Primary Antibodies
Secondary Antibodies
Proteins & Peptides
ELISA Kits
About Us
Contact Us
Sign In/Register
0
ISO 9001:2015 Certified
Live Customer Support
4.5/5 on Trustpilot
100% Quality Guarantee
Home
Primary Antibodies
HuR Antibodies
Anti-ELAVL1 Antibody (A34957)
Anti-ELAVL1 Antibody (A34957)
Overview
Specifications
Images
Enlarge Image
Enlarge Image
Enlarge Image
Enlarge Image
$415
Product Datasheet
Rabbit polyclonal antibody to ELAVL1 for WB, IHC and ICC/IF.
100% Guarantee
Price Match Guarantee
Product Size:
50µl
100µl
Quantity:
1
2
3
4
5
6
7
8
9
10
Add To Cart
Request a Quotation
Custom or Bulk Request
Shipping Information
Freight/Packing Charges:
$40
Dispatched from St. Louis, MO.
Lead Time: 6-9 business days.
Specifications
Name
Anti-ELAVL1 Antibody
Description
Rabbit polyclonal antibody to ELAVL1
Specificity
The antibody detects endogenous level of total ELAVL1 protein.
Applications
WB
,
IHC
,
ICC/IF
Reactivity
Human, Mouse, Rat
Immunogen
Recombinant protein of human ELAVL1.
Host
Rabbit
Clonality
Polyclonal
Conjugate
Unconjugated
Purification
Antibodies were purified by affinity purification using immunogen.
Concentration
1.0 mg/mL
Formulation
Supplied in phosphate-buffered saline (without Mg²? and Ca²?), pH 7.4, containing 150 mM NaCl, 0.02% sodium azide, and 50% glycerol.
Storage
Shipped at 4°C. Upon delivery aliquot and store at -20°C. Avoid freeze/thaw cycles.
Synonyms
ELAV-like protein 1, Hu-antigen R
Suitable Secondaries
Goat Anti-Rabbit IgG H&L Antibody (AP) (A294874)
Goat Anti-Rabbit IgG H&L Antibody (Biotin) (A294795)
Goat Anti-Rabbit IgG H&L Antibody (FITC) (A294887)
Goat Anti-Rabbit IgG H&L Antibody (HRP) (A294888)
See all Anti-Rabbit IgG Secondaries →
Disclaimer
This product is for research use only. It is not intended for diagnostic or therapeutic use.
Scientific Validation Data
Validation Data
(4)
Enlarge Image
Anti-ELAVL1 Antibody (A34957)
Western blot analysis of extracts of various cell lines, using ELAVL1 antibody.
Enlarge Image
Immunofluorescence - Anti-ELAVL1 Antibody (A34957)
Immunofluorescence analysis of MCF7 cell using ELAVL1 antibody. Blue: DAPI for nuclear staining.
Enlarge Image
Immunohistochemistry - Anti-ELAVL1 Antibody (A34957)
Immunohistochemistry of paraffin-embedded rat testis using ELAVL1 antibody at dilution of 1: 200 (x400 lens).
Enlarge Image
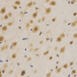
Immunohistochemistry - Anti-ELAVL1 Antibody (A34957)
Immunohistochemistry of paraffin-embedded rat brain using ELAVL1 antibody at dilution of 1: 200 (x400 lens).
Publishing research using Anti-ELAVL1 Antibody (A34957)? Please
let us know
so that we can list the citation on this page.
Alternative products to Anti-ELAVL1 Antibody (A34957)
A93424
Anti-HuR Antibody [4C8]
Mouse monoclonal (4C8) antibody to HuR for ELISA, WB, IHC, IHC-P, ChIP, CLIP and EMSA.
(3)
A29847
Anti-ELAVL1 Antibody
Rabbit polyclonal antibody to ELAVL1 for WB, IHC and IF.
A346674
Anti-HuR Antibody [23GB5815]
Recombinant rabbit monoclonal [23GB5815] antibody to HuR for WB, Flow Cytometry and ICC/IF.
A28604
Anti-ELAVL1 Antibody
Rabbit polyclonal antibody to ELAVL1 for WB.
A93423
Anti-HuR Antibody [19F12]
Mouse monoclonal (19F12) antibody to HuR for ELISA, WB, IHC and IHC-P.
A93424
Anti-HuR Antibody [4C8]
Mouse monoclonal (4C8) antibody to HuR for ELISA, WB, IHC, IHC-P, ChIP, CLIP and EMSA.
(3)
A29847
Anti-ELAVL1 Antibody
Rabbit polyclonal antibody to ELAVL1 for WB, IHC and IF.
A346674
Anti-HuR Antibody [23GB5815]
Recombinant rabbit monoclonal [23GB5815] antibody to HuR for WB, Flow Cytometry and ICC/IF.
A28604
Anti-ELAVL1 Antibody
Rabbit polyclonal antibody to ELAVL1 for WB.
A93423
Anti-HuR Antibody [19F12]
Mouse monoclonal (19F12) antibody to HuR for ELISA, WB, IHC and IHC-P.
See all ELAVL1 Antibodies
Proteins predicted to interact with HuR
Predicted protein interactions based upon String database. Revelancy score correlates with probability of interaction.
Argonaute 2 Antibodies
99.7% Relevancy Score
PABPN1 Antibodies
99.1% Relevancy Score
UFC1 Antibodies
98.7% Relevancy Score
IGF2BP1 Antibodies
97.8% Relevancy Score
HNRNPC Antibodies
97.6% Relevancy Score
TIA1 Antibodies
97.5% Relevancy Score
PTBP1 Antibodies
97.4% Relevancy Score
TIAR Antibodies
97.4% Relevancy Score
ANP32A Antibodies
97.1% Relevancy Score
Top