ISO 9001:2015 Certified
Live Customer Support
4.5/5 on Trustpilot
100% Quality Guarantee

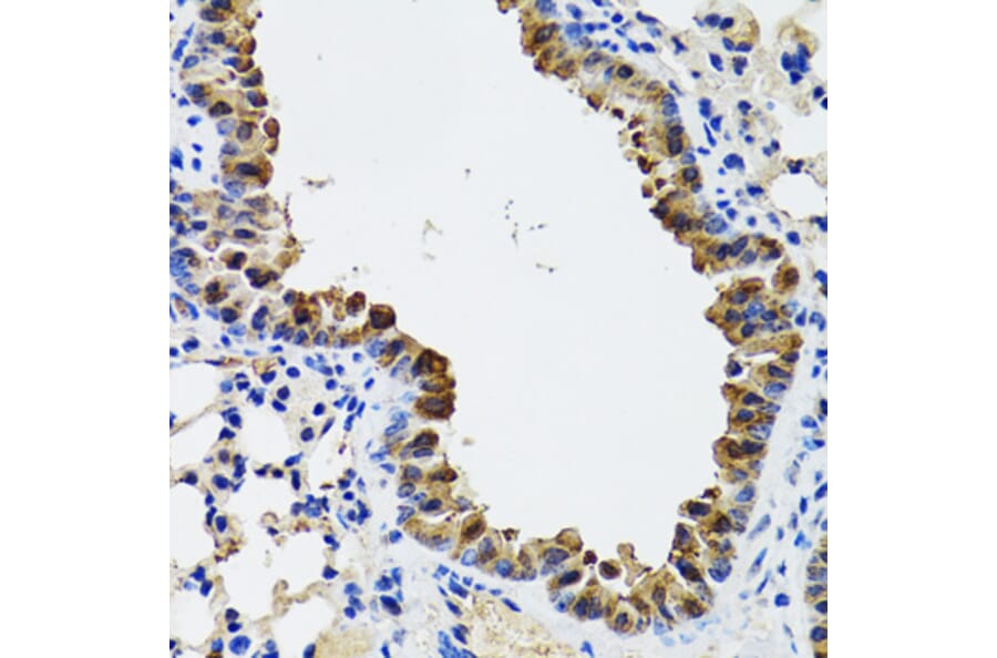
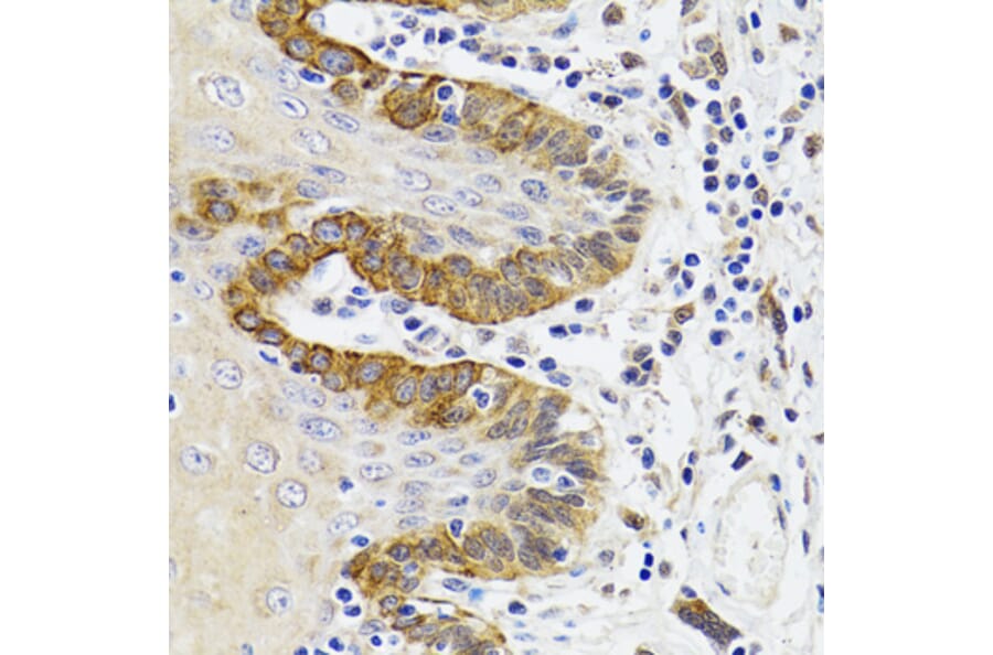
Anti-ESD Antibody (A11938)

Rabbit polyclonal antibody to ESD for WB and IHC.

Shipping Information

$40
Dispatched from St. Louis, MO.
Lead Time: 7-10 business days.
Name
Anti-ESD Antibody
Description
Rabbit polyclonal antibody to ESD.
Applications
WB, IHC
Dilutions
WB: 1:500-1:2,000, IHC: 1:50-1:200
Reactivity
Human, Mouse
Immunogen
Recombinant fusion protein containing a sequence corresponding to amino acids 1-282 of human ESD (NP_001975.1).
Sequence
MALKQISSNKCFGGLQKVFEHDSVELNCKMKFAVYLPPKAETGKCPALYWLSGLTCTEQNFISKSGYHQSASEHGLVVIAPDTSPRGCNIKGEDESWDFGTGAGFYVDATEDPWKTNYRMYSYVTEELPQLINANFPVDPQRMSIFGHSMGGHGALICALKNPGKYKSVSAFAPICNPVLCPWGKKAFSGYLGTDQSKWKAYDATHLVKSYPGSQLDILIDQGKDDQFLLDGQLLPDNFIAACTEKKIPVVFRLQEGYDHSYYFIATFITDHIRHHAKYLNA
Host
Rabbit
Clonality
Polyclonal
Isotype
IgG
Conjugate

Unconjugated

Purification
Affinity purification.
Concentration
Lot Specific
Molecular Weight
36 kDa
Product Form
Liquid
Formulation
Supplied in Phosphate Buffered Saline, pH 7.3, with 50% Glycerol and 0.02% Sodium Azide.
Storage
Shipped at 4°C. Upon delivery aliquot and store at -20°C. Avoid freeze/thaw cycles.
Synonyms
EC:3.1.1.56, Esterase D, FGH, Methylumbelliferyl-acetate deacetylase, S-formylglutathione hydrolase
Disclaimer
This product is for research use only. It is not intended for diagnostic or therapeutic use.
Publishing research using Anti-ESD Antibody (A11938)? Please let us know so that we can list the citation on this page.

Alternative products to Anti-ESD Antibody (A11938)

Proteins predicted to interact with ESD

Predicted protein interactions based upon String database. Revelancy score correlates with probability of interaction.
99.8% Relevancy Score
90.4% Relevancy Score
89.1% Relevancy Score
87.2% Relevancy Score
86.4% Relevancy Score
83.8% Relevancy Score
80.1% Relevancy Score