ISO 9001:2015 Certified
Live Customer Support
4.5/5 on Trustpilot
100% Quality Guarantee

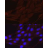
Anti-epithelial Sodium Channel alpha Antibody (A11846)

Rabbit polyclonal antibody to epithelial Sodium Channel alpha for WB and ICC/IF.

Shipping Information

$40
Dispatched from St. Louis, MO.
Lead Time: 7-10 business days.
Name
Anti-epithelial Sodium Channel alpha Antibody
Description
Rabbit polyclonal antibody to epithelial Sodium Channel alpha.
Applications
WB, ICC/IF
Dilutions
WB: 1:500-1:1,000, ICC/IF: 1:50-1:200
Reactivity
Human, Mouse, Rat
Immunogen
Recombinant fusion protein containing a sequence corresponding to amino acids 105-225 of human SCNN1A (NP_001029.1).
Sequence
LFGEYFSYPVSLNINLNSDKLVFPAVTICTLNPYRYPEIKEELEELDRITEQTLFDLYKYSSFTTLVAGSRSRRDLRGTLPHPLQRLRVPPPPHGARRARSVASSLRDNNPQVDWKDWKIG
Host
Rabbit
Clonality
Polyclonal
Isotype
IgG
Conjugate

Unconjugated

Purification
Affinity purification.
Concentration
Lot Specific
Molecular Weight
75 kDa
Product Form
Liquid
Formulation
Supplied in Phosphate Buffered Saline, pH 7.3, with 50% Glycerol and 0.02% Sodium Azide.
Storage
Shipped at 4°C. Upon delivery aliquot and store at -20°C. Avoid freeze/thaw cycles.
Synonyms
Alpha-ENaC, Alpha-NaCH, Amiloride-sensitive sodium channel subunit alpha, ENaCA, Epithelial Na(+) channel subunit alpha, Nonvoltage-gated sodium channel 1 subunit alpha, SCNEA, SCNN1, SCNN1A
Disclaimer
This product is for research use only. It is not intended for diagnostic or therapeutic use.
Publishing research using Anti-epithelial Sodium Channel alpha Antibody (A11846)? Please let us know so that we can list the citation on this page.

Alternative products to Anti-epithelial Sodium Channel alpha Antibody (A11846)

Proteins predicted to interact with Epithelial Sodium Channel alpha

Predicted protein interactions based upon String database. Revelancy score correlates with probability of interaction.
99.9% Relevancy Score
99.8% Relevancy Score
97.2% Relevancy Score
92.5% Relevancy Score
91.4% Relevancy Score
90.7% Relevancy Score
89.5% Relevancy Score
85.8% Relevancy Score