Western blot analysis of extracts of various cell lines, using Anti-eIF4G1 Antibody (A88930) at 1:1,000 dilution. The secondary antibody was Goat Anti-Rabbit IgG H&L Antibody (HRP) at 1:10,000 dilution. Lysates/proteins were present at 25µg per lane. The blocking buffer used was 3% non-fat dry milk in TBST. Detection was with a ECL Basic Kit. Exposure time: 60S.
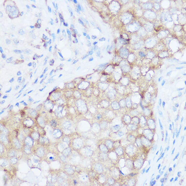
Immunohistochemistry analysis of paraffin-embedded human breast cancer tissue using Anti-eIF4G1 Antibody (A88930) at a dilution of 1:100 (40x lens). Perform high pressure antigen retrieval with 10 mM citrate buffer pH 6.0 before commencing with IHC staining protocol.
Alternative products to Anti-eIF4G1 Antibody (A88930)