ISO 9001:2015 Certified
Live Customer Support
4.5/5 on Trustpilot
100% Quality Guarantee

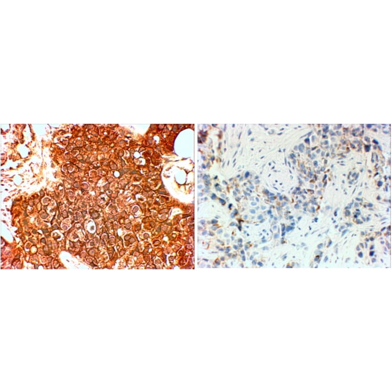
Anti-ErbB2/HER2 Antibody (A82864)

Goat polyclonal antibody to ErbB2/HER2 for ELISA and IHC.

Shipping Information

$40
Dispatched from St. Louis, MO.
Lead Time: 7-10 business days.
Name
Anti-ErbB2/HER2 Antibody
Description
Goat polyclonal antibody to ErbB2/HER2.
Applications
ELISA, IHC
Dilutions
ELISA: 1:128,000, IHC: 4-6µg/ml
Reactivity
Human
Immunogen
Synthetic peptide corresponding to the internal region, amino acids 182-194, of human ErbB2/HER2.
Sequence
TLIDTNRSRACHP
Host
Goat
Clonality
Polyclonal
Isotype
IgG
Conjugate

Unconjugated

Purification
Purified from goat serum by ammonium sulphate precipitation followed by antigen affinity chromatography using the immunizing peptide.
Concentration
500 µg/ml
Product Form
Liquid
Formulation
Supplied in Tris Buffered Saline, pH 7.3, with 0.5% BSA and 0.02% Sodium Azide.
Storage
Shipped at 4°C. Upon delivery aliquot and store at -20°C. Avoid freeze/thaw cycles.
Isotype Controls
Disclaimer
This product is for research use only. It is not intended for diagnostic or therapeutic use.
Publishing research using Anti-ErbB2/HER2 Antibody (A82864)? Please let us know so that we can list the citation on this page.