ISO 9001:2015 Certified
Live Customer Support
4.5/5 on Trustpilot
100% Quality Guarantee

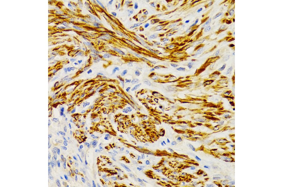
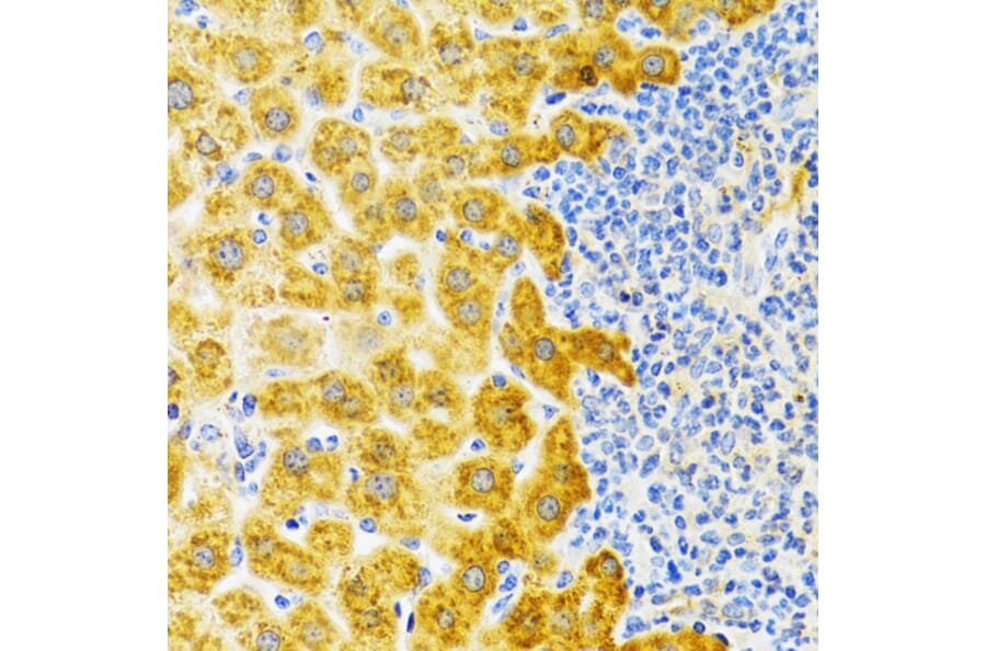
Anti-EDA Antibody (A14246)

Rabbit polyclonal antibody to EDA for WB, IHC and ICC/IF.

Shipping Information

$40
Dispatched from St. Louis, MO.
Lead Time: 7-10 business days.
Name
Anti-EDA Antibody
Description
Rabbit polyclonal antibody to EDA.
Applications
WB, IHC, ICC/IF
Dilutions
WB: 1:100-1:500, IHC: 1:50-1:200, ICC/IF: 1:50-1:200
Reactivity
Human, Mouse, Rat
Immunogen
A synthetic peptide corresponding to a sequence within amino acids 750-850 of human EDA (Q92838).
Host
Rabbit
Clonality
Polyclonal
Isotype
IgG
Conjugate

Unconjugated

Purification
Affinity purification.
Concentration
Lot Specific
Molecular Weight
41 kDa
Product Form
Liquid
Formulation
Supplied in Phosphate Buffered Saline, pH 7.3, with 50% Glycerol and 0.01% Thiomersal.
Storage
Shipped at 4°C. Upon delivery aliquot and store at -20°C. Avoid freeze/thaw cycles.
Synonyms
Ectodermal dysplasia protein, Ectodysplasin-A, ED1, EDA protein, EDA2
Disclaimer
This product is for research use only. It is not intended for diagnostic or therapeutic use.
Publishing research using Anti-EDA Antibody (A14246)? Please let us know so that we can list the citation on this page.

Alternative products to Anti-EDA Antibody (A14246)

Proteins predicted to interact with EDA

Predicted protein interactions based upon String database. Revelancy score correlates with probability of interaction.
99.9% Relevancy Score
99.6% Relevancy Score
95.9% Relevancy Score
92.2% Relevancy Score
78% Relevancy Score
72.6% Relevancy Score
69.8% Relevancy Score
62.1% Relevancy Score
59.8% Relevancy Score