Primary Antibodies
Secondary Antibodies
Proteins & Peptides
ELISA Kits
About Us
Contact Us
Sign In/Register
0
ISO 9001:2015 Certified
Live Customer Support
4.5/5 on Trustpilot
100% Quality Guarantee
Home
Primary Antibodies
DTX3 Antibodies
Anti-DTX3 Antibody (A38664)
Anti-DTX3 Antibody (A38664)
Overview
Specifications
Images
Enlarge Image
Enlarge Image
$430
Product Datasheet
Rabbit polyclonal antibody to DTX3 for WB and IHC.
100% Guarantee
Price Match Guarantee
Product Size:
100µl
Quantity:
1
2
3
4
5
6
7
8
9
10
Add To Cart
Request a Quotation
Custom or Bulk Request
Shipping Information
Freight/Packing Charges:
$40
Dispatched from St. Louis, MO.
Lead Time: 6-9 business days.
Specifications
Name
Anti-DTX3 Antibody
Description
Rabbit polyclonal antibody to DTX3
Specificity
The antibody detects endogenous levels of total DTX3 protein.
Applications
WB
,
IHC
Reactivity
Human
Immunogen
Fusion protein corresponding to residues near the C terminal of human deltex homolog 3 (Drosophila)
Host
Rabbit
Clonality
Polyclonal
Conjugate
Unconjugated
Purification
Antigen affinity purification.
Concentration
0.6 mg/mL
Formulation
Supplied in PBS, pH 7.3, containing 0.05% sodium azide and 50% glycerol.
Storage
Shipped at 4°C. Upon delivery aliquot and store at -20°C. Avoid freeze/thaw cycles.
Synonyms
Deltex3, Probable E3 ubiquitin-protein ligase DTX3, Protein deltex-3, RING finger protein 154, RING-type E3 ubiquitin transferase DTX3, RNF154
Suitable Secondaries
Goat Anti-Rabbit IgG H&L Antibody (AP) (A294874)
Goat Anti-Rabbit IgG H&L Antibody (Biotin) (A294795)
Goat Anti-Rabbit IgG H&L Antibody (FITC) (A294887)
Goat Anti-Rabbit IgG H&L Antibody (HRP) (A294888)
See all Anti-Rabbit IgG Secondaries →
Disclaimer
This product is for research use only. It is not intended for diagnostic or therapeutic use.
Scientific Validation Data
Validation Data
(2)
Enlarge Image
Anti-DTX3 Antibody (A38664)
Gel: 10% SDS-PAGE Lysate: 40ug SKOV3 cell Primary antibody: 1/200 dilution Secondary antibody dilution: 1/8000 Exposure time: 10 minutes
Enlarge Image
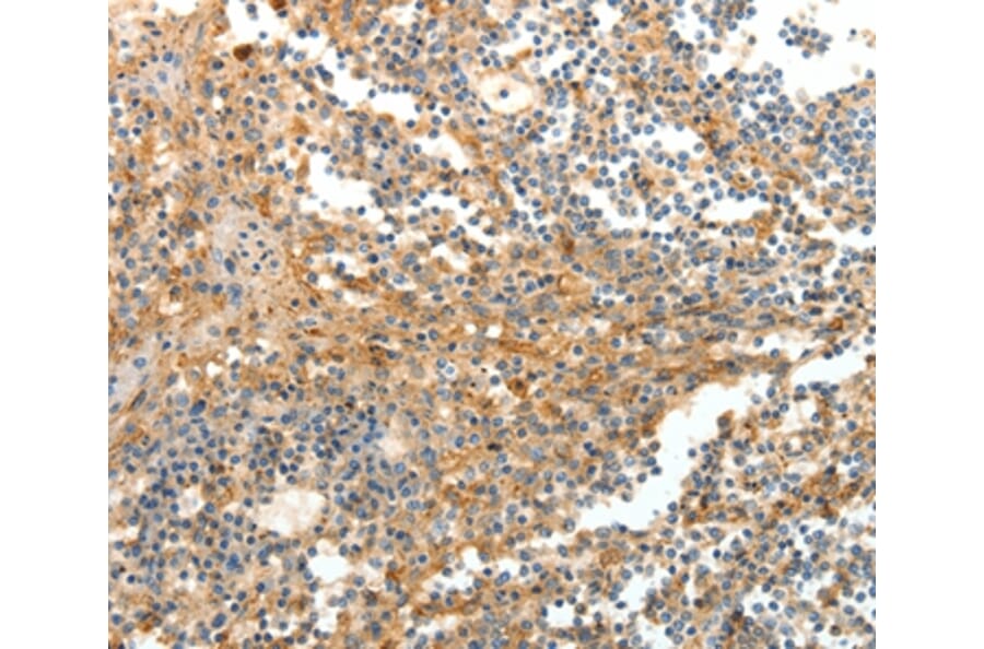
Immunohistochemistry - Anti-DTX3 Antibody (A38664)
Immunohistochemical analysis of paraffin-embedded Human tonsil tissue using #35712 at dilution 1/20.
Publishing research using Anti-DTX3 Antibody (A38664)? Please
let us know
so that we can list the citation on this page.
Alternative products to Anti-DTX3 Antibody (A38664)
(2)
A84730
Anti-DTX3 Antibody
Goat polyclonal antibody to DTX3 for ELISA, WB and IHC.
(2)
A84730
Anti-DTX3 Antibody
Goat polyclonal antibody to DTX3 for ELISA, WB and IHC.
Proteins predicted to interact with DTX3
Predicted protein interactions based upon String database. Revelancy score correlates with probability of interaction.
Notch2 Antibodies
82.1% Relevancy Score
Notch4 Antibodies
77.4% Relevancy Score
Notch1 Antibodies
74% Relevancy Score
Notch3 Antibodies
73.9% Relevancy Score
ANK3 Antibodies
64.2% Relevancy Score
UBE2D1 Antibodies
63.7% Relevancy Score
CHFR Antibodies
61.5% Relevancy Score
Fyn Antibodies
61% Relevancy Score
Dishevelled 3 Antibodies
59.1% Relevancy Score
Top