Primary Antibodies
Secondary Antibodies
Proteins & Peptides
ELISA Kits
About Us
Contact Us
Sign In/Register
0
ISO 9001:2015 Certified
Live Customer Support
4.5/5 on Trustpilot
100% Quality Guarantee
Home
Primary Antibodies
Destrin Antibodies
Anti-DSTN Antibody (A46789)
Anti-DSTN Antibody (A46789)
Overview
Specifications
Images
Enlarge Image
Enlarge Image
$430
Product Datasheet
Rabbit polyclonal antibody to DSTN for IHC.
100% Guarantee
Price Match Guarantee
Product Size:
100µl
Quantity:
1
2
3
4
5
6
7
8
9
10
Add To Cart
Request a Quotation
Custom or Bulk Request
Shipping Information
Freight/Packing Charges:
$40
Dispatched from St. Louis, MO.
Lead Time: 6-9 business days.
Specifications
Name
Anti-DSTN Antibody
Description
Rabbit polyclonal antibody to DSTN
Specificity
The antibody detects endogenous levels of total DSTN protein.
Applications
IHC
Reactivity
Human
Immunogen
Full length fusion protein
Host
Rabbit
Clonality
Polyclonal
Conjugate
Unconjugated
Purification
Antigen affinity purification.
Concentration
1.4 mg/mL
Formulation
Supplied in PBS, pH 7.3, containing 0.05% sodium azide and 50% glycerol.
Storage
Shipped at 4°C. Upon delivery aliquot and store at -20°C. Avoid freeze/thaw cycles.
Synonyms
ACTDP, Actin-depolymerizing factor, ADF, DSN
Suitable Secondaries
Goat Anti-Rabbit IgG H&L Antibody (AP) (A294874)
Goat Anti-Rabbit IgG H&L Antibody (Biotin) (A294795)
Goat Anti-Rabbit IgG H&L Antibody (FITC) (A294887)
Goat Anti-Rabbit IgG H&L Antibody (HRP) (A294888)
See all Anti-Rabbit IgG Secondaries →
Disclaimer
This product is for research use only. It is not intended for diagnostic or therapeutic use.
Scientific Validation Data
Validation Data
(2)
Enlarge Image
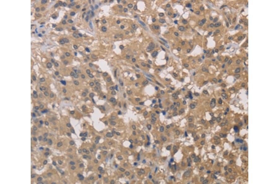
Immunohistochemistry - Anti-DSTN Antibody (A46789)
Immunohistochemical analysis of paraffin-embedded Human thyroid cancer tissue using #36414 at dilution 1/30.
Enlarge Image
Immunohistochemistry - Anti-DSTN Antibody (A46789)
Immunohistochemical analysis of paraffin-embedded Human brain tissue using #36414 at dilution 1/30.
Publishing research using Anti-DSTN Antibody (A46789)? Please
let us know
so that we can list the citation on this page.
Alternative products to Anti-DSTN Antibody (A46789)
A345609
Anti-Destrin Antibody [23GB5225]
Recombinant rabbit monoclonal [23GB5225] antibody to Destrin for WB, Flow Cytometry and ICC/IF.
A345614
Anti-Destrin Antibody [24GB5920]
Recombinant rabbit monoclonal [24GB5920] antibody to Destrin for WB, Flow Cytometry and ICC/IF.
A307021
Anti-DSTN Antibody [ARC2297]
Rabbit monoclonal [ARC2297] antibody to DSTN for WB.
A345613
Anti-Destrin Antibody [24GB5635]
Mouse monoclonal [24GB5635] antibody to Destrin for WB, Flow Cytometry and ICC/IF.
A345612
Anti-Destrin Antibody [24GB5625]
Mouse monoclonal [24GB5625] antibody to Destrin for WB, Flow Cytometry and ICC/IF.
A345611
Anti-Destrin Antibody [24GB5630]
Mouse monoclonal [24GB5630] antibody to Destrin for WB, Flow Cytometry and ICC/IF.
A345610
Anti-Destrin Antibody [24GB12915]
Mouse monoclonal [24GB12915] antibody to Destrin for WB, Flow Cytometry and ICC/IF.
A345615
Anti-Destrin Antibody [24GB12920]
Mouse monoclonal [24GB12920] antibody to Destrin for WB and ICC/IF.
A345616
Anti-Destrin Antibody [24GB12925]
Mouse monoclonal [24GB12925] antibody to Destrin for WB and ICC/IF.
A345609
Anti-Destrin Antibody [23GB5225]
Recombinant rabbit monoclonal [23GB5225] antibody to Destrin for WB, Flow Cytometry and ICC/IF.
A345614
Anti-Destrin Antibody [24GB5920]
Recombinant rabbit monoclonal [24GB5920] antibody to Destrin for WB, Flow Cytometry and ICC/IF.
A307021
Anti-DSTN Antibody [ARC2297]
Rabbit monoclonal [ARC2297] antibody to DSTN for WB.
A345613
Anti-Destrin Antibody [24GB5635]
Mouse monoclonal [24GB5635] antibody to Destrin for WB, Flow Cytometry and ICC/IF.
A345612
Anti-Destrin Antibody [24GB5625]
Mouse monoclonal [24GB5625] antibody to Destrin for WB, Flow Cytometry and ICC/IF.
A345611
Anti-Destrin Antibody [24GB5630]
Mouse monoclonal [24GB5630] antibody to Destrin for WB, Flow Cytometry and ICC/IF.
A345610
Anti-Destrin Antibody [24GB12915]
Mouse monoclonal [24GB12915] antibody to Destrin for WB, Flow Cytometry and ICC/IF.
A345615
Anti-Destrin Antibody [24GB12920]
Mouse monoclonal [24GB12920] antibody to Destrin for WB and ICC/IF.
A345616
Anti-Destrin Antibody [24GB12925]
Mouse monoclonal [24GB12925] antibody to Destrin for WB and ICC/IF.
See all DSTN Antibodies
Proteins predicted to interact with Destrin
Predicted protein interactions based upon String database. Revelancy score correlates with probability of interaction.
Cofilin 2 Antibodies
92.1% Relevancy Score
gamma Actin Antibodies
91.1% Relevancy Score
beta Actin Antibodies
91% Relevancy Score
TWF1 Antibodies
85.7% Relevancy Score
WDR1 Antibodies
79.4% Relevancy Score
Profilin 1 Antibodies
78.4% Relevancy Score
Profilin 4 Antibodies
77.3% Relevancy Score
Gelsolin Antibodies
65.5% Relevancy Score
LIMK1 Antibodies
64.1% Relevancy Score
Top