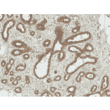
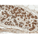
Immunohistochemistry analysis of human breast, fixed in formalin and paraffin-embedded. The Primary Antibody used was Anti-ESR1 Antibody (A304863) at 1:50 for 30 minutes at room temperature. Counterstain: Hematoxylin. Magnification: 20X. HRP-DAB Detection.
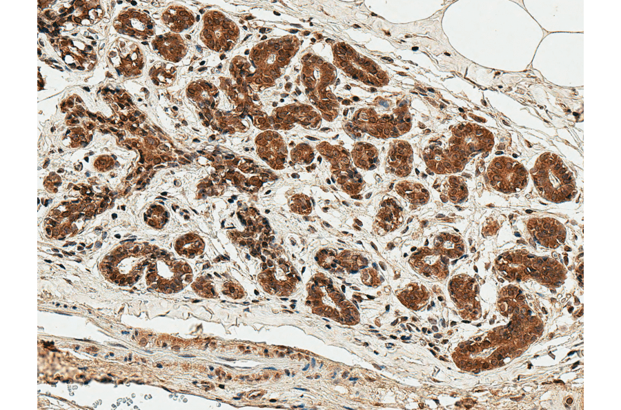
Immunohistochemistry analysis of human breast, fixed in formalin and paraffin-embedded. The Primary Antibody used was Anti-ESR1 Antibody (A304863) at 1:50 for 30 minutes at room temperature. Counterstain: Hematoxylin. Magnification: 10X. HRP-DAB Detection.
Western blot analysis of human HeLa and HEK293Trap cell lysates showing detection of ~66.2 kDa ESR1 protein using Anti-ESR1 Antibody (A304863) at 1:1,000 for 2 hours at room temperature. Lane 1: Molecular Weight Ladder (MW). Lane 2: HeLa cell lysates. Lane 3: 293Trap cell lysates. Load: 15 µg. Block: 5% Skim Milk in 1X TBST. The secondary antibody used was Goat Anti-Rabbit IgG: HRP at 1:1,000 for 60 minutes at room temperature. Color Development: ECL solution for 6 min in room temperature. Predicted/Observed Size: ~66.2 kDa. Other Band(s): 50 kDa is isoform 2.
Immunocytochemistry/Immunofluorescence analysis of human colon carcinoma cell line (RKO), fixed in 4% formaldehyde for 15 min at room temperature, using Anti-ESR1 Antibody (A304863), at 1:100 for 60 minutes at room temperature. The secondary antibody used was Goat Anti-Rabbit ATTO 488 at 1:100 for 60 minutes at room temperature. Counterstain: Phalloidin Texas Red F-Actin stain; DAPI (blue) nuclear stain at 1:1000, 1:5,000 for 60 minutes at room temperature, 5 minutes at room temperature. Localization: Nucleus, Cytoplasm. Magnification: 60X.(A) DAPI nuclear stain. (B) Phalloidin Texas Red F-Actin stain. (C) ESR1 Antibody. (D) Composite.
Publishing research using Anti-ESR1 Antibody (A304863)? Please let us know so that we can list the citation on this page.
Alternative products to Anti-ESR1 Antibody (A304863)