ISO 9001:2015 Certified
Live Customer Support
4.5/5 on Trustpilot
100% Quality Guarantee

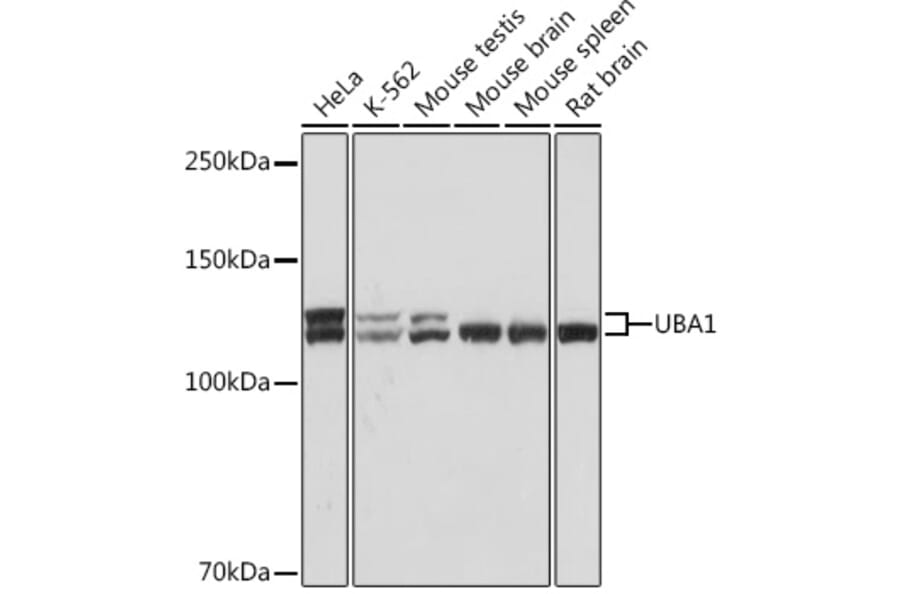
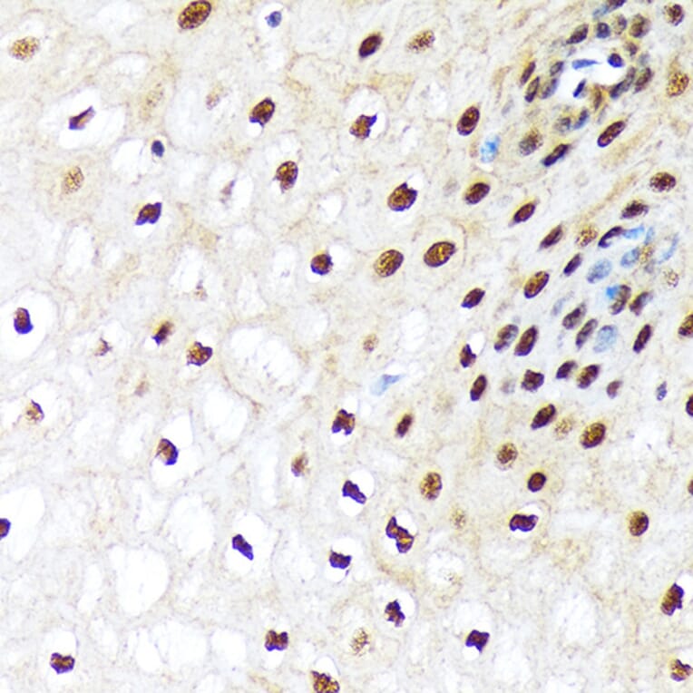
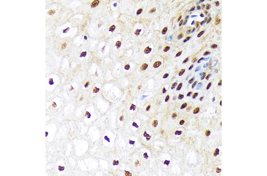
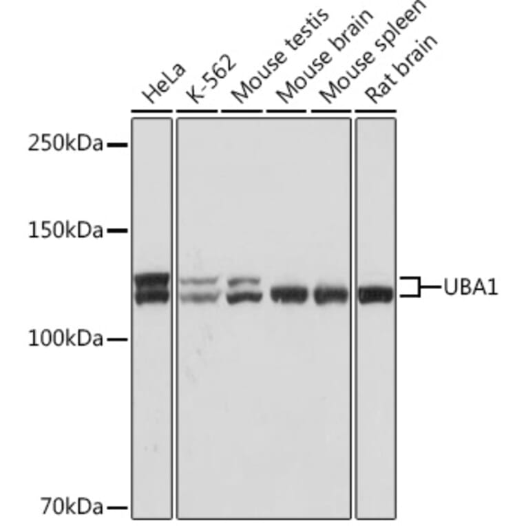
Anti-E1 Ubiquitin Activating Enzyme 1/UBA1 Antibody [ARC1493] (A305829)

Rabbit monoclonal [ARC1493] antibody to E1 Ubiquitin Activating Enzyme 1/UBA1 for WB, IHC and ICC/IF.

Shipping Information

$40
Dispatched from St. Louis, MO.
Lead Time: 7-10 business days.
Name
Anti-E1 Ubiquitin Activating Enzyme 1/UBA1 Antibody [ARC1493]
Description
Rabbit monoclonal [ARC1493] antibody to E1 Ubiquitin Activating Enzyme 1/UBA1.
Applications
WB, IHC, ICC/IF
Dilutions
WB: 1:500-1:2,000, IHC: 1:50-1:200, ICC/IF: 1:50-1:200
Reactivity
Human, Mouse, Rat
Immunogen
A synthetic peptide corresponding to a sequence within amino acids 959-1058 of human UBA1 (P22314).
Sequence
EVQGLQPNGEEMTLKQFLDYFKTEHKLEITMLSQGVSMLYSFFMPAAKLKERLDQPMTEIVSRVSKRKLGRHVRALVLELCCNDESGEDVEVPYVRYTIR
Host
Rabbit
Clonality
Monoclonal
Clone ID
ARC1493
Isotype
IgG
Conjugate

Unconjugated

Purification
Affinity purification.
Concentration
Lot Specific
Molecular Weight
110 - 118 kDa
Product Form
Liquid
Formulation
Supplied in Phosphate Buffered Saline, pH 7.3, with 50% Glycerol, 0.05% BSA, and 0.02% Sodium Azide.
Storage
Shipped at 4°C. Upon delivery aliquot and store at -20°C. Avoid freeze/thaw cycles.
Disclaimer
This product is for research use only. It is not intended for diagnostic or therapeutic use.
Publishing research using Anti-E1 Ubiquitin Activating Enzyme 1/UBA1 Antibody [ARC1493] (A305829)? Please let us know so that we can list the citation on this page.