ISO 9001:2015 Certified
Live Customer Support
4.5/5 on Trustpilot
100% Quality Guarantee

Anti-ds DNA Antibody [121-3] - BSA and Azide free (A254077)

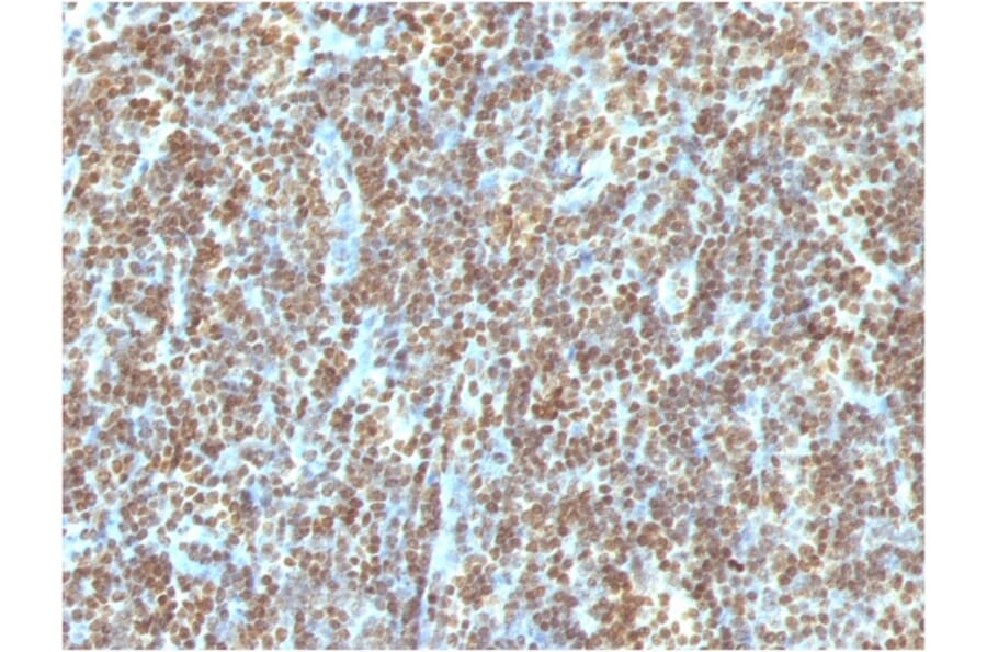
Mouse monoclonal [121-3] antibody to ds DNA for Flow Cytometry and IHC-P.

Alternative Formats and ConjugatesAlternative Formats

Shipping Information

$40
Dispatched from St. Louis, MO.
Lead Time: 5-8 business days.
Name
Anti-ds DNA Antibody [121-3] - BSA and Azide free
Description
Mouse monoclonal [121-3] antibody to ds DNA.
Specificity
This antibody is part of a new panel of reagents, which recognizes subcellular organelles or compartments of human cells. These markers may be useful in identification of these organelles in cells, tissues, and biochemical preparations. This MAb recognizes the double stranded DNA in human cells. It can be used to stain the nuclei in cell or tissue preparations and can be used as a nuclear marker in human cells. This MAb produces a homogeneous staining pattern in the nucleus of normal and malignant cells.Deoxyribonucleic acid (DNA) is a long polymer of nucleotides that is held together by a backbone made of sugars and phosphate groups. It holds the genetic instructions for the development and function of living things. DNA is crucial for living organisms, and all known cellular life and some viruses contain DNA. In eukaryotes, DNA exists in the cell nucleus, while in prokaryotes; DNA is located in the cytoplasm. In living organisms, DNA does not usually exist as a single molecule, but instead as a tightly associated pair of molecules in the shape of a right-handed double helix. Hydrogen bonds as well as forces generated by the hydrophobic effect and pi stacking hold the two DNA strands together. During replication and transcription, portions of the helix unwind and become single stranded. Protective proteins surround these single-stranded DNA. Double stranded (ds) DNA markers are useful tools in biology research and aid in the study of DNA behavior and characteristics.
Applications
Flow Cytometry, IHC-P
Dilutions
Flow Cytometry: 1-2 µg/million cells, IHC-P: 1-2 µg/ml
Reactivity
Human
Immunogen
Nuclei of Burkitt's cells.
Host
Mouse
Clonality
Monoclonal
Clone ID
121-3
Isotype
IgG3
Light Chains
kappa
Conjugate

Unconjugated

Concentration
1 mg/ml
Product Form
Liquid
Formulation
Supplied in 10mM Phosphate Buffered Saline; without Sodium Azide and carrier free.
Storage
Shipped at 4°C. Store at 4°C.
General Notes
This monoclonal antibody is also available in a different formulation with BSA and Sodium Azide - Anti-ds DNA Antibody [121-3] (A250897).
Isotype Controls
Disclaimer
This product is for research use only. It is not intended for diagnostic or therapeutic use.
Publishing research using Anti-ds DNA Antibody [121-3] - BSA and Azide free (A254077)? Please let us know so that we can list the citation on this page.

Alternative products to Anti-ds DNA Antibody [121-3] - BSA and Azide free (A254077)