Primary Antibodies
Secondary Antibodies
Proteins & Peptides
ELISA Kits
About Us
Contact Us
Sign In/Register
0
ISO 9001:2015 Certified
Live Customer Support
4.5/5 on Trustpilot
100% Quality Guarantee
Home
Primary Antibodies
Separase Antibodies
Anti-ESPL1 Antibody (A38054)
Anti-ESPL1 Antibody (A38054)
Overview
Specifications
Images
Enlarge Image
Enlarge Image
$430
Product Datasheet
Rabbit polyclonal antibody to ESPL1 for WB and IHC.
100% Guarantee
Price Match Guarantee
Product Size:
100µl
Quantity:
1
2
3
4
5
6
7
8
9
10
Add To Cart
Request a Quotation
Custom or Bulk Request
Shipping Information
Freight/Packing Charges:
$40
Dispatched from St. Louis, MO.
Lead Time: 6-9 business days.
Specifications
Name
Anti-ESPL1 Antibody
Description
Rabbit polyclonal antibody to ESPL1
Specificity
The antibody detects endogenous levels of total ESPL1 protein.
Applications
WB
,
IHC
Reactivity
Human
Immunogen
Synthetic peptide corresponding to a region derived from internal residues of human extra spindle pole bodies homolog 1 (S. cerevisiae)
Host
Rabbit
Clonality
Polyclonal
Conjugate
Unconjugated
Purification
Antigen affinity purification.
Concentration
2 mg/mL
Formulation
Supplied in PBS, pH 7.3, containing 0.05% sodium azide and 50% glycerol.
Storage
Shipped at 4°C. Upon delivery aliquot and store at -20°C. Avoid freeze/thaw cycles.
Synonyms
Caspase-like protein ESPL1, ESP1, Extra spindle poles-like 1 protein, KIAA0165, Separin
Suitable Secondaries
Goat Anti-Rabbit IgG H&L Antibody (AP) (A294874)
Goat Anti-Rabbit IgG H&L Antibody (Biotin) (A294795)
Goat Anti-Rabbit IgG H&L Antibody (FITC) (A294887)
Goat Anti-Rabbit IgG H&L Antibody (HRP) (A294888)
See all Anti-Rabbit IgG Secondaries →
Disclaimer
This product is for research use only. It is not intended for diagnostic or therapeutic use.
Scientific Validation Data
Validation Data
(2)
Enlarge Image
Anti-ESPL1 Antibody (A38054)
Gel: 6%SDS-PAGE Lysate: 40ug Raji cell Primary antibody: 1/500 dilution Secondary antibody dilution: 1/8000 Exposure time: 1 second
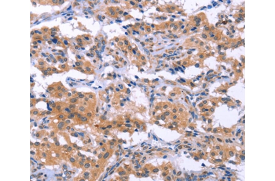
Enlarge Image
Immunohistochemistry - Anti-ESPL1 Antibody (A38054)
Immunohistochemical analysis of paraffin-embedded Human thyroid cancer tissue using #37557 at dilution 1/40.
Publishing research using Anti-ESPL1 Antibody (A38054)? Please
let us know
so that we can list the citation on this page.
Alternative products to Anti-ESPL1 Antibody (A38054)
(5)
A95437
Anti-SEPARASE Antibody
Rabbit polyclonal antibody to SEPARASE for WB, IHC, IF and ELISA.
(4)
A93755
Anti-SEPARASE (phospho Ser801) Antibody
Rabbit polyclonal antibody to SEPARASE (phospho Ser801) for WB, IHC, IF and ELISA.
(2)
A25731
Anti-Separase (A795) Antibody
Rabbit polyclonal antibody to Separase (A795) for WB, IHC and IF.
A24924
Anti-Separase (A795) Antibody
Rabbit polyclonal antibody to Separase (A795) for WB.
A88806
Anti-Separase Antibody
Rabbit polyclonal antibody to Separase for WB and ICC/IF.
A50086
Anti-Separase (Phospho-Ser801) Antibody
Rabbit polyclonal antibody to Separase (Phospho-Ser801) for WB, IHC and ICC/IF.
A50549
Anti-ESPL1 (Phospho-Ser1126) Antibody
Rabbit polyclonal antibody to ESPL1 (Phospho-Ser1126) for WB and ICC/IF.
(5)
A95437
Anti-SEPARASE Antibody
Rabbit polyclonal antibody to SEPARASE for WB, IHC, IF and ELISA.
(4)
A93755
Anti-SEPARASE (phospho Ser801) Antibody
Rabbit polyclonal antibody to SEPARASE (phospho Ser801) for WB, IHC, IF and ELISA.
(2)
A25731
Anti-Separase (A795) Antibody
Rabbit polyclonal antibody to Separase (A795) for WB, IHC and IF.
A24924
Anti-Separase (A795) Antibody
Rabbit polyclonal antibody to Separase (A795) for WB.
A88806
Anti-Separase Antibody
Rabbit polyclonal antibody to Separase for WB and ICC/IF.
A50086
Anti-Separase (Phospho-Ser801) Antibody
Rabbit polyclonal antibody to Separase (Phospho-Ser801) for WB, IHC and ICC/IF.
A50549
Anti-ESPL1 (Phospho-Ser1126) Antibody
Rabbit polyclonal antibody to ESPL1 (Phospho-Ser1126) for WB and ICC/IF.
See all ESPL1 Antibodies
Proteins predicted to interact with Separase
Predicted protein interactions based upon String database. Revelancy score correlates with probability of interaction.
Securin 2 Antibodies
99.9% Relevancy Score
Securin Antibodies
99.9% Relevancy Score
Cyclin B1 Antibodies
99.9% Relevancy Score
Rad21 Antibodies
99.7% Relevancy Score
CDK1 Antibodies
99.5% Relevancy Score
PLK1 Antibodies
99.4% Relevancy Score
SMC3 Antibodies
99.4% Relevancy Score
REC8 Antibodies
99.3% Relevancy Score
Bub1 Antibodies
99% Relevancy Score
Top