Primary Antibodies
Secondary Antibodies
Proteins & Peptides
ELISA Kits
About Us
Contact Us
Sign In/Register
0
ISO 9001:2015 Certified
Live Customer Support
4.5/5 on Trustpilot
100% Quality Guarantee
Home
Primary Antibodies
Estrogen Related Receptor gamma Antibodies
Anti-ESRRG Antibody (A37923)
Anti-ESRRG Antibody (A37923)
Overview
Specifications
Images
Enlarge Image
Enlarge Image
$430
Product Datasheet
Rabbit polyclonal antibody to ESRRG for WB and IHC.
100% Guarantee
Price Match Guarantee
Product Size:
100µl
Quantity:
1
2
3
4
5
6
7
8
9
10
Add To Cart
Request a Quotation
Custom or Bulk Request
Shipping Information
Freight/Packing Charges:
$40
Dispatched from St. Louis, MO.
Lead Time: 6-9 business days.
Specifications
Name
Anti-ESRRG Antibody
Description
Rabbit polyclonal antibody to ESRRG
Specificity
The antibody detects endogenous levels of total ESRRG protein.
Applications
WB
,
IHC
Reactivity
Human, Mouse
Immunogen
Fusion protein corresponding to residues near the C terminal of human estrogen-related receptor gamma
Host
Rabbit
Clonality
Polyclonal
Conjugate
Unconjugated
Purification
Antigen affinity purification.
Concentration
1.1 mg/mL
Formulation
Supplied in PBS, pH 7.3, containing 0.05% sodium azide and 50% glycerol.
Storage
Shipped at 4°C. Upon delivery aliquot and store at -20°C. Avoid freeze/thaw cycles.
Synonyms
ERR gamma-2, ERR3, ERRG2, Estrogen receptor-related protein 3, Estrogen-related receptor gamma, KIAA0832, NR3B3, Nuclear receptor subfamily 3 group B member 3
Suitable Secondaries
Goat Anti-Rabbit IgG H&L Antibody (AP) (A294874)
Goat Anti-Rabbit IgG H&L Antibody (Biotin) (A294795)
Goat Anti-Rabbit IgG H&L Antibody (FITC) (A294887)
Goat Anti-Rabbit IgG H&L Antibody (HRP) (A294888)
See all Anti-Rabbit IgG Secondaries →
Disclaimer
This product is for research use only. It is not intended for diagnostic or therapeutic use.
Scientific Validation Data
Validation Data
(2)
Enlarge Image
Anti-ESRRG Antibody (A37923)
Gel: 8% SDS-PAGE Lysates (from left to right): Mouse lung tissue Amount of lysate: 40ug per lane Primary antibody: 1/300 dilution Secondary antibody dilution: 1/8000 Exposure time: 40 seconds
Enlarge Image
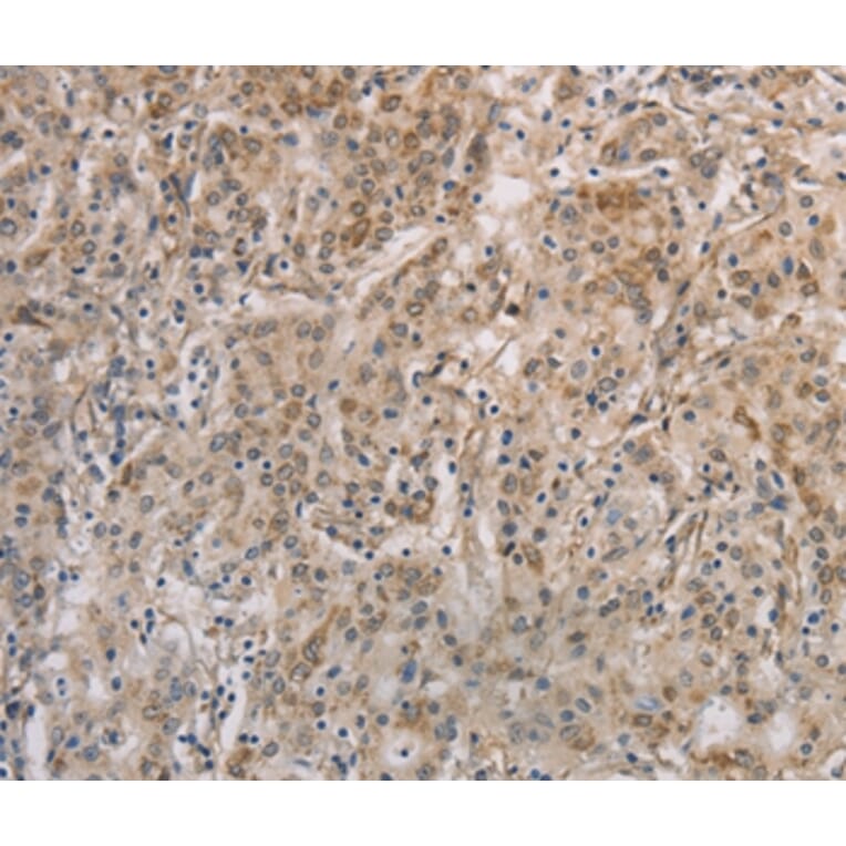
Immunohistochemistry - Anti-ESRRG Antibody (A37923)
Immunohistochemical analysis of paraffin-embedded Human gastric cancer tissue using #36449 at dilution 1/30.
Publishing research using Anti-ESRRG Antibody (A37923)? Please
let us know
so that we can list the citation on this page.
Alternative products to Anti-ESRRG Antibody (A37923)
(2)
A83163
Anti-Estrogen Related Receptor gamma Antibody
Goat polyclonal antibody to Estrogen Related Receptor gamma for ELISA and WB.
A307173
Anti-Estrogen Related Receptor gamma Antibody [ARC1653]
Rabbit monoclonal [ARC1653] antibody to Estrogen Related Receptor gamma for WB.
(2)
A83163
Anti-Estrogen Related Receptor gamma Antibody
Goat polyclonal antibody to Estrogen Related Receptor gamma for ELISA and WB.
A307173
Anti-Estrogen Related Receptor gamma Antibody [ARC1653]
Rabbit monoclonal [ARC1653] antibody to Estrogen Related Receptor gamma for WB.
Proteins predicted to interact with Estrogen Related Receptor gamma
Predicted protein interactions based upon String database. Revelancy score correlates with probability of interaction.
PGC1 alpha Antibodies
96.7% Relevancy Score
PPARGC1B Antibodies
95.5% Relevancy Score
CAT1 Antibodies
93.1% Relevancy Score
ERR alpha Antibodies
92.7% Relevancy Score
SRC 1 Antibodies
92.3% Relevancy Score
NCOR2 Antibodies
90.8% Relevancy Score
RIP140 Antibodies
89.8% Relevancy Score
NR0B2 Antibodies
89.3% Relevancy Score
TLE1 Antibodies
84.9% Relevancy Score
Top