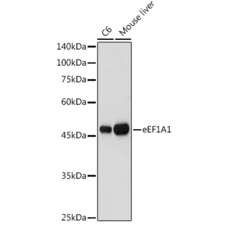
Western Blot - Anti-eEF1A1/EF-Tu Antibody (A92031)
Western blot analysis of extracts of various cell lines, using Anti-eEF1A1/EF-Tu Antibody (A92031) at 1:1,000 dilution. The secondary antibody was Goat Anti-Rabbit IgG H&L Antibody (HRP) at 1:10,000 dilution. Lysates/proteins were present at 25µg per lane. The blocking buffer used was 3% non-fat dry milk in TBST. Detection was with a ECL Basic Kit. Exposure time: 3s.
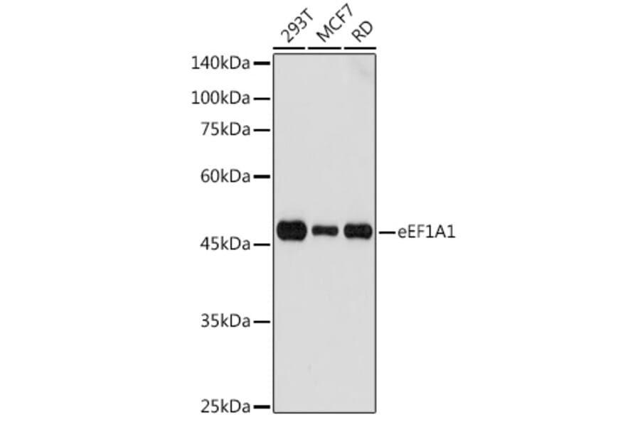
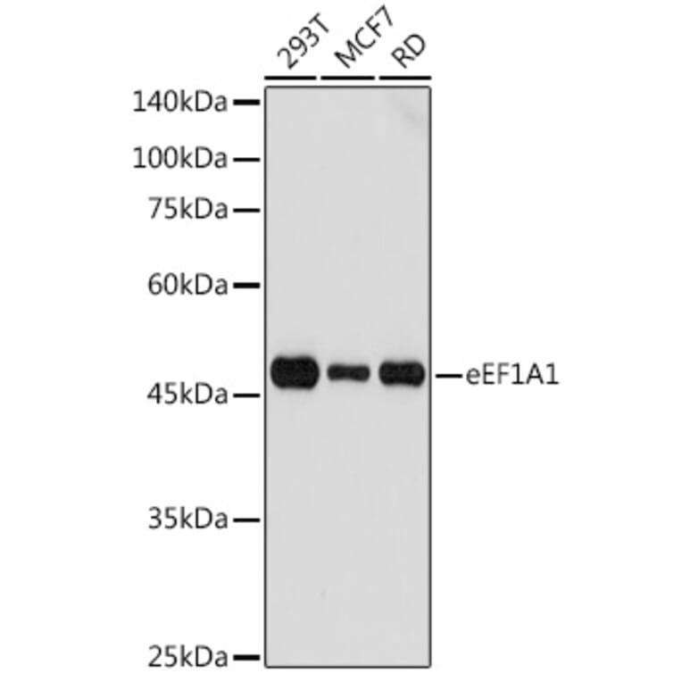
Western Blot - Anti-eEF1A1/EF-Tu Antibody (A92031)
Western blot analysis of extracts of various cell lines, using Anti-eEF1A1/EF-Tu Antibody (A92031) at 1:1,000 dilution. The secondary antibody was Goat Anti-Rabbit IgG H&L Antibody (HRP) at 1:10,000 dilution. Lysates/proteins were present at 25µg per lane. The blocking buffer used was 3% non-fat dry milk in TBST. Detection was with a ECL Basic Kit. Exposure time: 10s.
