ISO 9001:2015 Certified
Live Customer Support
4.5/5 on Trustpilot
100% Quality Guarantee

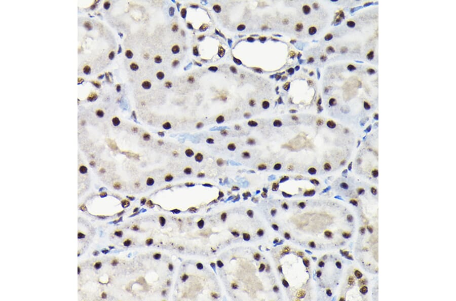
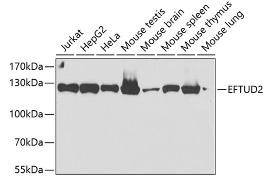
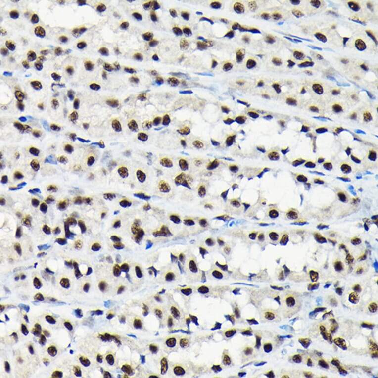
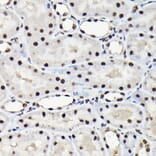
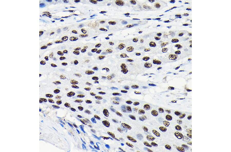
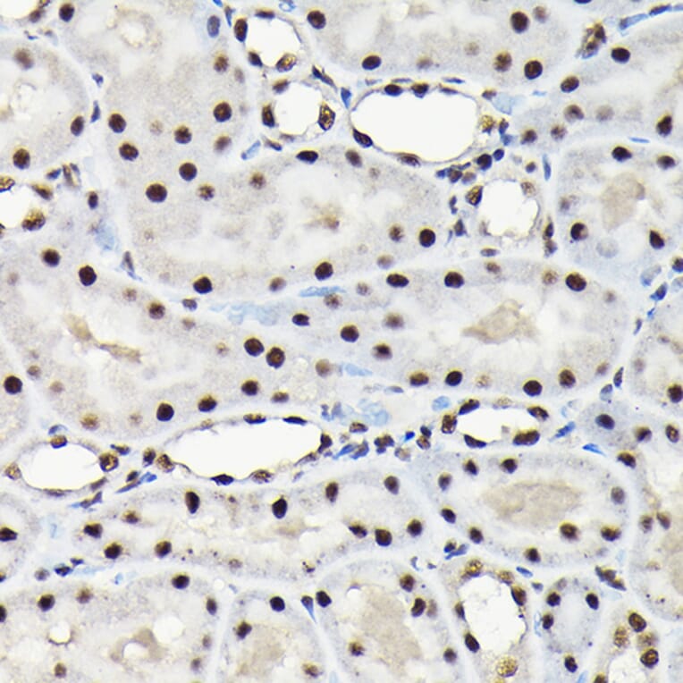
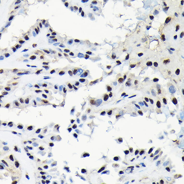
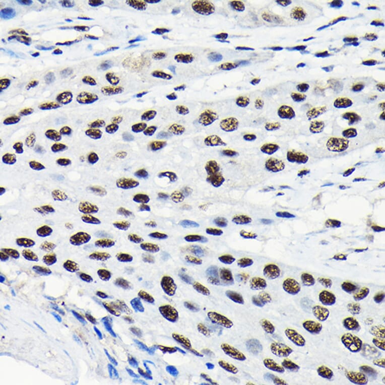
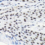
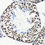
Anti-EFTUD2 Antibody (A12061)

Rabbit polyclonal antibody to EFTUD2 for WB, IHC, ICC/IF and IP.

Shipping Information

$40
Dispatched from St. Louis, MO.
Lead Time: 7-10 business days.
Name
Anti-EFTUD2 Antibody
Description
Rabbit polyclonal antibody to EFTUD2.
Applications
WB, IHC, ICC/IF, IP
Dilutions
WB: 1:500-1:2,000, IHC: 1:50-1:200, ICC/IF: 1:50-1:100, IP: 1:20-1:50
Reactivity
Human, Mouse, Rat
Immunogen
Recombinant fusion protein containing a sequence corresponding to amino acids 1-205 of human EFTUD2 (NP_004238.3).
Sequence
MDTDLYDEFGNYIGPELDSDEDDDELGRETKDLDEMDDDDDDDDVGDHDDDHPGMEVVLHEDKKYYPTAEEVYGPEVETIVQEEDTQPLTEPIIKPVKTKKFTLMEQTLPVTVYEMDFLADLMDNSELIRNVTLCGHLHHGKTCFVDCLIEQTHPEIRKRYDQDLCYTDILFTEQERGVGIKSTPVTVVLPDTKGKSYLFNIMDT
Host
Rabbit
Clonality
Polyclonal
Isotype
IgG
Conjugate

Unconjugated

Purification
Affinity purification.
Concentration
Lot Specific
Molecular Weight
120 kDa
Product Form
Liquid
Formulation
Supplied in Phosphate Buffered Saline, pH 7.3, with 50% Glycerol and 0.02% Sodium Azide.
Storage
Shipped at 4°C. Upon delivery aliquot and store at -20°C. Avoid freeze/thaw cycles.
Synonyms
116 kDa U5 small nuclear ribonucleoprotein component, Elongation factor Tu GTP-binding domain-containing protein 2, hSNU114, KIAA0031, SNRP116, SNU114 homolog, U5 snRNP-specific protein, 116 kDa, U5-116 kDa
Disclaimer
This product is for research use only. It is not intended for diagnostic or therapeutic use.
Publishing research using Anti-EFTUD2 Antibody (A12061)? Please let us know so that we can list the citation on this page.

Alternative products to Anti-EFTUD2 Antibody (A12061)

Proteins predicted to interact with EFTUD2

Predicted protein interactions based upon String database. Revelancy score correlates with probability of interaction.
99.9% Relevancy Score
99.9% Relevancy Score
99.9% Relevancy Score
99.9% Relevancy Score
99.9% Relevancy Score
99.9% Relevancy Score
99.9% Relevancy Score
99.9% Relevancy Score