Primary Antibodies
Secondary Antibodies
Proteins & Peptides
ELISA Kits
About Us
Contact Us
Sign In/Register
0
ISO 9001:2015 Certified
Live Customer Support
4.5/5 on Trustpilot
100% Quality Guarantee
Home
Primary Antibodies
ELOVL6 Antibodies
Anti-ELOVL6 Antibody (A37295)
Anti-ELOVL6 Antibody (A37295)
Overview
Specifications
Images
Enlarge Image
Enlarge Image
$405
Rabbit polyclonal antibody to ELOVL6 for WB and IHC.
100% Guarantee
Price Match Guarantee
Product Size:
100µl
Quantity:
1
2
3
4
5
6
7
8
9
10
Add To Cart
Request a Quotation
Custom or Bulk Request
Shipping Information
Freight/Packing Charges:
$40
Dispatched from St. Louis, MO.
Lead Time: 6-9 business days.
Specifications
Name
Anti-ELOVL6 Antibody
Description
Rabbit polyclonal antibody to ELOVL6
Specificity
The antibody detects endogenous levels of total ELOVL6 protein.
Applications
WB
,
IHC
Reactivity
Human, Mouse
Immunogen
Synthetic peptide corresponding to a region derived from internal residues of human ELOVL fatty acid elongase 6
Host
Rabbit
Clonality
Polyclonal
Conjugate
Unconjugated
Purification
Antigen affinity purification.
Concentration
2.4 mg/ml
Formulation
Rabbit IgG in pH7.3 PBS, 0.05% NaN3, 50% Glycerol.
Storage
Store at -20˚C
Synonyms
3-keto acyl-CoA synthase ELOVL6, Elongation of very long chain fatty acids protein 6, ELOVL FA elongase 6, ELOVL fatty acid elongase 6, FACE, Fatty acid elongase 2, Fatty acyl-CoA elongase, hELO2, LCE, Very long chain fatty acid elongase 6
Suitable Secondaries
Goat Anti-Rabbit IgG H&L Antibody (AP) (A294874)
Goat Anti-Rabbit IgG H&L Antibody (Biotin) (A294795)
Goat Anti-Rabbit IgG H&L Antibody (FITC) (A294887)
Goat Anti-Rabbit IgG H&L Antibody (HRP) (A294888)
See all Anti-Rabbit IgG Secondaries →
Disclaimer
This product is for research use only. It is not intended for diagnostic or therapeutic use.
Scientific Validation Data
Validation Data
(2)
Enlarge Image
Anti-ELOVL6 Antibody (A37295)
Gel: 8% SDS-PAGE Lysates (from left to right): Raji cell, human fetal brain and mouse brain tissue Amount of lysate: 40ug per lane Primary antibody: 1/400 dilution Secondary antibody dilution: 1/8000 Exposure time: 30 seconds
Enlarge Image
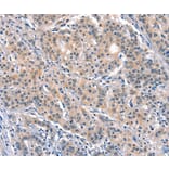
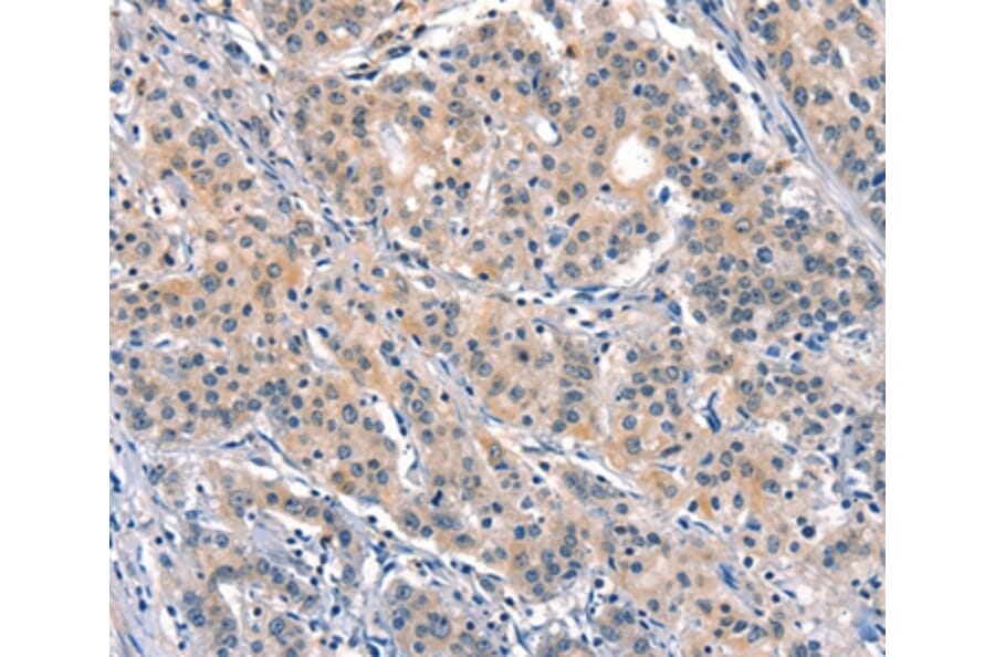
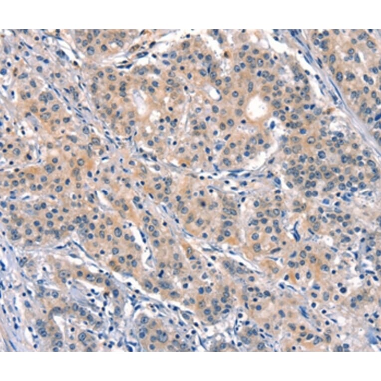
Immunohistochemistry - Anti-ELOVL6 Antibody (A37295)
Immunohistochemical analysis of paraffin-embedded Human gastric cancer tissue using #37545 at dilution 1/40.
Publishing research using Anti-ELOVL6 Antibody (A37295)? Please
let us know
so that we can list the citation on this page.
Alternative products to Anti-ELOVL6 Antibody (A37295)
(2)
A47591
Anti-ELOVL6 Antibody
Rabbit polyclonal antibody to ELOVL6 for E, WB and IHC.
A96902
Anti-ELOVL6 Antibody
Rabbit polyclonal antibody to ELOVL6 for WB and ELISA.
A96903
Anti-ELOVL6 Antibody
Rabbit polyclonal antibody to ELOVL6 for WB and ELISA.
(2)
A47591
Anti-ELOVL6 Antibody
Rabbit polyclonal antibody to ELOVL6 for E, WB and IHC.
A96902
Anti-ELOVL6 Antibody
Rabbit polyclonal antibody to ELOVL6 for WB and ELISA.
A96903
Anti-ELOVL6 Antibody
Rabbit polyclonal antibody to ELOVL6 for WB and ELISA.
Proteins predicted to interact with ELOVL6
Predicted protein interactions based upon String database. Revelancy score correlates with probability of interaction.
SCD1 Antibodies
98.4% Relevancy Score
GPSN2 Antibodies
97.3% Relevancy Score
SCD5 Antibodies
96.8% Relevancy Score
HSD17B12 Antibodies
95.4% Relevancy Score
SREBP1 Antibodies
92.7% Relevancy Score
OXSM Antibodies
92.1% Relevancy Score
SREBP2 Antibodies
92.1% Relevancy Score
Fatty Acid Synthase Antibodies
91.8% Relevancy Score
ATP Citrate Lyase Antibodies
79.3% Relevancy Score
Top