Primary Antibodies
Secondary Antibodies
Proteins & Peptides
ELISA Kits
About Us
Contact Us
Sign In/Register
0
ISO 9001:2015 Certified
Live Customer Support
4.5/5 on Trustpilot
100% Quality Guarantee
Home
Primary Antibodies
STATIP1 Antibodies
Anti-ELP2 Antibody (A46771)
Anti-ELP2 Antibody (A46771)
Overview
Specifications
Images
Enlarge Image
Enlarge Image
$430
Product Datasheet
Rabbit polyclonal antibody to ELP2 for IHC.
100% Guarantee
Price Match Guarantee
Product Size:
100µl
Quantity:
1
2
3
4
5
6
7
8
9
10
Add To Cart
Request a Quotation
Custom or Bulk Request
Shipping Information
Freight/Packing Charges:
$40
Dispatched from St. Louis, MO.
Lead Time: 6-9 business days.
Specifications
Name
Anti-ELP2 Antibody
Description
Rabbit polyclonal antibody to ELP2
Specificity
The antibody detects endogenous levels of total ELP2 protein.
Applications
IHC
Reactivity
Human
Immunogen
Fusion protein corresponding to residues near the C terminal of human elongator acetyltransferase complex subunit 2
Host
Rabbit
Clonality
Polyclonal
Conjugate
Unconjugated
Purification
Antigen affinity purification.
Concentration
1.9 mg/mL
Formulation
Supplied in PBS, pH 7.3, containing 0.05% sodium azide and 50% glycerol.
Storage
Shipped at 4°C. Upon delivery aliquot and store at -20°C. Avoid freeze/thaw cycles.
Synonyms
Elongator complex protein 2, SHINC-2, STAT3-interacting protein 1, StIP1
Suitable Secondaries
Goat Anti-Rabbit IgG H&L Antibody (AP) (A294874)
Goat Anti-Rabbit IgG H&L Antibody (Biotin) (A294795)
Goat Anti-Rabbit IgG H&L Antibody (FITC) (A294887)
Goat Anti-Rabbit IgG H&L Antibody (HRP) (A294888)
See all Anti-Rabbit IgG Secondaries →
Disclaimer