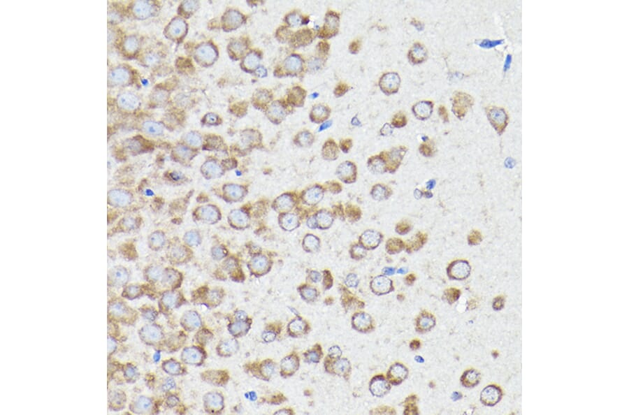
Immunohistochemistry analysis of paraffin-embedded mouse brain using Anti-eEF1A1/EF-Tu Antibody (A92031) at a dilution of 1:100 (40x lens). Perform high pressure antigen retrieval with 10 mM citrate buffer pH 6.0 before commencing with IHC staining protocol.
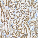
Immunohistochemistry analysis of paraffin-embedded mouse kidney using Anti-eEF1A1/EF-Tu Antibody (A92031) at a dilution of 1:100 (40x lens). Perform high pressure antigen retrieval with 10 mM citrate buffer pH 6.0 before commencing with IHC staining protocol.
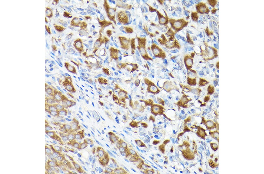
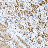
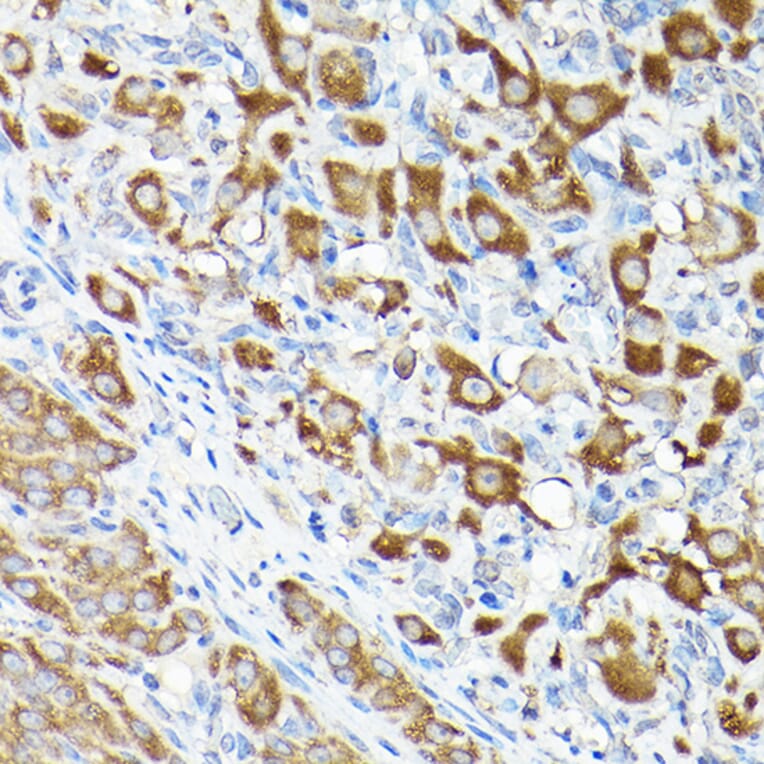
Immunohistochemistry analysis of paraffin-embedded rat ovary using Anti-eEF1A1/EF-Tu Antibody (A92031) at a dilution of 1:100 (40x lens). Perform high pressure antigen retrieval with 10 mM citrate buffer pH 6.0 before commencing with IHC staining protocol.
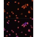
Immunofluorescence analysis of Raw264. 7 cells using Anti-eEF1A1/EF-Tu Antibody (A92031) at a dilution of 1:100. DAPI was used to stain the cell nuclei (blue).