ISO 9001:2015 Certified
Live Customer Support
4.5/5 on Trustpilot
100% Quality Guarantee

Anti-ERF Antibody (A98524)

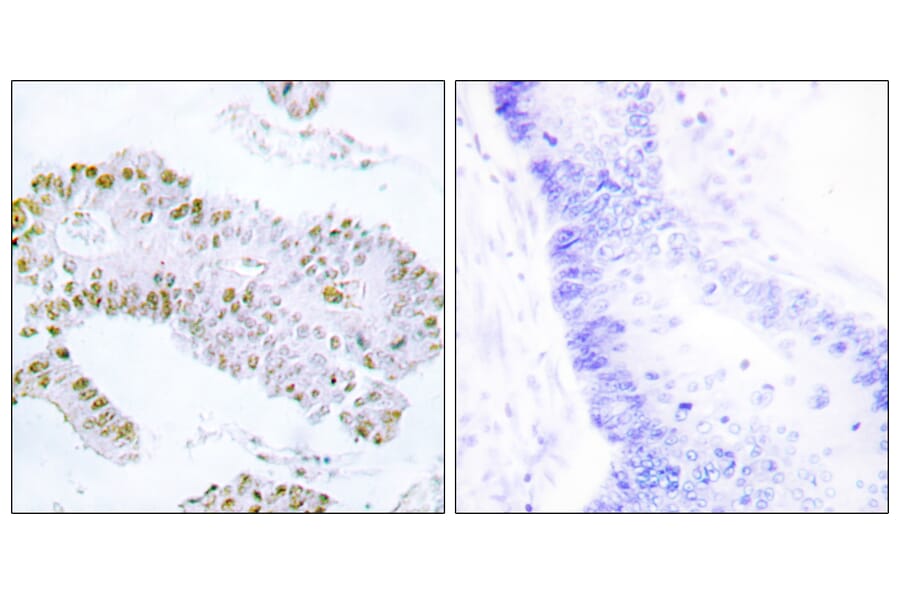
Rabbit polyclonal antibody to ERF for WB, IHC, IF and ELISA.

Shipping Information

$40
Dispatched from St. Louis, MO.
Lead Time: 6-8 business days.
Name
Anti-ERF Antibody
Description
Rabbit polyclonal antibody to ERF.
Applications
WB, IHC, IF, ELISA
Dilutions
IHC: 1:50~1:100, IF: 1:100~1:500, ELISA: 1:10000
Reactivity
Human, Mouse
Cross Reactivity
No reported cross-reactivity.
Immunogen
Synthetic peptide derived from human ERF (amino acids 492-541).
Host
Rabbit
Clonality
Polyclonal
Isotype
IgG
Conjugate

Unconjugated

Purification
Purified from rabbit serum by antigen affinity chromatography using the immunizing peptide.
Molecular Weight
58kDa
Product Form
Liquid
Formulation
Supplied in Phosphate Buffered Saline (without Mg2+ and Ca2+), pH 7.4, with 150mM NaCl, 0.02% Sodium Azide, and 50% Glycerol.
Storage
Shipped at 4°C. Upon delivery aliquot and store at -20°C. Avoid freeze / thaw cycles.
Synonyms
ETS domain-containing transcription factor ERF, Ets2 repressor factor, PE-2
Disclaimer
This product is for research use only. It is not intended for diagnostic or therapeutic use.
Publishing research using Anti-ERF Antibody (A98524)? Please let us know so that we can list the citation on this page.

Alternative products to Anti-ERF Antibody (A98524)

Proteins predicted to interact with ERF

Predicted protein interactions based upon String database. Revelancy score correlates with probability of interaction.
87.6% Relevancy Score
85.8% Relevancy Score
80.7% Relevancy Score
76.8% Relevancy Score
54.9% Relevancy Score
50.4% Relevancy Score
48.2% Relevancy Score
48.2% Relevancy Score
47.7% Relevancy Score