Primary Antibodies
Secondary Antibodies
Proteins & Peptides
ELISA Kits
About Us
Contact Us
Sign In/Register
0
ISO 9001:2015 Certified
Live Customer Support
4.5/5 on Trustpilot
100% Quality Guarantee
Home
Primary Antibodies
COX4NB Antibodies
Anti-EMC8 Antibody (A38662)
Anti-EMC8 Antibody (A38662)
Overview
Specifications
Images
Enlarge Image
Enlarge Image
$430
Product Datasheet
Rabbit polyclonal antibody to EMC8 for WB and IHC.
100% Guarantee
Price Match Guarantee
Product Size:
100µl
Quantity:
1
2
3
4
5
6
7
8
9
10
Add To Cart
Request a Quotation
Custom or Bulk Request
Shipping Information
Freight/Packing Charges:
$40
Dispatched from St. Louis, MO.
Lead Time: 6-9 business days.
Specifications
Name
Anti-EMC8 Antibody
Description
Rabbit polyclonal antibody to EMC8
Specificity
The antibody detects endogenous levels of total EMC8 protein.
Applications
WB
,
IHC
Reactivity
Human
Immunogen
Fusion protein corresponding to a region derived from internal residues of human ER membrane protein complex subunit 8
Host
Rabbit
Clonality
Polyclonal
Conjugate
Unconjugated
Purification
Antigen affinity purification.
Concentration
1.2 mg/mL
Formulation
Supplied in PBS, pH 7.3, containing 0.05% sodium azide and 50% glycerol.
Storage
Shipped at 4°C. Upon delivery aliquot and store at -20°C. Avoid freeze/thaw cycles.
Synonyms
C16orf2, C16orf4, COX4AL, ER membrane protein complex subunit 8, FAM158B, Neighbor of COX4, NOC4, Protein FAM158B
Suitable Secondaries
Goat Anti-Rabbit IgG H&L Antibody (AP) (A294874)
Goat Anti-Rabbit IgG H&L Antibody (Biotin) (A294795)
Goat Anti-Rabbit IgG H&L Antibody (FITC) (A294887)
Goat Anti-Rabbit IgG H&L Antibody (HRP) (A294888)
See all Anti-Rabbit IgG Secondaries →
Disclaimer
This product is for research use only. It is not intended for diagnostic or therapeutic use.
Scientific Validation Data
Validation Data
(2)
Enlarge Image
Anti-EMC8 Antibody (A38662)
Gel: 10% SDS-PAGE Lysates (from left to right): A549, Hela and HT-29 cell Amount of lysate: 40ug per lane Primary antibody: 1/600 dilution Secondary antibody dilution: 1/8000 Exposure time: 1 minute
Enlarge Image
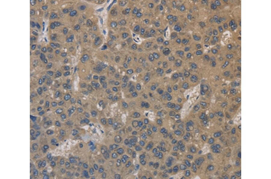
Immunohistochemistry - Anti-EMC8 Antibody (A38662)
Immunohistochemical analysis of paraffin-embedded Human liver cancer tissue using #35694 at dilution 1/30.
Publishing research using Anti-EMC8 Antibody (A38662)? Please
let us know
so that we can list the citation on this page.
Alternative products to Anti-EMC8 Antibody (A38662)
A88901
Anti-COX4NB Antibody
Rabbit polyclonal antibody to COX4NB for WB.
A88901
Anti-COX4NB Antibody
Rabbit polyclonal antibody to COX4NB for WB.
Proteins predicted to interact with COX4NB
Predicted protein interactions based upon String database. Revelancy score correlates with probability of interaction.
C15orf24 Antibodies
99.9% Relevancy Score
MMGT1 Antibodies
99.9% Relevancy Score
KIAA0090 Antibodies
99.9% Relevancy Score
TMEM85 Antibodies
99.9% Relevancy Score
COX IV Antibodies
96.5% Relevancy Score
COX4I2 Antibodies
94.9% Relevancy Score
UBE2J2 Antibodies
71.4% Relevancy Score
NDUFA9 Antibodies
66.7% Relevancy Score
UBQLN2 Antibodies
65.1% Relevancy Score
Top