ISO 9001:2015 Certified
Live Customer Support
4.5/5 on Trustpilot
100% Quality Guarantee

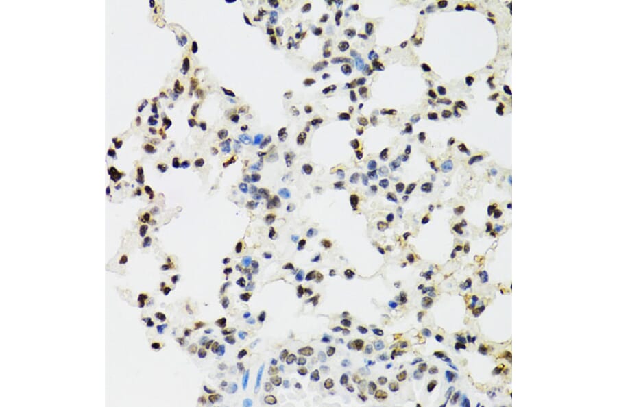
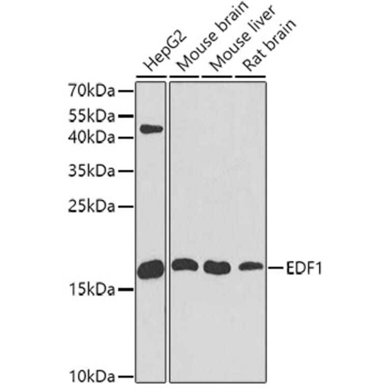
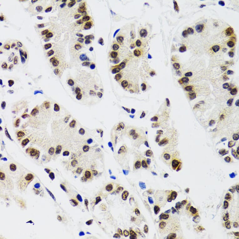
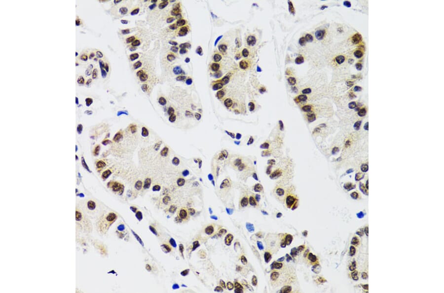
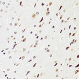
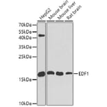
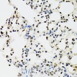
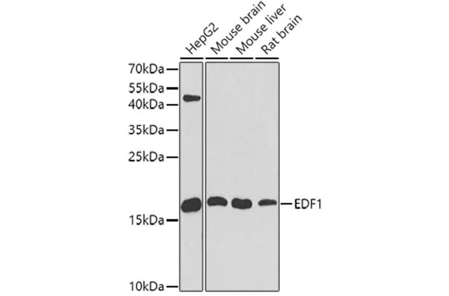
Anti-EDF1 Antibody (A13970)

Rabbit polyclonal antibody to EDF1 for WB, IHC and ICC/IF.

Shipping Information

$40
Dispatched from St. Louis, MO.
Lead Time: 7-10 business days.
Name
Anti-EDF1 Antibody
Description
Rabbit polyclonal antibody to EDF1.
Applications
WB, IHC, ICC/IF
Dilutions
WB: 1:500-1:2,000, IHC: 1:50-1:100, ICC/IF: 1:50-1:100
Reactivity
Human, Mouse, Rat
Immunogen
Recombinant fusion protein containing a sequence corresponding to amino acids 1-148 of human EDF1 (NP_003783.1).
Sequence
MAESDWDTVTVLRKKGPTAAQAKSKQAILAAQRRGEDVETSKKWAAGQNKQHSITKNTAKLDRETEELHHDRVTLEVGKVIQQGRQSKGLTQKDLATKINEKPQVIADYESGRAIPNNQVLGKIERAIGLKLRGKDIGKPIEKGPRAK
Host
Rabbit
Clonality
Polyclonal
Isotype
IgG
Conjugate

Unconjugated

Purification
Affinity purification.
Concentration
Lot Specific
Molecular Weight
16 kDa
Product Form
Liquid
Formulation
Supplied in Phosphate Buffered Saline, pH 7.3, with 50% Glycerol and 0.02% Sodium Azide.
Storage
Shipped at 4°C. Upon delivery aliquot and store at -20°C. Avoid freeze/thaw cycles.
Synonyms
EDF-1, Endothelial differentiation-related factor 1, MBF1, Multiprotein-bridging factor 1
Disclaimer
This product is for research use only. It is not intended for diagnostic or therapeutic use.
Publishing research using Anti-EDF1 Antibody (A13970)? Please let us know so that we can list the citation on this page.

Alternative products to Anti-EDF1 Antibody (A13970)

Proteins predicted to interact with EDF1

Predicted protein interactions based upon String database. Revelancy score correlates with probability of interaction.
99.7% Relevancy Score
99.4% Relevancy Score
98.1% Relevancy Score
97.7% Relevancy Score
97.6% Relevancy Score
96.9% Relevancy Score
96.8% Relevancy Score
96.7% Relevancy Score
96.2% Relevancy Score