ISO 9001:2015 Certified
Live Customer Support
4.5/5 on Trustpilot
100% Quality Guarantee

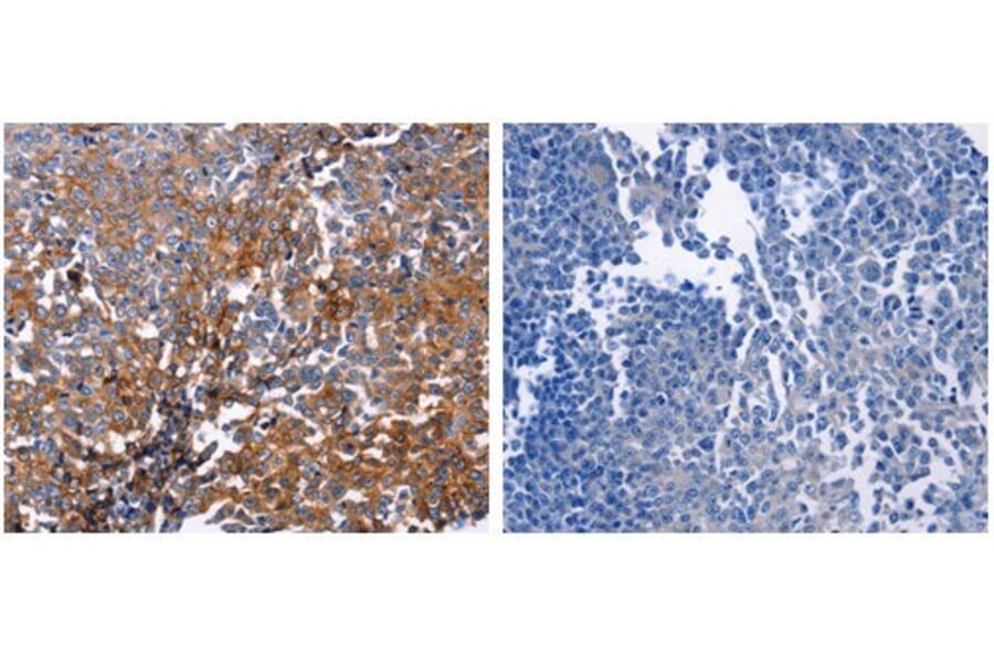
Anti-DUSP6 Antibody (A48098)

Rabbit polyclonal antibody to DUSP6 for ELISA, WB and IHC.

Shipping Information

$40
Dispatched from St. Louis, MO.
Lead Time: 6-9 business days.
Name
Anti-DUSP6 Antibody
Description
Rabbit polyclonal antibody to DUSP6
Specificity
The antibody detects endogenous level of total DUSP6 protein.
Applications
ELISA, WB, IHC
Reactivity
Human
Immunogen
Fusion protein corresponding to a region derived from 206-381 amino acids of human dual specificity phosphatase 6
Host
Rabbit
Clonality
Polyclonal
Conjugate

Unconjugated

Formulation
Supplied in phosphate-buffered saline (without Mg²? and Ca²?), pH 7.3, containing 150 mM NaCl, 0.05% sodium azide, and 50% glycerol.
Storage
Shipped at 4°C. Upon delivery aliquot and store at -20°C. Avoid freeze/thaw cycles.
Synonyms
Dual specificity protein phosphatase 6, Dual specificity protein phosphatase PYST1, MAP kinase phosphatase 3, Mitogen-activated protein kinase phosphatase 3, MKP-3, MKP3, PYST1
Disclaimer
This product is for research use only. It is not intended for diagnostic or therapeutic use.
Publishing research using Anti-DUSP6 Antibody (A48098)? Please let us know so that we can list the citation on this page.

Alternative products to Anti-DUSP6 Antibody (A48098)

Proteins predicted to interact with DUSP6

Predicted protein interactions based upon String database. Revelancy score correlates with probability of interaction.
99.6% Relevancy Score
98.5% Relevancy Score
82.9% Relevancy Score
75.2% Relevancy Score
74.3% Relevancy Score
72.9% Relevancy Score
70.9% Relevancy Score
67.6% Relevancy Score
61.8% Relevancy Score