ISO 9001:2015 Certified
Live Customer Support
4.5/5 on Trustpilot
100% Quality Guarantee

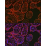
Anti-eNOS Antibody (A13501)

Rabbit polyclonal antibody to eNOS for WB and ICC/IF.

Shipping Information

$40
Dispatched from St. Louis, MO.
Lead Time: 7-10 business days.
Name
Anti-eNOS Antibody
Description
Rabbit polyclonal antibody to eNOS.
Applications
WB, ICC/IF
Dilutions
WB: 1:500-1:1,000, ICC/IF: 1:50-1:200
Reactivity
Human, Mouse, Rat
Immunogen
Recombinant fusion protein containing a sequence corresponding to amino acids 1035-1110 of human eNOS (NP_000594.2).
Sequence
KGLQPTPMTLVFGCRCSQLDHLYRDEVQNAQQRGVFGRVLTAFSREPDNPKTYVQDILRTELAAEVHRVLCLERGH
Host
Rabbit
Clonality
Polyclonal
Isotype
IgG
Conjugate

Unconjugated

Purification
Affinity purification.
Concentration
Lot Specific
Molecular Weight
140 kDa
Product Form
Liquid
Formulation
Supplied in Phosphate Buffered Saline, pH 7.3, with 50% Glycerol and 0.05% Proclin 300.
Storage
Shipped at 4°C. Upon delivery aliquot and store at -20°C. Avoid freeze/thaw cycles.
Synonyms
cNOS, Constitutive NOS, EC-NOS, Endothelial NOS, Nitric oxide synthase 3, Nitric oxide synthase, endothelial, NOS type III, NOS3, NOSIII
Disclaimer
This product is for research use only. It is not intended for diagnostic or therapeutic use.
Publishing research using Anti-eNOS Antibody (A13501)? Please let us know so that we can list the citation on this page.

Alternative products to Anti-eNOS Antibody (A13501)

Proteins predicted to interact with eNOS

Predicted protein interactions based upon String database. Revelancy score correlates with probability of interaction.
99.9% Relevancy Score
99.9% Relevancy Score
99.9% Relevancy Score
99.9% Relevancy Score
99.8% Relevancy Score
99.7% Relevancy Score
99.3% Relevancy Score
99.1% Relevancy Score