Primary Antibodies
Secondary Antibodies
Proteins & Peptides
ELISA Kits
About Us
Contact Us
Sign In/Register
0
ISO 9001:2015 Certified
Live Customer Support
4.5/5 on Trustpilot
100% Quality Guarantee
Home
Primary Antibodies
HuC Antibodies
Anti-ELAVL3 Antibody (A37307)
Anti-ELAVL3 Antibody (A37307)
Overview
Specifications
Images
Enlarge Image
Enlarge Image
$430
Product Datasheet
Rabbit polyclonal antibody to ELAVL3 for WB and IHC.
100% Guarantee
Price Match Guarantee
Product Size:
100µl
Quantity:
1
2
3
4
5
6
7
8
9
10
Add To Cart
Request a Quotation
Custom or Bulk Request
Shipping Information
Freight/Packing Charges:
$40
Dispatched from St. Louis, MO.
Lead Time: 6-9 business days.
Tags:
Pan Neuronal Marker
Specifications
Name
Anti-ELAVL3 Antibody
Description
Rabbit polyclonal antibody to ELAVL3
Specificity
The antibody detects endogenous levels of total ELAVL3 protein.
Applications
WB
,
IHC
Reactivity
Human, Mouse
Immunogen
Synthetic peptide corresponding to residues near the N terminal of human ELAV like neuron-specific RNA binding protein 3
Host
Rabbit
Clonality
Polyclonal
Conjugate
Unconjugated
Purification
Antigen affinity purification.
Concentration
1.3 mg/mL
Formulation
Supplied in PBS, pH 7.3, containing 0.05% sodium azide and 50% glycerol.
Storage
Shipped at 4°C. Upon delivery aliquot and store at -20°C. Avoid freeze/thaw cycles.
Synonyms
ELAV-like protein 3, Hu-antigen C, Paraneoplastic cerebellar degeneration-associated antigen, Paraneoplastic limbic encephalitis antigen 21, PLE21
Suitable Secondaries
Goat Anti-Rabbit IgG H&L Antibody (AP) (A294874)
Goat Anti-Rabbit IgG H&L Antibody (Biotin) (A294795)
Goat Anti-Rabbit IgG H&L Antibody (FITC) (A294887)
Goat Anti-Rabbit IgG H&L Antibody (HRP) (A294888)
See all Anti-Rabbit IgG Secondaries →
Disclaimer
This product is for research use only. It is not intended for diagnostic or therapeutic use.
Scientific Validation Data
Validation Data
(2)
Enlarge Image
Anti-ELAVL3 Antibody (A37307)
Gel: 10% SDS-PAGE Lysates (from left to right): Human fetal brain tissue Amount of lysate: 40ug per lane Primary antibody: 1/350 dilution Secondary antibody dilution: 1/8000 Exposure time: 3 minutes
Enlarge Image
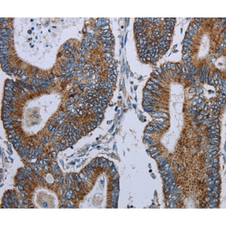
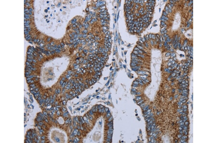
Immunohistochemistry - Anti-ELAVL3 Antibody (A37307)
Immunohistochemical analysis of paraffin-embedded Human colon cancer tissue using #37686 at dilution 1/20.
Publishing research using Anti-ELAVL3 Antibody (A37307)? Please
let us know
so that we can list the citation on this page.
Alternative products to Anti-ELAVL3 Antibody (A37307)
(6)
A15071
Anti-ELAVL3 Antibody
Rabbit polyclonal antibody to ELAVL3 for WB, IHC and ICC/IF.
(6)
A15071
Anti-ELAVL3 Antibody
Rabbit polyclonal antibody to ELAVL3 for WB, IHC and ICC/IF.
Proteins predicted to interact with HuC
Predicted protein interactions based upon String database. Revelancy score correlates with probability of interaction.
NeuN Antibodies
75.4% Relevancy Score
ELAVL2 Antibodies
72% Relevancy Score
GFAP Antibodies
68.8% Relevancy Score
DAZL Antibodies
66.6% Relevancy Score
FABP7 Antibodies
66% Relevancy Score
HuD Antibodies
65% Relevancy Score
A2BP1 Antibodies
64.6% Relevancy Score
GAP43 Antibodies
64.3% Relevancy Score
Neurogenin 2 Antibodies
64.2% Relevancy Score
Top