ISO 9001:2015 Certified
Live Customer Support
4.5/5 on Trustpilot
100% Quality Guarantee

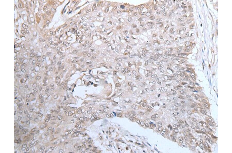
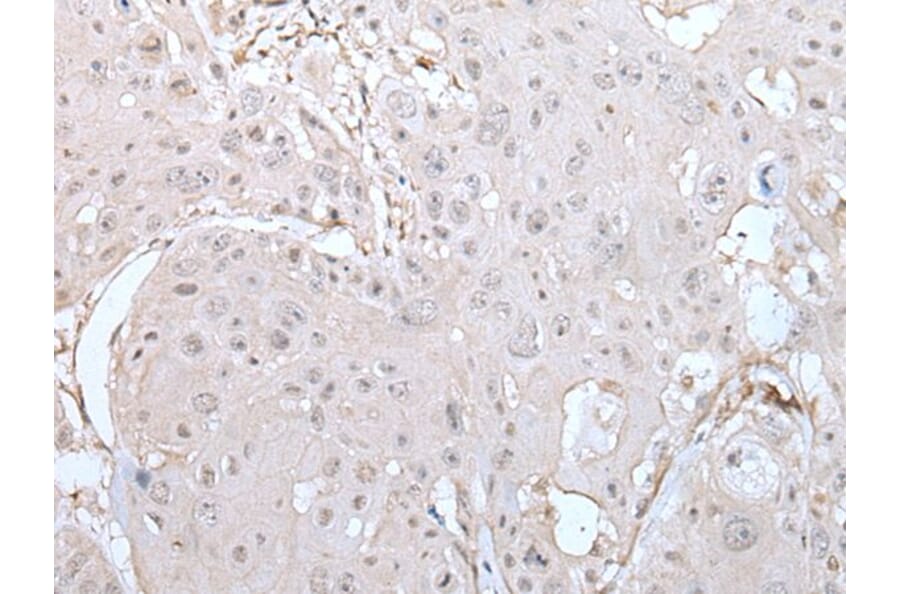
Anti-DUSP3 Antibody (A44462)

$430

Rabbit polyclonal antibody to DUSP3 for IHC and WB.

Shipping Information

$40
Dispatched from St. Louis, MO.
Lead Time: 6-9 business days.
Name
Anti-DUSP3 Antibody
Description
Rabbit polyclonal antibody to DUSP3
Specificity
The antibody detects endogenous levels of total DUSP3 protein.
Applications
IHC, WB
Reactivity
Human
Immunogen
Synthetic peptide of human DUSP3
Host
Rabbit
Clonality
Polyclonal
Conjugate

Unconjugated

Purification
Antigen affinity purification
Concentration
0.5 mg/mL
Formulation
Rabbit IgG in pH7.4 PBS, 0.05% NaN3, 40% Glycerol.
Storage
Shipped at 4°C. Upon delivery aliquot and store at -20°C. Avoid freeze/thaw cycles.
Synonyms
Dual specificity protein phosphatase 3, Dual specificity protein phosphatase VHR, Vaccinia H1-related phosphatase, VHR
Disclaimer
This product is for research use only. It is not intended for diagnostic or therapeutic use.
Publishing research using Anti-DUSP3 Antibody (A44462)? Please let us know so that we can list the citation on this page.

Alternative products to Anti-DUSP3 Antibody (A44462)

Proteins predicted to interact with DUSP3

Predicted protein interactions based upon String database. Revelancy score correlates with probability of interaction.
97.9% Relevancy Score
97.9% Relevancy Score
97.3% Relevancy Score
96.4% Relevancy Score
93.6% Relevancy Score
93.5% Relevancy Score
93% Relevancy Score
92.9% Relevancy Score
92.8% Relevancy Score