ISO 9001:2015 Certified
Live Customer Support
4.5/5 on Trustpilot
100% Quality Guarantee

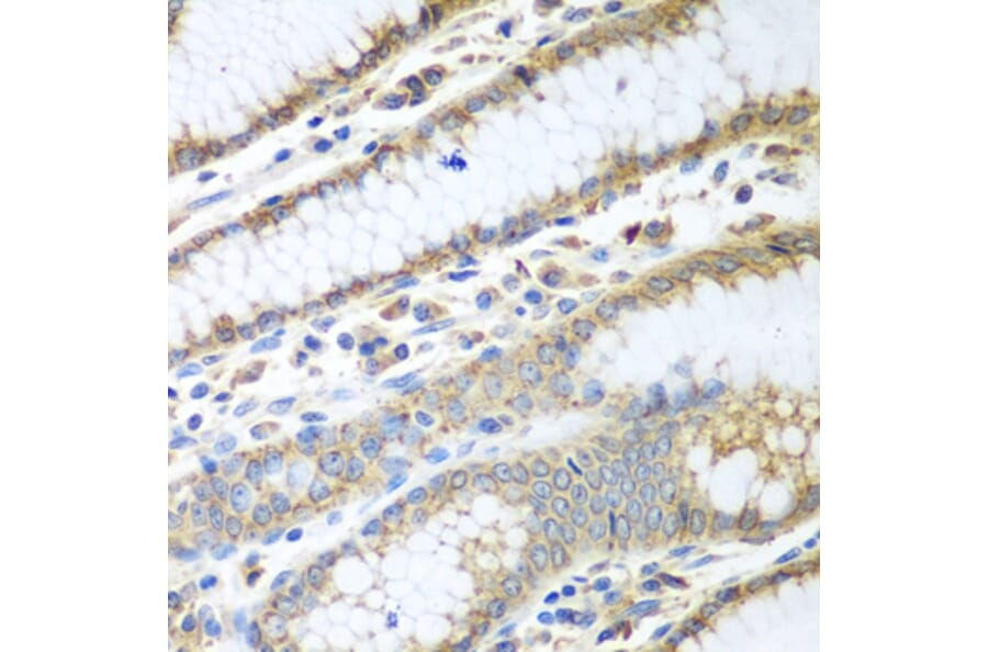
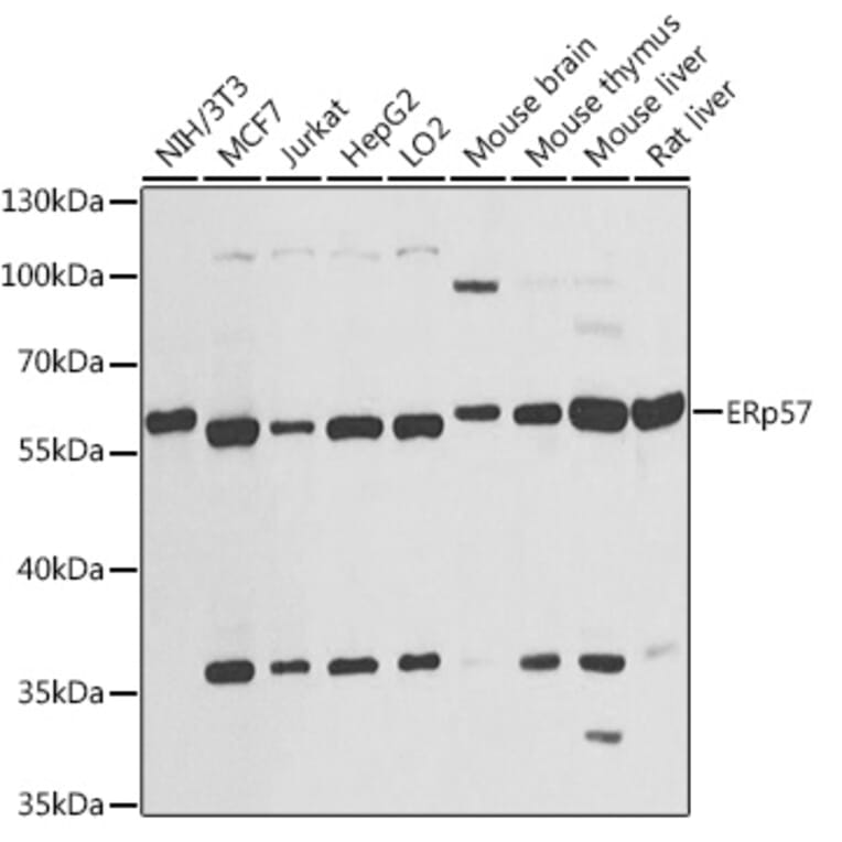
Anti-ERp57 Antibody (A13098)

