Notice: Error: The total number of locks exceeds the lock table size
Error No: 1206
INSERT INTO oc_analytics set ip = '', agent = 'Mozilla/5.0 AppleWebKit/537.36 (KHTML, like Gecko; compatible; ClaudeBot/1.0; +claudebot@anthropic.com)', url = '/catalog/primary-antibodies/emp2-antibody-a16240', route = 'product/product', port = '62345', country_code ='US', country_name='United States', city='Columbus', organisation='', referrer='', adflag='N', adcampaign='', adurl='', product_id='16240' in D:\wwwroot_antibodies\system\library\db\mysqli.php on line 42 Anti-EMP2 Antibody (A16240) | Antibodies.com
ISO 9001:2015 Certified
Live Customer Support
4.5/5 on Trustpilot
100% Quality Guarantee

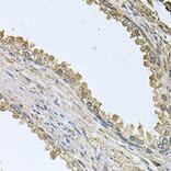
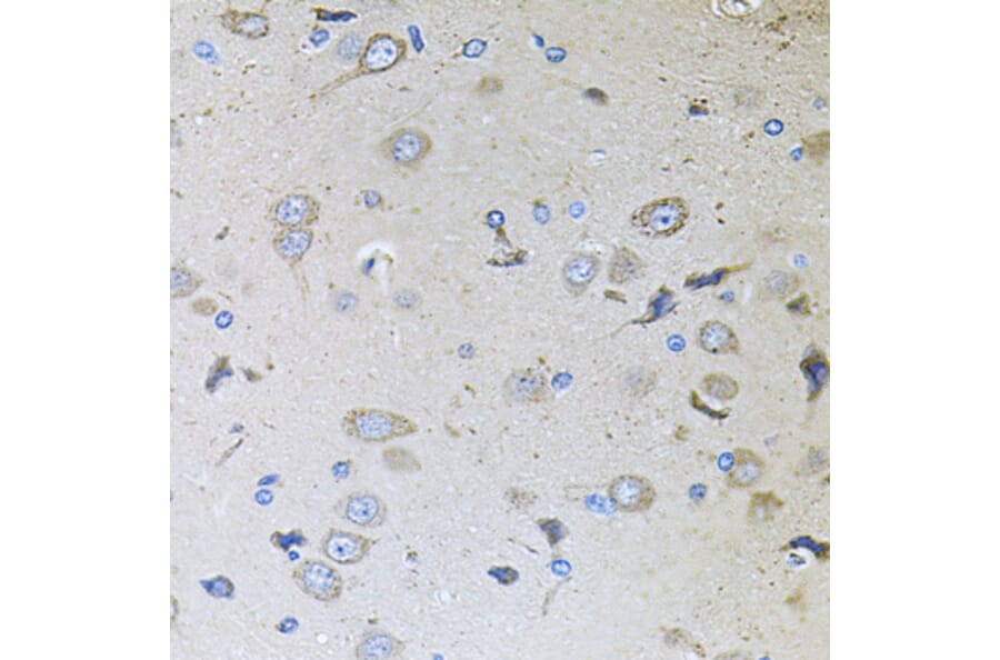
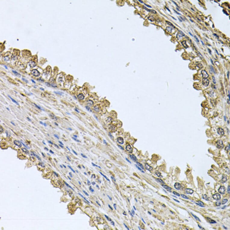
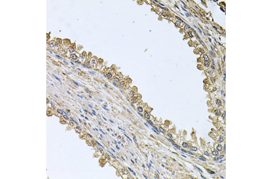
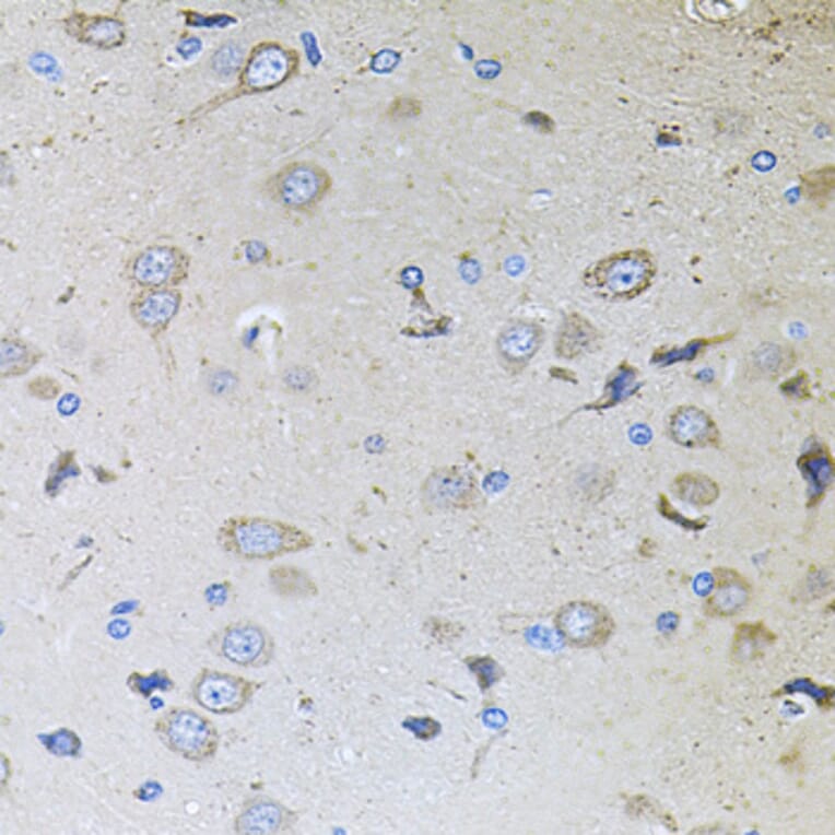
Anti-EMP2 Antibody (A16240)

This product is discontinued

Anti-EMP2 Antibody (A16240) has been discontinued and is no longer available.

View all EMP2 Antibodies.

Name
Anti-EMP2 Antibody
Description
Rabbit polyclonal antibody to EMP2.
Applications
WB
Dilutions
WB: 1:500-1:2000
Reactivity
Human
Immunogen
A synthetic peptide corresponding to a sequence within amino acids 50-150 of human EMP2 (NP_001415.1).
Sequence
VINDSFQEYSTLQAVQATMILSTILCCIAFFIFVLQLFRLKQGERFVLTSIIQLMSCLCVMIAASIYTDRREDIHDKNAKFYPVTREGSYGYSYILAWVAF
Host
Rabbit
Clonality
Polyclonal
Isotype
IgG
Conjugate

Unconjugated

Purification
Affinity purification.
Concentration
Lot Specific
Product Form
Liquid
Formulation
Supplied in Phosphate Buffered Saline, pH 7.30, with 0.02% Sodium Azide and 50% Glycerol.
Storage
Shipped at 4°C. Upon delivery aliquot and store at -20°C. Avoid freeze/thaw cycles.
Synonyms
EMP-2, Epithelial membrane protein 2, Protein XMP, XMP
Disclaimer
This product is for research use only. It is not intended for diagnostic or therapeutic use.

Alternative products to Anti-EMP2 Antibody (A16240)

Proteins predicted to interact with EMP2

Predicted protein interactions based upon String database. Revelancy score correlates with probability of interaction.
76.3% Relevancy Score
70.3% Relevancy Score
46.8% Relevancy Score
44.6% Relevancy Score
44.5% Relevancy Score
42.4% Relevancy Score
40.7% Relevancy Score
39.6% Relevancy Score
37.8% Relevancy Score