ISO 9001:2015 Certified
Live Customer Support
4.5/5 on Trustpilot
100% Quality Guarantee

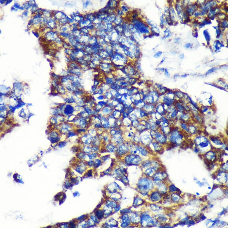
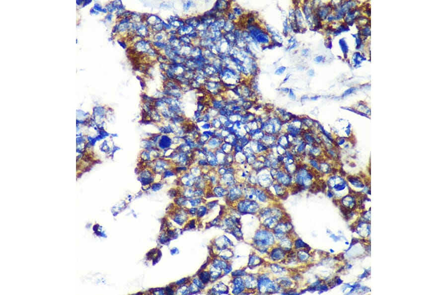
Anti-Espin Antibody (A87604)

Rabbit polyclonal antibody to Espin for WB and IHC.

Shipping Information

$40
Dispatched from St. Louis, MO.
Lead Time: 7-10 business days.
Name
Anti-Espin Antibody
Description
Rabbit polyclonal antibody to Espin.
Applications
WB, IHC
Dilutions
WB: 1:500-1:2,000, IHC: 1:50-1:200
Reactivity
Human, Mouse, Rat
Immunogen
Recombinant fusion protein containing a sequence corresponding to amino acids 585-854 of human ESPN (NP_113663.2).
Sequence
CAADPKASRELPPPPPPPPPPLPEAASSPPPAPPLPLESAGPGCGQRRSSSSTGSTKSFNMMSPTGDNSELLAEIKAGKSLKPTPQSKGLTTVFSGIGQPAFQPDSPLPSVSPALSPVRSPTPPAAGFQPLLNGSLVPVPPTTPAPGVQLDVEALIPTHDEQGRPIPEWKRQVMVRKMQLKMQEEEEQRRKEEEEEARLASMPAWRRDLLRKKLEEEREQKRKEEERQKQEELRREKEQSEKLRTLGYDESKLAPWQRQVILKKGDIAKY
Host
Rabbit
Clonality
Polyclonal
Isotype
IgG
Conjugate

Unconjugated

Purification
Affinity purification.
Concentration
Lot Specific
Molecular Weight
110 - 120 kDa
Product Form
Liquid
Formulation
Supplied in Phosphate Buffered Saline, pH 7.3, with 50% Glycerol and 0.01% Thiomersal.
Storage
Shipped at 4°C. Upon delivery aliquot and store at -20°C. Avoid freeze/thaw cycles.
Synonyms
Autosomal recessive deafness type 36 protein, DFNB36, Ectoplasmic specialization protein, ESPN
Disclaimer
This product is for research use only. It is not intended for diagnostic or therapeutic use.
Publishing research using Anti-Espin Antibody (A87604)? Please let us know so that we can list the citation on this page.

Proteins predicted to interact with Espin

Predicted protein interactions based upon String database. Revelancy score correlates with probability of interaction.
95.9% Relevancy Score
95.8% Relevancy Score
94.9% Relevancy Score
94.9% Relevancy Score
92.6% Relevancy Score
87.8% Relevancy Score
87.7% Relevancy Score
87.3% Relevancy Score
82.7% Relevancy Score