This product is for research use only. It is not intended for diagnostic or therapeutic use.
Scientific Validation Data
Validation Data
(2)
Enlarge Image
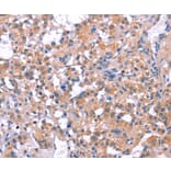
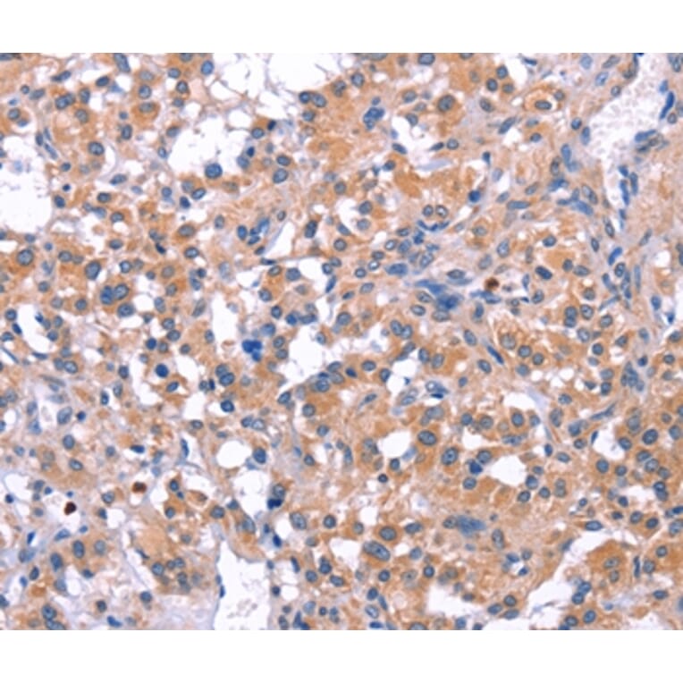
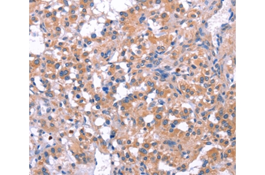
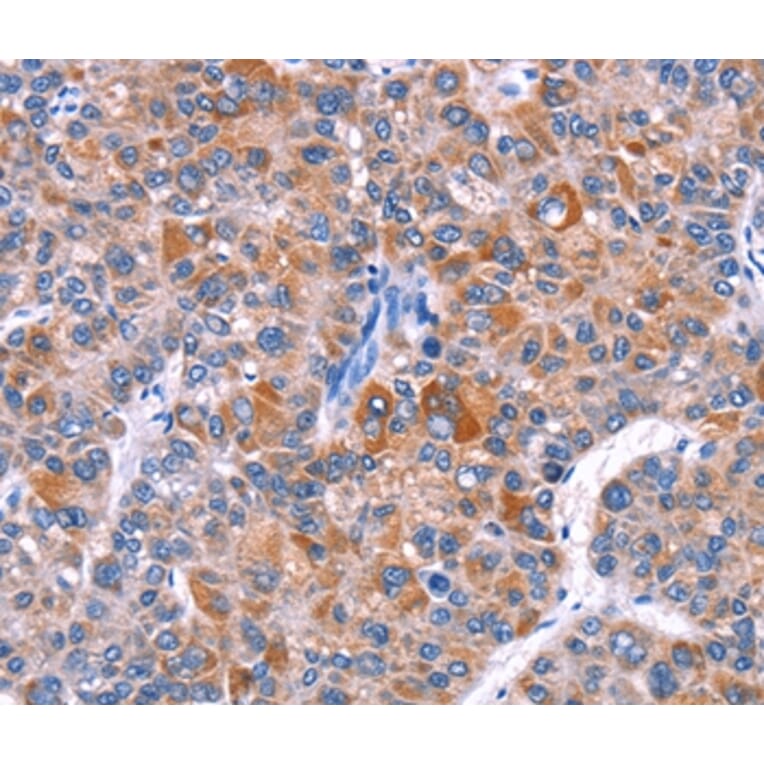
Immunohistochemistry - Anti-ELP2 Antibody (A46771)
Immunohistochemical analysis of paraffin-embedded Human liver cancer tissue using #36223 at dilution 1/40.
Enlarge Image
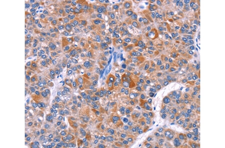
Immunohistochemistry - Anti-ELP2 Antibody (A46771)
Immunohistochemical analysis of paraffin-embedded Human thyroid cancer tissue using #36223 at dilution 1/40.
Publishing research using Anti-ELP2 Antibody (A46771)? Please
let us know
so that we can list the citation on this page.
Alternative products to Anti-ELP2 Antibody (A46771)
(2)
A101461
Anti-ELP2 Antibody
Rabbit polyclonal antibody to ELP2 for WB and ELISA.
A91444
Anti-ELP2 Antibody
Rabbit polyclonal antibody to ELP2 for WB.
(2)
A101461
Anti-ELP2 Antibody
Rabbit polyclonal antibody to ELP2 for WB and ELISA.
A91444
Anti-ELP2 Antibody
Rabbit polyclonal antibody to ELP2 for WB.
Proteins predicted to interact with STATIP1
Predicted protein interactions based upon String database. Revelancy score correlates with probability of interaction.
ELP3 Antibodies
99.9% Relevancy Score
C17orf81 Antibodies
99.8% Relevancy Score
IKAP Antibodies
99.8% Relevancy Score
ELP4 Antibodies
99.7% Relevancy Score
RTF1 Antibodies
79.4% Relevancy Score
LEO1 Antibodies
77.1% Relevancy Score
CDC73 Antibodies
76.8% Relevancy Score
WDR61 Antibodies
76% Relevancy Score
ZC3H8 Antibodies
74.7% Relevancy Score
Top