Primary Antibodies
Secondary Antibodies
Proteins & Peptides
ELISA Kits
About Us
Contact Us
Sign In/Register
0
ISO 9001:2015 Certified
Live Customer Support
4.5/5 on Trustpilot
100% Quality Guarantee
Home
Primary Antibodies
EPS8 Antibodies
Anti-EPS8 Antibody (A38329)
Anti-EPS8 Antibody (A38329)
Overview
Specifications
Images
Enlarge Image
Enlarge Image
$645
Product Datasheet
Rabbit polyclonal antibody to EPS8 for WB and IHC.
100% Guarantee
Price Match Guarantee
Product Size:
100µl
Quantity:
1
2
3
4
5
6
7
8
9
10
Add To Cart
Request a Quotation
Custom or Bulk Request
Shipping Information
Freight/Packing Charges:
$40
Dispatched from St. Louis, MO.
Lead Time: 6-9 business days.
Specifications
Name
Anti-EPS8 Antibody
Description
Rabbit polyclonal antibody to EPS8
Applications
WB
,
IHC
Reactivity
Human
Immunogen
Synthetic peptide contain a sequence corresponding to a region within amino acids 761 and 822 of EPS8
Host
Rabbit
Clonality
Polyclonal
Conjugate
Unconjugated
Purification
Purified by antigen-affinity chromatography.
Formulation
Supplied in 1XPBS, 1%BSA, 20% Glycerol (pH7.0). 0.01% Thimerosal was added as a preservative.
Storage
Shipped at 4°C. Upon delivery aliquot and store at -20°C. Avoid freeze/thaw cycles.
Synonyms
Epidermal growth factor receptor kinase substrate 8
Suitable Secondaries
Goat Anti-Rabbit IgG H&L Antibody (AP) (A294874)
Goat Anti-Rabbit IgG H&L Antibody (Biotin) (A294795)
Goat Anti-Rabbit IgG H&L Antibody (FITC) (A294887)
Goat Anti-Rabbit IgG H&L Antibody (HRP) (A294888)
See all Anti-Rabbit IgG Secondaries →
Disclaimer
This product is for research use only. It is not intended for diagnostic or therapeutic use.
Scientific Validation Data
Validation Data
(2)
Enlarge Image
Anti-EPS8 Antibody (A38329)
Sample (30 µg of whole cell lysate) H1299 B: Hela 7.5% SDS PAGE EPS8 antibody diluted at 1: 1000
Enlarge Image
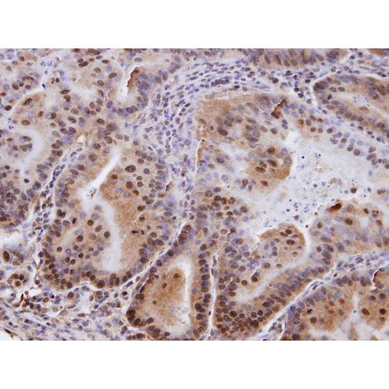
Immunohistochemistry - Anti-EPS8 Antibody (A38329)
Immunohistochemical analysis of paraffin-embedded gastric CA, using EPS8 antibody at 1: 100 dilution.
Publishing research using Anti-EPS8 Antibody (A38329)? Please
let us know
so that we can list the citation on this page.
Alternative products to Anti-EPS8 Antibody (A38329)
(5)
A83960
Anti-EPS8 Antibody
Goat polyclonal antibody to EPS8 for ELISA, WB and IHC.
A87694
Anti-EPS8 Antibody
Rabbit polyclonal antibody to EPS8 for WB.
(5)
A83960
Anti-EPS8 Antibody
Goat polyclonal antibody to EPS8 for ELISA, WB and IHC.
A87694
Anti-EPS8 Antibody
Rabbit polyclonal antibody to EPS8 for WB.
Proteins predicted to interact with EPS8
Predicted protein interactions based upon String database. Revelancy score correlates with probability of interaction.
SOS1 Antibodies
99.9% Relevancy Score
ABI1 Antibodies
99.9% Relevancy Score
IRSp53 Antibodies
99.6% Relevancy Score
Whirlin Antibodies
98.7% Relevancy Score
CASK Antibodies
96.5% Relevancy Score
Espin Antibodies
95.9% Relevancy Score
USP6NL Antibodies
95.2% Relevancy Score
EGFR Antibodies
95.2% Relevancy Score
TWF2 Antibodies
92.1% Relevancy Score
Top