Supplied in Phosphate Buffered Saline, pH 7.3, with 50% Glyercol and 0.05% Proclin 300.
Storage
Shipped at 4°C. Upon delivery aliquot and store at -20°C. Avoid freeze/thaw cycles.
Synonyms
Endoplasmic reticulum resident protein 70, Endoplasmic reticulum resident protein 72, ER protein 70, ER protein 72, ERp-72, ERP70, PDIA4, Protein disulfide-isomerase A4
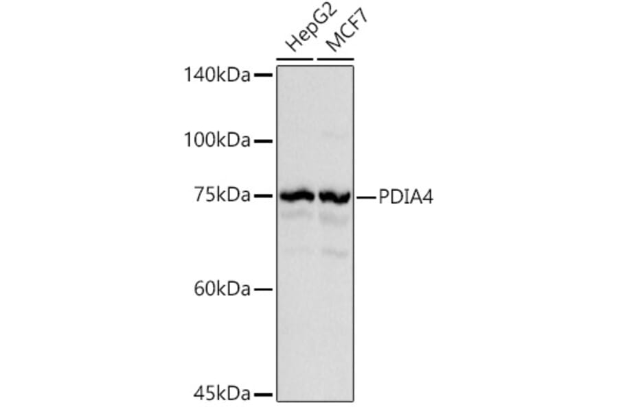
Western blot analysis of extracts of various cell lines, using Anti-ERp72 Antibody (A9438) at 1:1,000 dilution. The secondary antibody was Goat Anti-Rabbit IgG H&L Antibody (HRP) at 1:10,000 dilution. Lysates/proteins were present at 25µg per lane. The blocking buffer used was 3% non-fat dry milk in TBST. Detection was with a ECL Basic Kit. Exposure time: 0.5s.
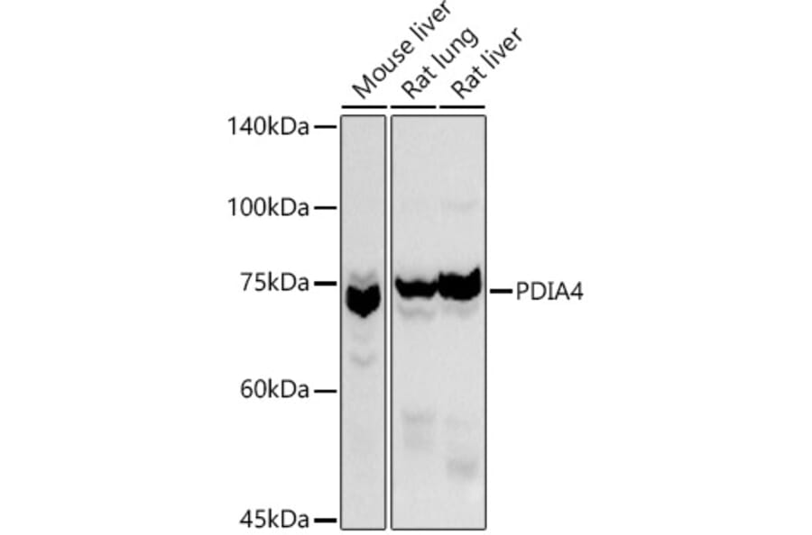
Western blot analysis of extracts of various cell lines, using Anti-ERp72 Antibody (A9438) at 1:1,000 dilution. The secondary antibody was Goat Anti-Rabbit IgG H&L Antibody (HRP) at 1:10,000 dilution. Lysates/proteins were present at 25µg per lane. The blocking buffer used was 3% non-fat dry milk in TBST. Detection was with a ECL Basic Kit. Exposure time: 10s.
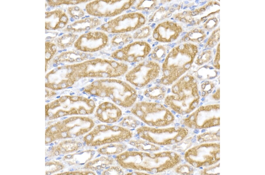
Immunohistochemistry analysis of paraffin-embedded mouse kidney using Anti-ERp72 Antibody (A9438) at a dilution of 1:50 (40x lens). Perform high pressure antigen retrieval with 10 mM citrate buffer pH 6.0 before commencing with IHC staining protocol.
Immunofluorescence analysis of HeLa cells using Anti-ERp72 Antibody (A9438) at a dilution of 1:50 (40x lens). DAPI was used to stain the cell nuclei (blue).
Immunofluorescence analysis of NIH/3T3 cells using Anti-ERp72 Antibody (A9438) at a dilution of 1:50 (40x lens). DAPI was used to stain the cell nuclei (blue).
Immunofluorescence analysis of PC-12 cells using Anti-ERp72 Antibody (A9438) at a dilution of 1:50 (40x lens). DAPI was used to stain the cell nuclei (blue).
Immunofluorescence analysis of PC-3 cells using Anti-ERp72 Antibody (A9438) at a dilution of 1:50 (40x lens). DAPI was used to stain the cell nuclei (blue).