Western Blot - Anti-ERK1 (phospho Thr202 + Tyr204) + ERK2 (phospho Thr185 + Tyr187) Antibody [ARC1595] (A306747)
Western blot analysis of extracts of various cell lines, using Anti-ERK1 (phospho Thr202 + Tyr204) + ERK2 (phospho Thr185 + Tyr187) Antibody [ARC1595] (A306747) at 1:1,000 dilution. Both 293T cells and NIH/3T3 cells were treated by ATP(5 mM) at 30°C for 1 hour. The secondary antibody was Goat Anti-Rabbit IgG H&L Antibody (HRP) at 1:10,000 dilution. Lysates/proteins were present at 25µg per lane. The blocking buffer used was 3% BSA. Detection was with a ECL Basic Kit. Exposure time: 10s.
Western Blot - Anti-ERK1 (phospho Thr202 + Tyr204) + ERK2 (phospho Thr185 + Tyr187) Antibody [ARC1595] (A306747)
Western blot analysis of extracts of C6 cells, using Anti-ERK1 (phospho Thr202 + Tyr204) + ERK2 (phospho Thr185 + Tyr187) Antibody [ARC1595] (A306747) at 1:1,000 dilution. C6 cells were treated by PMA/TPA (200 nM) at 37°C for 30 minutes after serum-starvation overnight. The secondary antibody was Goat Anti-Rabbit IgG H&L Antibody (HRP) at 1:10,000 dilution. Lysates/proteins were present at 25µg per lane. The blocking buffer used was 3% BSA. Detection was with a ECL Enhanced Kit (RM00021). Exposure time: 90s.
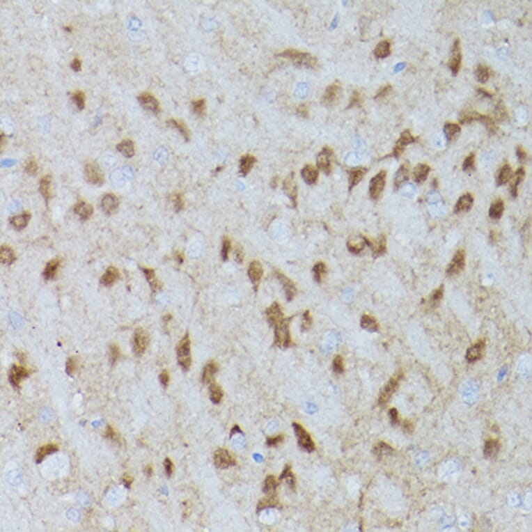
Immunohistochemistry analysis of paraffin-embedded rat brain using Anti-ERK1 (phospho Thr202 + Tyr204) + ERK2 (phospho Thr185 + Tyr187) Antibody [ARC1595] (A306747) at a dilution of 1:100 (40x lens). Perform high pressure antigen retrieval with 10 mM citrate buffer pH 6.0 before commencing with IHC staining protocol.
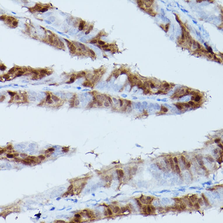
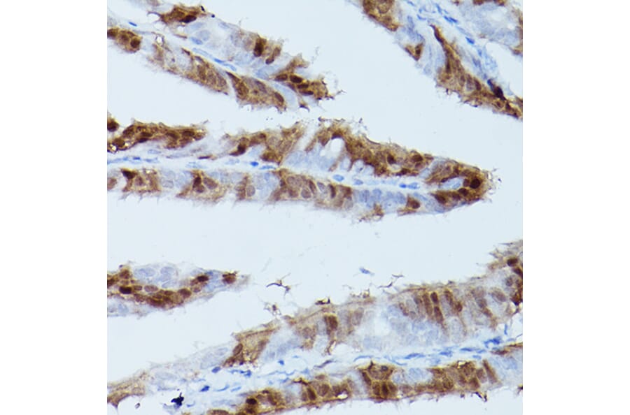
Immunohistochemistry analysis of paraffin-embedded rat fallopian tube using Anti-ERK1 (phospho Thr202 + Tyr204) + ERK2 (phospho Thr185 + Tyr187) Antibody [ARC1595] (A306747) at a dilution of 1:100 (40x lens). Perform high pressure antigen retrieval with 10 mM citrate buffer pH 6.0 before commencing with IHC staining protocol.
Immunofluorescence analysis of Jurkat treated with PMA and Jurkat using Anti-ERK1 (phospho Thr202 + Tyr204) + ERK2 (phospho Thr185 + Tyr187) Antibody [ARC1595] (A306747) at a dilution of 1:100 (40x lens). DAPI was used to stain the cell nuclei (blue).
Publishing research using Anti-ERK1 (phospho Thr202 + Tyr204) + ERK2 (phospho Thr185 + Tyr187) Antibody [ARC1595] (A306747)? Please let us know so that we can list the citation on this page.