ISO 9001:2015 Certified
Live Customer Support
4.5/5 on Trustpilot
100% Quality Guarantee

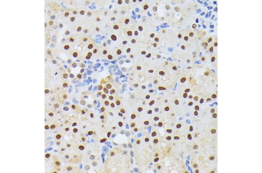
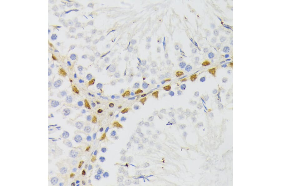
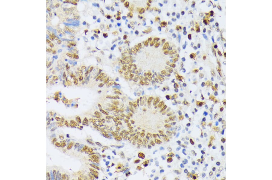
Anti-ELAC2 Antibody (A10064)

Rabbit polyclonal antibody to ELAC2 for WB and IHC.

Shipping Information

$40
Dispatched from St. Louis, MO.
Lead Time: 7-10 business days.
Name
Anti-ELAC2 Antibody
Description
Rabbit polyclonal antibody to ELAC2.
Applications
WB, IHC
Dilutions
WB: 1:500-1:2,000, IHC: 1:50-1:200
Reactivity
Human, Mouse, Rat
Immunogen
Recombinant fusion protein containing a sequence corresponding to amino acids 1-270 of human ELAC2 (NP_776065.1).
Sequence
MWALCSLLRSAAGRTMSQGRTISQAPARRERPRKDPLRHLRTREKRGPSGCSGGPNTVYLQVVAAGSRDSGAALYVFSEFNRYLFNCGEGVQRLMQEHKLKVARLDNIFLTRMHWSNVGGLSGMILTLKETGLPKCVLSGPPQLEKYLEAIKIFSGPLKGIELAVRPHSAPEYEDETMTVYQIPIHSEQRRGKHQPWQSPERPLSRLSPERSSDSESNENEPHLPHGVSQRRGVRDSSLVVAFICKLHLKRGNFLVLKAKEMGLPVGTAA
Host
Rabbit
Clonality
Polyclonal
Isotype
IgG
Conjugate

Unconjugated

Purification
Affinity purification.
Concentration
Lot Specific
Molecular Weight
105 kDa
Product Form
Liquid
Formulation
Supplied in Phosphate Buffered Saline, pH 7.3, with 50% Glycerol and 0.02% Sodium Azide.
Storage
Shipped at 4°C. Upon delivery aliquot and store at -20°C. Avoid freeze/thaw cycles.
Synonyms
ElaC homolog protein 2, Heredity prostate cancer protein 2, HPC2, Ribonuclease Z 2, RNase Z 2, tRNA 3 endonuclease 2, tRNase Z 2, Zinc phosphodiesterase ELAC protein 2
Disclaimer
This product is for research use only. It is not intended for diagnostic or therapeutic use.
Publishing research using Anti-ELAC2 Antibody (A10064)? Please let us know so that we can list the citation on this page.

Alternative products to Anti-ELAC2 Antibody (A10064)

Proteins predicted to interact with ELAC2

Predicted protein interactions based upon String database. Revelancy score correlates with probability of interaction.
86.4% Relevancy Score
85.7% Relevancy Score
85.3% Relevancy Score
82.4% Relevancy Score
79.4% Relevancy Score
76.6% Relevancy Score
72.8% Relevancy Score
71.3% Relevancy Score
68.2% Relevancy Score