EPI64/TBC1D10A expression in MCF7 cells analyzed by immunofluorescence. Cells were permeabilized with 0.15% Triton. Staining was performed with Anti-EPI64/TBC1D10A Antibody (A285937) at 10µg/ml for 1 hour and Alexa Fluor 488 secondary antibody at 4µg/ml. Cytoplasmic/plasma membrane and nuclear staining shown and nuclei were stained with DAPI (blue). Negative control: Goat IgG Isotype Control at 10µg/ml followed by Alexa Fluor 488 secondary antibody at 4µg/ml.
EPI64/TBC1D10A expression in HEK293 cells (blue line) analyzed by flow cytometry. Cells were fixed in PFA and permeabilized with 0.5% Triton. Staining was performed with Anti-EPI64/TBC1D10A Antibody (A285937) at 10µg/ml for 1 hour and Alexa Fluor 488 secondary antibody at 1µg/ml. Negative Control: Goat IgG Isotype Control (black line) followed by Alexa Fluor 488 secondary antibody.
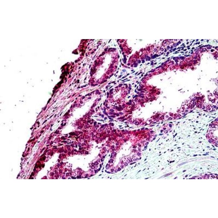
EPI64/TBC1D10A expression in Human Prostate analyzed by immunohistochemistry. Tissue was paraffin-embedded, and antigen retrieval was achieved by steaming in citrate buffer, pH 6. Staining was performed with Anti-EPI64/TBC1D10A Antibody (A285937) at 4.75µg/ml and revealed with alkaline phosphatase (AP). Note this data is from a previous batch and is not on sale.
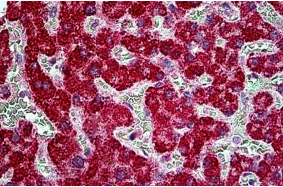
EPI64/TBC1D10A expression in Human Liver analyzed by immunohistochemistry. Tissue was paraffin-embedded, and antigen retrieval was achieved by steaming in citrate buffer, pH 6. Staining was performed with Anti-EPI64/TBC1D10A Antibody (A285937) at 4.75µg/ml and revealed with alkaline phosphatase (AP). Note this data is from a previous batch and is not on sale.
Publishing research using Anti-EPI64/TBC1D10A Antibody (A285937)? Please let us know so that we can list the citation on this page.