goat Anti-Rabbit IgG H&L Antibody (HRP) at 1:10,000 dilution. Lysates/proteins were present at 25µg per lane. The blocking buffer used was 3% non-fat dry milk in TBST. Detection was with a ECL Basic Kit. Exposure time: 3min.
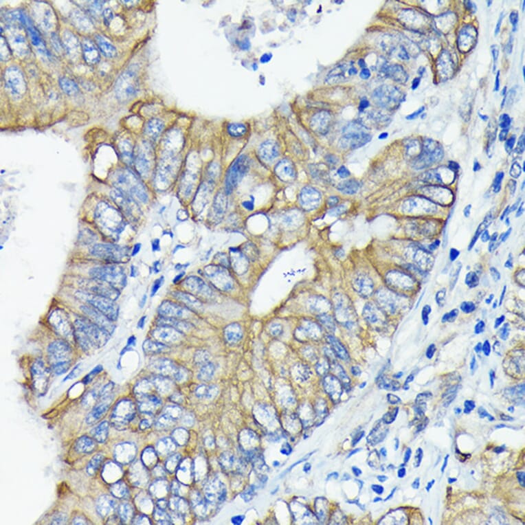
Immunohistochemistry analysis of paraffin-embedded human colon carcinoma tissue using Anti-DR5 Antibody (A305494) at a dilution of 1:100 (40x lens). Perform microwave antigen retrieval with 10 mM PBS buffer pH 7.2 before commencing with IHC staining protocol.
Immunofluorescence analysis of NIH-3T3 cells using Anti-DR5 Antibody (A305494) at a dilution of 1:100 (40x lens). DAPI was used to stain the cell nuclei (blue).
Publishing research using Anti-DR5 Antibody [ARC0406] (A305494)? Please let us know so that we can list the citation on this page.
Alternative products to Anti-DR5 Antibody [ARC0406] (A305494)
Recombinant humanized monoclonal antibody to DR5 for use as a research grade Tigatuzumab biosimilar for ELISA, Flow Cytometry, Functional Studies and in vivo Research.
Recombinant human monoclonal antibody to DR5 for use as a research grade Lexatumumab biosimilar for ELISA, Flow Cytometry, Functional Studies and in vivo Research.
Recombinant human monoclonal antibody to DR5 for use as a research grade Conatumumab biosimilar for ELISA, Flow Cytometry, Functional Studies and in vivo Research.
Recombinant human monoclonal antibody to DR5 for use as a research grade Drozitumab biosimilar for ELISA, Flow Cytometry, Functional Studies and in vivo Research.
Recombinant human monoclonal antibody to DR5 for use as a research grade Ozekibart biosimilar for ELISA, Flow Cytometry, Functional Studies and in vivo Research.
Recombinantmonoclonal antibody to DR5 for use as a research grade TAS266 biosimilar for ELISA, Flow Cytometry, Functional Studies and in vivo Research.
Recombinant humanized monoclonal antibody to DR5 for use as a research grade Benufutamab biosimilar for ELISA, Flow Cytometry, Functional Studies and in vivo Research.
Recombinant humanized monoclonal antibody to DR5 for use as a research grade Tigatuzumab biosimilar for ELISA, Flow Cytometry, Functional Studies and in vivo Research.
Recombinant human monoclonal antibody to DR5 for use as a research grade Lexatumumab biosimilar for ELISA, Flow Cytometry, Functional Studies and in vivo Research.
Recombinant human monoclonal antibody to DR5 for use as a research grade Conatumumab biosimilar for ELISA, Flow Cytometry, Functional Studies and in vivo Research.
Recombinant human monoclonal antibody to DR5 for use as a research grade Drozitumab biosimilar for ELISA, Flow Cytometry, Functional Studies and in vivo Research.
Recombinant human monoclonal antibody to DR5 for use as a research grade Ozekibart biosimilar for ELISA, Flow Cytometry, Functional Studies and in vivo Research.
Recombinantmonoclonal antibody to DR5 for use as a research grade TAS266 biosimilar for ELISA, Flow Cytometry, Functional Studies and in vivo Research.
Recombinant humanized monoclonal antibody to DR5 for use as a research grade Benufutamab biosimilar for ELISA, Flow Cytometry, Functional Studies and in vivo Research.