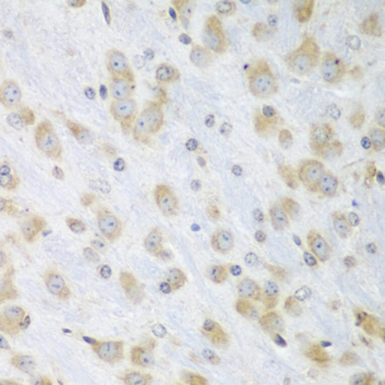
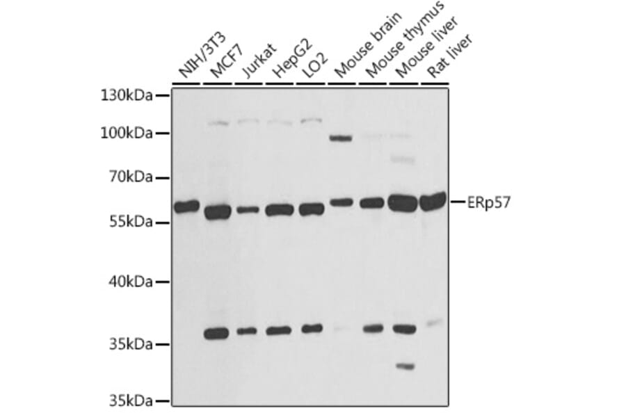
Rabbit polyclonal antibody to ERp57 for WB, IHC and ICC/IF.

Shipping Information

$40
Dispatched from St. Louis, MO.
Lead Time: 7-10 business days.
Name
Anti-ERp57 Antibody
Description
Rabbit polyclonal antibody to ERp57.
Applications
WB, IHC, ICC/IF
Dilutions
WB: 1:500-1:2,000, IHC: 1:50-1:100, ICC/IF: 1:50-1:100
Reactivity
Human, Mouse, Rat
Immunogen
Recombinant fusion protein containing a sequence corresponding to amino acids 206-505 of human ERp57 (NP_005304.3).
Sequence
FRPSHLTNKFEDKTVAYTEQKMTSGKIKKFIQENIFGICPHMTEDNKDLIQGKDLLIAYYDVDYEKNAKGSNYWRNRVMMVAKKFLDAGHKLNFAVASRKTFSHELSDFGLESTAGEIPVVAIRTAKGEKFVMQEEFSRDGKALERFLQDYFDGNLKRYLKSEPIPESNDGPVKVVVAENFDEIVNNENKDVLIEFYAPWCGHCKNLEPKYKELGEKLSKDPNIVIAKMDATANDVPSPYEVRGFPTIYFSPANKKLNPKKYEGGRELSDFISYLQREATNPPVIQEEKPKKKKKAQEDL
Host
Rabbit
Clonality
Polyclonal
Isotype
IgG
Conjugate

Unconjugated

Purification
Affinity purification.
Concentration
Lot Specific
Molecular Weight
57 kDa
Product Form
Liquid
Formulation
Supplied in Phosphate Buffered Saline, pH 7.3, with 50% Glycerol and 0.02% Sodium Azide.
Storage
Shipped at 4°C. Upon delivery aliquot and store at -20°C. Avoid freeze/thaw cycles.
Synonyms
58 kDa glucose-regulated protein, 58 kDa microsomal protein, Disulfide isomerase ER-60, Endoplasmic reticulum resident protein 57, Endoplasmic reticulum resident protein 60, ER protein 57, ER protein 60, ERp60, GRP58, p58, PDIA3, Protein disulfide-isomerase A3
Disclaimer
This product is for research use only. It is not intended for diagnostic or therapeutic use.
Publishing research using Anti-ERp57 Antibody (A13098)? Please let us know so that we can list the citation on this page.

Alternative products to Anti-ERp57 Antibody (A13098)

Proteins predicted to interact with ERp57

Predicted protein interactions based upon String database. Revelancy score correlates with probability of interaction.
99.9% Relevancy Score
99.9% Relevancy Score
99.9% Relevancy Score
99.9% Relevancy Score
99.9% Relevancy Score
99.3% Relevancy Score
98.5% Relevancy Score
97.4% Relevancy Score
95.5% Relevancy Score