ISO 9001:2015 Certified
Live Customer Support
4.5/5 on Trustpilot
100% Quality Guarantee

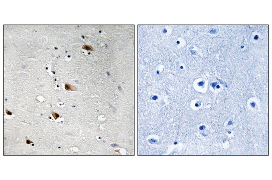
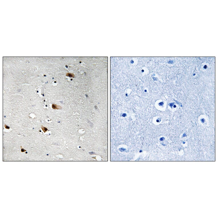
Anti-E2A (phospho Thr355) Antibody (A94108)

Rabbit polyclonal antibody to E2A (phospho Thr355) for IHC, IF and ELISA.

Shipping Information

$40
Dispatched from St. Louis, MO.
Lead Time: 6-8 business days.
Name
Anti-E2A (phospho Thr355) Antibody
Description
Rabbit polyclonal antibody to E2A (phospho Thr355).
Specificity
This antibody detects endogenous levels of E2A only when phosphorylated at Thr355.
Applications
IHC, IF, ELISA
Dilutions
IHC: 1:50~1:100, ELISA: 1:1000
Reactivity
Human, Mouse, Rat
Cross Reactivity
No reported cross-reactivity.
Immunogen
Synthetic peptide derived from human E2A around the phosphorylation site of Thr355 (amino acids 321-370).
Host
Rabbit
Clonality
Polyclonal
Isotype
IgG
Conjugate

Unconjugated

Purification
Purified from rabbit serum by antigen affinity chromatography using the immunizing phospho peptide.
Molecular Weight
67kDa
Product Form
Liquid
Formulation
Supplied in Phosphate Buffered Saline (without Mg2+ and Ca2+), pH 7.4, with 150mM NaCl, 0.02% Sodium Azide, and 50% Glycerol.
Storage
Shipped at 4°C. Upon delivery aliquot and store at -20°C. Avoid freeze / thaw cycles.
Synonyms
BHLHB21, Class B basic helix-loop-helix protein 21, Immunoglobulin enhancer-binding factor E12/E47, Immunoglobulin transcription factor 1, ITF1, Kappa-E2-binding factor, TCF-3, TCF3, Transcription factor 3, Transcription factor E2-alpha, Transcription factor ITF-1
Disclaimer
This product is for research use only. It is not intended for diagnostic or therapeutic use.
Publishing research using Anti-E2A (phospho Thr355) Antibody (A94108)? Please let us know so that we can list the citation on this page.

Alternative products to Anti-E2A (phospho Thr355) Antibody (A94108)

Proteins predicted to interact with E2A

Predicted protein interactions based upon String database. Revelancy score correlates with probability of interaction.
99.9% Relevancy Score
99.7% Relevancy Score
99.6% Relevancy Score
99.6% Relevancy Score
99.5% Relevancy Score
99.3% Relevancy Score
99.2% Relevancy Score
98.7% Relevancy Score
97.5% Relevancy Score